“God has given you one face, and you make yourself another” – William Shakespeare
„Bog ti je dao jedno lice, a ti sebi drugo.“ – Vilijam Šekspir
“In the life of the individual, an aesthetic sensibility is both more authentic and more commendable than a political or religious one.” – Tom Robbins
„U životu pojedinca, estetski senzibilitet je i autentičniji i pohvalniji od političkog ili verskog.“ – Tom Robins
Rečenice, vremenski udaljene vekovima, ali vrednosno i suštinski jasno definišu ljudsku potrebu i odnos ka estetici.
Koja je mera? Da li je individualni senzibilitet same ličnosti jedini činilac?
Mi oduvek namećemo poželjnjiji izgled, to smo činili mnogo pre pojave instagrama. Prodati sebe u estetskom smislu deo je našeg biološkog koda. Trendovi i društveni mediji učinili su da naš estetski senzibilitet bude ogoljen, jasno vidljiv i na klik od deljenja sa širom zajednicom.
Za nas koji se bavimo osmehom, ovo je izazov i ispit na kome se pada ukoliko nema timske saradnje i saradnje sa pacijentom.
Želje naravno pripadaju pacijentu, a mogućnosti nama, stomatolozima i zubnim tehničarima. Pacijent ima autentični estetski senzibilitet, socijalno okruženje, mi, sa druge strane, znanje i protokole kako doći do cilja.
Estetska zona
Definisanje estetske zone u najkraćem podrazumeva vidljivu zonu, to nisu zubi u frontu od 13 do 23 odnosno 33–43. Danas je estetska zona ceo zubni niz od 16 do 26, odnosno 36–46 .
Daleke 1979. godine prof. Belser i 2002 Magne & Belser (1) definisali su Esthetic checklist -Estetske parametre:
Stanje gingive – Gingival health
Interdentalni prostori – Interdental closure
Ugao zuba – Tooth axis
Gingivalni zenit – Zenith of the gingival seam
Ravnoteža gingivalnog trougla – Balance of the gingival trigone
Nivo interdentalnog kontakta – Level of the interdental contact
Ovi parametri su naš koordinatni sistem, naš realni ram i uz dodatnu pomoć dentalne fotografije, intraoralnog skeniranja i fejs skena, mi ulazimo u fazu realnog kreiranja osmeha.
Realno kreiranje osmeha
Protokol i procedure su i početak i kraj…
Pa da počnemo. A početak su fotografije, fotografije i fotografije.
Ugao, pozicija i kvalitet fotografije od krucijalne su važnosti. Zašto?
Mogućnost kreiranja osmeha u samom osmehu je realnost koju svakodnevno primenjujem uz pomoć svih estetskih parametra koje smo već spomenuli.
Procedure koje koristim za dentalnu fotografiju prilagođene su i donekle modifikovane po protokolu dr Miloša Ljubičića.
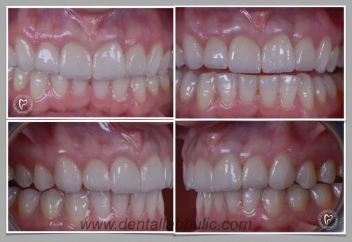
Fotografije možemo podeliti u dve grupe: komunikacione i radne. Radne fotografije su ključne za dizajniranje u exocadSmile Creator-u (slike 1a. i 1b.).
Prikaz slučaja
Slučaj koji želim da prikažem je primer iz svakodnevne prakse.
Mlađoj ženskoj osobi u frontalnoj regiji, od zuba 13 do 23, ranije je urađena protetika, ali ona želi da promeni osmeh.
Nakon razgovora sa prof. Dejanom Dubovinom, dobijam fotografije sa detaljnom listom želja u vezi sa bojom, oblikom i položajem. Redosled je ponekad važniji i od samih želja. Primećujem da je na prvom mestu boja zuba pa tek slede oblik i položaj.
Motivacioni dizajn
Za rad u exocad Smile Creator-u potrebne su nam portetne fotografije pacijenta i opciono situacioni otisak, bilo digitalni bilo analogni. Novi Smile Creator u exocad 3.0 Galway dolaze sa funkcijom automatskog prepoznavanja lica, koja nam znatno olakšava pozicioniranje (slika 2.).
Dizajn integrišemo u samu fotografiju, bolje rečeno, dizajniramo u realnom okruženju. Zlatna proporcija (golden proportion)(2) predstavlja matematičku proporciju koja označava odnos cetralnog, lateralnog sekutića i očnjaka, super gedžet za proveru dizajna. Linija gornje i donje usne, nagiba zuba itd. Prepoznajete mnogo parametara iz Belser & Magne klasifikacije.
Motivacioni dizajn je prva, ali svakako ključna faza, tako da našem pacijentu na realan način pokazujemo izgled, poziciju i boju budućih zuba. Komunikacija mora biti otvorena i kristalno jasna. Mi kao tim moramo shvatiti želje pacijenta i pažljivo ga voditi kroz ceo proces.
,,Želim prirodne i ne mnogo svetle zube” – rečenica je kojom pacijent prenosi svoju dugogodišnju želju, ali meni apsolutno ne pomaže.
