Search Dental Tribune

Rehabilitacija pacijenata sa sniženom VDO - prikaz slučaja

Fotografije: Centar za Dentalnu Estetiku i Implantologiju Beograd
dr Branka Marinković, dr Igor Ristić

dr Branka Marinković, dr Igor Ristić

čet. 22 avgust 2024

Sačuvaj

Stomatološka struka, u eri dobre preventive, povećane svesti o dentalnoj higijeni uspeva da se izbori sa karijesom, ali se sve češće susreće sa pacijentima koji su izgubili strukturu zuba na druge načine, atricijom, efektima korozivnih dejstava ili nepravilnog položaja i rasporeda zuba. U velikom procentu oni pokazuju nedovoljnu vertikalnu dimenziju okluzije (VDO).

Iako se najčešće javljaju sa željom za rešavanje narušene estetike u frontalnoj zoni, prvi izazov predstavlja dijagnostika i procena količine izgubljene supstance, upoznavanje pacijenta sa potrebom sveobuhvatnije rekonstrukcije, kao i usaglašavanje celog terapijskog tima o planu i egzekuciji terapije, koja najčešće involvira rekonstrukciju skoro svih zuba. Usvajanjem digitalnih asistiranih načina izrade nadoknada a naročito porastom popularnosti monolitne cirkonija keramike, po našem mišljenju u regionu je došlo do značajnog napuštanja minimalno invazivnih pristupa, rezultujući još većim nepotrebnim gubitkom zdrave zubne supstance pacijenata!

Pravilna rehabilitacija oromastikatornog aparata zasniva se na pravilnoj rekonstrukciji VDO i za takav tip pacijenata uvek je izazovna! Upotreba sistematskog pristupa može olakšati celokupni terapijski postupak i omogućiti predvidljiv ishod lečenja. Ovde je predstavljen niz razmatranja uključenih u upravljanje i/ili obnavljanje VDO i ponovljiv klinički protokol koji ima za cilj poboljšanje sposobnosti stomatologa da poveća VDO dok rekonstruiše jako pohabanu
denticiju.

Snižena vertikalna dimenzija okluzije (VDO) označava smanjenje vertikalnog razmaka između gornjih i donjih zuba kada su u maksimalnom kontaktu. Razlozi sniženja VDO su mnogobrojni:

Nekariozna oštećenja zuba
Abrazija:
Uzroci: Prekomerno i nepravilno pranje zuba, upotreba četkica sa tvrdim vlaknima, abrazivne zubne paste, loše navike poput grickanja noktiju ili žvakanja olovaka.
Karakteristike: Trošenje gleđi na površinama koje su u kontaktu sa abrazivnim materijalima. Mat površine.

Erozija:
Uzroci: Izloženost kiselinama iz hrane i pića (npr. gazirani napici, citrusno voće), gastroezofagealni refluks, često povraćanje (npr. kod bulimije).
Karakteristike: Glatke, sjajne površine zuba bez prisustva plaka, uglavnom na lingvalnim (unutrašnjim) površinama prednjih zuba ili bukalnim (spoljašnjim) površinama
posteriornih zuba.

Abfrakcija:
Uzroci: Stresne sile koje se javljaju pri žvakanju ili bruksizmu (stiskanju i škrgutanju zubima), što dovodi do mikrofraktura na spoju gleđi i dentina.
Karakteristike: Klinasta oštećenja na vratu zuba, obično na premolarima i molarima.

Bruksizam:
Uzroci: Stres, anksioznost, nepravilna okluzija, poremećaji temporomandibularnog zgloba (TMJ).
Karakteristike: Ravne i istrošene površine zuba, često sa pukotinama ili frakturama, bol u vilici i TMJ.

Nedostatak molara i premolara
Gubitak zadnjih zuba može rezultirati spuštanjem mandibule zbog nedostatka potpore.

Vertikalna dimenzija se odnosi na posteriornu okluziju pre nego na uticaj frontalnog odnosa zuba (odnos). VDO se odnosi na donju vilicu koja se rotira od kondilarne rotacione ose temporomandibularnog zgloba. Količina rotacije (pomeranje mandibule) će uticati na vertikalno pozicioniranje mandibule. Dakle, vertikalna dimenzija je referentna tačka za visinu donje trećine lica.

Nedostatak ili neadekvatne protetske nadoknade

Atrofija alveolarnog grebena
Resorpcija kosti nakon gubitka zuba može smanjiti vertikalni razmak.

• Starosne promene
Prirodni procesi starenja mogu dovesti do postepenog trošenja zuba i smanjenja VDO.

• Jatrogeni faktori
Neadekvatne stomatološke restauracije koje ne održavaju ispravnu VDO mogu dovesti do smanjenja.

• Povrede
Povrede zuba i vilice mogu promeniti VDO.

Posledice smanjene vertikalne dimenzije okluzije

• Disfunkcija žvakanja
• Bolovi u vilici, TMJ disfunkcija, i problemi sa mišićima lica
• Estetski problemi: Skraćivanje donje trećine lica, smanjena vidljivost zuba, stariji izgled lica.
• Govorni problemi: Promene u govoru zbog promenjene pozicije zuba i vilica
• Oštećenje preostalih zuba: Povećan stres i habanje preostalih zuba.

