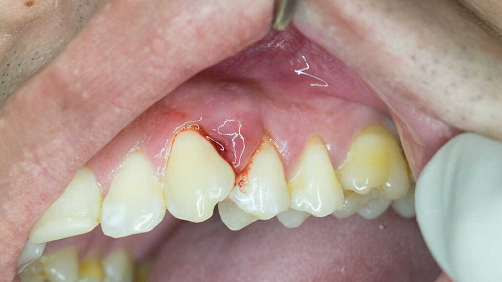
NJUJORK, USA: Kao značajan korak u redefinisanju terapije parodontitisa naučnici sa New York University College of Dentistry (NYU Dentistry) nagradili su startap kompaniju Periomics Care od avgusta ove godine sa godišnjom finansijskom pomoći u vrednosti od 224.000 US dolara za razvoj oralnih traka i gela za tretman parodontitisa. Sredstva za ovu finansijku pomoć obezbedio je Nacionalni instutut za dentalna i kraniofacijalna istraživanja i upotrebiće se specifično za prevenciju gubitka viličnih kostiju kod osoba obolelih od diabetes Tip 2.
Parodontitis se pet puta češće javlja kod osoba obolelih od dijabetes Tip 2 nego kod drugih ljudi i stoga se naučnici nadaju da će ovo istraživanje pomoći u razvoju terapijskih postupaka koji bi doveli do boljih rezultata terapije i smanjenja bolova kod pacijenata. “Postoji velika praznina u ponudi terpaijskih proizvoda za parodontalna oboljenja koja deluju na mehanizme koji uzrokuju pojavu oboljenja, a lako se primenjuju kod pacijenata“ izjavila je dr Angela Kamer, vanredni profesor Parodontologije i implanotologije na Stomatološkom fakultetu NYU, koja je jedan od konsultanata na ovom projektu.
U prethodnom istraživanju koje su sproveli naučnici kompanije Periomics Care pronađen je metabolit pod nazivom sukcinat (succinate= koji je povišen kod osoba obolelih od dijabetesa i koji aktivira sukcinat-receptor 1 (SUCNR1). Istraživanje je pokazalo da blokiranje SUCNR1 aktivira kontrolu upalnog procesa i gubitka kosti u paorodoncijumu što ukazuje na to da bi SUCNR1 mogao biti koristan za dalji razvoj terapiuetskih metoda prevenicje gubitka vilične kosti u bolestima koje napadaju parodoncijum. Imajući to u vidu, novo istraživanje je usmereno na razvoj formule za ciljano delovanje na taj protein kojom bi se impregnirali dentalne trake i gelovi.
Prema izjavama istraživača, dentalne trake i gelovi će biti napravljeni od biorazgradivog materijala i biće natopljeni sa antagonistima SUCNR1, i ovaj proizvod je zaštićen kao privremeni američki patent. Trake su namenjene za aplikaciju od strane stomatologa, dok će gel moći pacijenti sami da aplikuju na gingivu. “Razvoj biorazgradivih dentalnih traka i gelova predstavlja korak napred u razvoju neinvazivnih metoda za augmentaciju i mogu da zamene konvencionalne metode terapije parodontalnih oboljenja,” izjavio je dr Dipak Saksena (Dr. Deepak Saxena), vanredni profesor Baznih nauka i kraniofacijalne biologije na Stomatološkom fakultetu Univerziteta NYU i direktor kompanije Periomics Care.
Ознаке:
MALMÖ, Švedska: Bruksizam pogađa i do milijardu ljudi širom sveta. Ovaj čest poremećaj može da uzrokuje ozbiljna oštećenja zuba I zubnih nadoknada....
SEUL, Južna Koreja: Prema podacima Američkog udruženja ortodonata samo u Americi i Kanadi više od 5 miliona ljudi su na ortodonstkim tretmanima ...
BARSELONA, Španija: Nekoliko naučnih istraživanja je već ispitivalo moguće uzroke neuspeha dentalnih implantata. Ono što se najčešće ustanovilo kao...
Danas je poznat mehanizam kako nastanka tako i opstanka različitih sojeva mikroorganizama u usnoj duplji, čime je postalo moguće sagledati problem i ...
Stres je nezaobilazna pojava u našoj svakodnevnici. Posao, porodica, nedostatak novca, svuda oko nas problemi koji mogu da dovedu do povišenja...
NOTINGEM, Engleska: Upotreba naprednih biomaterijala u stomatologiji nastavlja da dobija na zamahu, nudeći nove načine za popravku i zaštitu zuba bez ...
Dentalni implantati su postali nezaobilazna terapija u stomatologiji kako bi se nadomestio nedostatak zuba u različitim kliničkim situacijama. Procenjuje ...
Nagoja, Japan: Matične ćelije izvađene iz psećih zuba i zubne pulpe pokazale su potencijal za reizgradnju koštanog tkiva u slučaju ...
TRST, Italija: Većina pacijenata sa COVID-19 samoprocenjuje disfunkciju mirisa i ukusa, što ih čini među najčešćim simptomima bolesti i onim koji ...
Stomatolog dr Val Kolpakov ima neobičan hobi – sakuplja paste za zube. Akademija svetskih rekorda njegovu kolekciju smatra trenutno najvećom na ...
Webinar uživo
uto. 12 maj 2026
7:00 (CET) Belgrade
Webinar uživo
čet. 14 maj 2026
6:00 (CET) Belgrade
Webinar uživo
čet. 14 maj 2026
8:00 (CET) Belgrade
Prof. Hani Ounsi DDS PhD FICD
Webinar uživo
uto. 19 maj 2026
5:00 (CET) Belgrade
Webinar uživo
uto. 19 maj 2026
7:00 (CET) Belgrade
Prof. Dr. med. dent. Ivo Krejci
Webinar uživo
sre. 20 maj 2026
1:00 (CET) Belgrade
Dr. Graham Carmichael BDSc (Hons), DClinDent (Pros), FRACDS, Dr. Robert Gottlander DDS
Webinar uživo
sre. 20 maj 2026
3:00 (CET) Belgrade