Prirodnost i boja su individualne kategorije. Kao zubni tehničar sarađujem sa prof. Dubovinom više od 20 godina. Mi smo uigran tim, a ipak različito shvatamo prirodnost oblika i boje zuba. Znamo takođe da estetika zuba uz pomoć tehnologije može i mora biti jasna, predvidljiva i krajnje individualna.
Pacijent je nakon pregledanih slika odustao od ,,blich’’ boje i odlučio se za A1. Nismo izradili dijagnostički ,,mock up’’ jer nam je motivacioni dizajn potpuno jasno pokazao u kom pravcu treba da idemo.
Slika 1a: Komunikacione fotografije (Zahvalnost dr Milošu Ljubičiću na fotografijama i dr Lazaru Terziću kao modelu)
Slika 1b: Radne fotografije (Zahvalnost dr Milošu Ljubičiću na fotografijama i dr Lazaru Terziću kao modelu)
Slika 2: Motivacioni dizajn osim oblika pacijent može videti različite nijanse boja, na slici se vide dve varijante boje A3 i A1
Slika 3: Dizajniranje prototipa u exocad Smile Creator-u
Definitivni dizajn prototipa u exocad DentalCAD softveru
: Izgled definitivnitivnog dizajna
Intraoralni sken sa Medit i.o skenerom
Autor: Cdt Saša Bulić, Zubna laboratorija Bulić, Beograd
Izrada prototipa
Nakon skeniranja master modela (otisak je uzet analogno) dizajniramo prototip tamo gde smo stali sa kreiranjem motivacionog dizajna. Moja komunikacija sa pacijentom i prof. Dubovinom najviše podrazuimeva slanje fotografija, pa se odlučujemo da proverimo naš dizajn (slika 3.).
Na 3D štampaču DWS XFAB2500(3) štampamo prototip od biokompatibilnog resina Temporis u boji zuba A1 i proveravamo: naleganje, odnos prema mekim tkivima i antagonistima.
Korekcija oblika, slikanje i skeniranje u desktop skeneru (slika 4.).
Izrada definitivne konstrukcije
Ako pažljivije pogledate sliku, videćete jasnu razliku i manjkavost rada na modelu bez prirodnog okruženja lica i usta. Sledi korekcija u dizajnu i zatvaranje digitalnog dela vezanog za exocad DentalCAD.
Sledeće faze su rezanje u miling mašini, ručna separacija i izrada mikro tekstura na multilayer cirkonijumu, sinterovanje.
Nakon procesa sinterizacije cirkonije, sledi završna obrada i mikro slojevanje tečnom keramikom.
Predaja rada
Biti digitalan danas nije lako, nema savršenog dugmeta za ,,next’’ proces koji bi vodio do automatske izrade zuba. Svaki pacijent je novi izazov sa individualnim estetskim senzibilitetom, a zahvaljujući digitalnim procesu, naša komunikacija je jasnija.
Rekapitulacija naše jednačine u kratkim crtama: fotografija, motivacioni dizajn, prezentovanje i finalni dogovor sa pacijentom, analogno otiskivanje, skeniranje radnog modela u laboratoriskom desktop skeneru, izrada i štampa prototipa, korekcija dizajna, rezanje multilayer cirkonije, mikro slojevanje i predaja (slika 5.).
U ovom predstavljenom slučaju nedostaje nam intraoralni skener i skeniranje lica ,,face scan’’. Šta se u tom slučaju menja u procesu i protokolu? Da li možmo podići lestvicu? Poslovica nam govori da onaj ko želi, uvek nađe način, a ko ne želi nađe izgovor. Probajmo da pronadjemo način… (slika 6.).
Nastaviće se...
Zahvalnost prof. dr Dejan Dubovina, dr Miloš Ljubičić kao i firmi Tim Co. iz Beograda – zvaničnom distributeru DWS, exocad i Medit za Srbiju.
1 Magne P, Belser U. Bonded Porcelain Restorations in the Anterior Dentition: A Biomi-metic Approach. Chicago: Quintessence, 2002.
2 An Analysis of Maxillary Anterior Teeth Dimensions for the Existence of Golden Proportion: Clinical Study- N. Sandeep, Parth Satwalekar, B. Reddy Published 2015 Medicine Journal of International Oral Health : JIOH.
3 Zahvalnost firmi Tim Co. iz Beograda, zvaničnom distributeru DWS i exocad za Srbiju.
Cdt Saša Bulić,Zubna laboratorija Bulić, Beograd
Osnivač i vlasnik zubne laboratorije Bulić. Tokom karijere učestvuje na brojnim edukacijama i radionicama u zemlji i inostranstvu. Završio školovanje u Bredent Akademiji u Sendenu, Nemačka (zvanični demonstrator i internacionalni trener). 2019. godine jedan je od predavača na European prosthetic roadshow u 8 evropskih gradova, između ostalog bavi se edukacijom i obukom kolega širom sveta. Jedan je od četri osnivača prestižnog Udruženja za estetsku stomatologiju Srbije. Sferu interesovanja bazira na novim digitalnim tehnologijama i materijalima kao što su press keramika, cirkonija, Peek, kompoziti i njihova klinička primena.
SOLNA, Švedska: Quacquarelli Symonds (QS), vodeća globalna analitika visokog obrazovanja, nedavno je objavila svoju godišnju QS rang listu svetskih ...
To post a reply please login or register