Protetsko estetska rehabilitacija smanjene vertikalne dimenzije okluzije

U terapiji smanjenja VDO pristup je uvek multidisciplinaran. Pacijenti se najčešće javljaju specijalisti protetike jer su primetili kako
njihovi zubi postaju kraći, manje vidljivi, smanjenih estetskih kriterijuma. Tada je neophodno pribeći detaljnim analizama koje podrazumevaju:
1. Anamneza: Pacijent nam mora dati odgovore kako bi saznali uzrok “trošenja zuba” što nam daje razne smernice kako za samu terapiju,
tako i za preveniranje istih tokom i na samom kraju terapije.
2. Klinički pregled i analiza rendgen snimka.
3. Merenje VDO. Nije retka pojava konpenzatorne erupcije abradiranih zuba usled koje i pored prisutne abrazije nije narušena VDO. Zato se
mora uvek sprovesti merenje VDO, ustanoviti visina fiziološkog mirovanja i planirati visina budućeg restorativnog prostora isključivo u vrednostima centralne relacije okluzije.
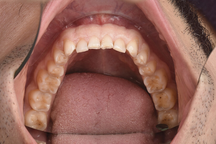
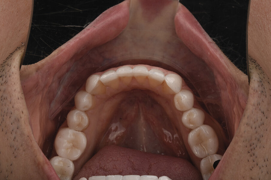
4. Ekstraoralni i intraoralni fotoprotokol (Sl. 1- 4).
5. Skeniranje zuba 
-Intra oralni sken inicijalne situacije
-Intra oralni sken na zadatu, željenu visinu pomoću jig-a (Sl. 5)
6. Motivacija pacijenta i analiza osmeha pomoću Dental Smile Design-a (Sl. 6). Najčešće upravo estetskim parametrima i definisanjem veličine frontalnih zuba kao i
planiranje vertikalnog i horizontalnog preklopa zuba, mi počinjemo rekonstrukciju tako što razmeštamo buduće nadoknade unutar restorativnog prostora koji će nam povišena
VDO omogućiti. U ovom konkretnom slučaju odlučili smo se da pacijenta rehabilitujemo nadokandama od litijum disilikata u formi krunica, faseta i table top faseta (nadoknade
koje sem keramike sa vestibularne strane sadrže i deo namenjen okuzalnoj rekostrukciji premolara i molara).
7. Proba buduće restauracije putem Mock up-a hemijski polimerizujućim kompozitom (Sl. 7-9).
8. Produžavanje kliničkih kruna zuba sa osteotomijom se u ovom slučaju pokazalo neophodnim za postizanje adekvatne proporcije zuba (Sl. 10, 11). Često se tom postupku pribegava i kako bi se omogućila adekvatna retentivna forma
zubnog supstrata za buduće nadoknade. Smatra se da je 3 do 4 mm raspoložive visine zuba dovoljno da uz adekvatan ferule efekat dobijemo kvalitetno adhezivno cementirane nadoknade.
9. Brušenje zuba preko mock up-a (Sl. 12 ), omogućava kontrolu dubine preparacije, obezbeđivanje laboratoriji dovoljno prostora da uz ujednčenu debljinu keramike postigne uniformaopticki efekat nadoknada u celini.
10. Otisak za laboratorijske privemene nadoknade koje pacijent terapijski nosi 2-6 meseci (Sl. 13). Proces navikavanja kao i potreba za eventualno reevaluacijom determinisane nove VDO najsigurnije je obaviti u ovoj fazi. U tom periodu
mozemo dobiti pregršt bitnih informacija o funkcionalnim performansama, estetskim karakteristikama kao i potencijalnim slabim tačkama, frakturama ili odlepljivanjma privremenih nadoknada usled okluzalnog neuravnoteženja.
11. Skeniranje adaptiranih privremenih kruna (Sl.14).
12. Proba prototipa def rada.
13. Proba keramičkin nadoknada pre glazure.
14. Predaja definitivnog rada i trajno pričvršćavanje adhezivnim postupkom (Sl. 15-20).
15. Predaja night guard-a. Kod pacijenata sa ovakvom patologijom i načinom rekonstrukcije neophodna je izrada noćnih folija ili udlaga kao i periodična kontrola kako pacijenata tako i predatih okluzalnih pomagala. Na njima se često mogu uočiti mesta pregrizanja koja mogu dovesti ako se prenebregnu do oštećenja nadoknada ali i zuba ukoliko se momentalno ne zamene.

Ukoliko se ceo terapijski tim pridržava definisanog protokola kako u kliničkoj tako i terapijskoj fazi rehabilitacija ovakvih pacijenata u velikoj meri biće predvidiva i stabilna dugoročno. Napredak gradivnih materijala pogotovo adhezivnih tehnologija omogućio nam je da iskoristimo i malo preostale gleđne supstance za kvalitetnu vezu zub-nadoknada!

U granicama raspoloživog prostora pokušali smo detaljno da prikažemo ovaj slučaj. Dalja razmatranja mogu ići u pravcu diskusije na temu pravilnog odabira načina determinisanje CR unutar VDO buduće rekonstrukcije, način preparacije za prikazani tip nadoknada, kada očuvati prirodne kontaktne površine zuba a kada ih zamneiti keramičkim, kao i kako omogućiti stabilno vezivanje definitivnih nadoknada! O tome će biti razmatrano u nekom od sledećih tekstova za DT.

 

Уредничка напомена:

Autori: dr Branka Marinković i dr Igor Ristić
Centar za Dentalnu Estetiku i Implantologiju, Beograd
drristic.com
dentist@iristic.com

To post a reply please login or register
advertisement
advertisement