Mnogobrojni su razlozi zbog kojih se svakodnevno suočavamo sa odlukom da ponovimo prethodni tretman kanala korena zuba. Među tim razlozima može biti problem koronarnog curenja ili prethodni tretman koji nije sproveden u skladu sa standardima. Srećom, naš imuni sistem postoji i ravnoteža između imunog sistema i agresije bakterija ponekad može ostati ograničena u apikalnom području i bez kliničkih manifestacija, pa je potreban pad imunog sistema ili promena starog ispuna ili krunice koja može povećati nivo bakterija i ova ravnoteža se može narušiti i mogu se pojaviti kliničke manifestacije.
Pravo endodontsko ponovno lečenje može imati mnogo izazova u zavisnosti od prethodnog tretmana, vrste korišćenih opturacionih materijala, prisustva izbočina, separiranih instrumenata, složene anatomije i prisustva vlaknastog ili metalnog kočića.
Ako podelimo etape, od koronarnog dela ka apeksu, možemo da se pozabavimo svakim izazovom posebno i u zavisnosti od prepreka možemo da tretiramo svaki korak kao zasebno pitanje, da bi na kraju sve tačke spojili i došli do cilja. U slučaju da je postavljen bilo koji metalni ili fiberglas kočić, moramo uzeti u obzir debljinu preostalih zidova dentina. Naravno ultrazvuk je najbolja metoda za uklanjanje tvrdih materijala, u slučaju da je rizik veoma visok možemo razmotriti mikrohirurgiju kao opciju.
Turpije koje koristim za ponovljeno lečenje su Traverse i Zenflex (Kerr). Od Traverse turpija koristim otvarač 25/08 sa dužinom od 17 mm, od Zenflex-a koristim 06 konuse 35, 30 i 25. Jedinstvena varijabilna toplotna obrada koju te turpije imaju i veoma oštra rezna ivica plus dizajn žlebova čini ih odličnim alatom za početnu endodonciju kao i za ponovnu obradu.
Korak po korak, korišćenjem ove sekvence za uklanjanje prethodno postavljenog gutaperka poena iz unutrašnjosti kanala korena, počinjemo korišćenjem turpije Traverse 25 konusa 08, sa brzinom rotacije od 800 obrtaja u minuti, u malim “kljucajućim” pokretima, 2 ili 3 pokreta obično su dovoljni da se napravi ulazna tačka i izvadi koronarni deo gutaperke, turpija će ići koliko god ide, nema potrebe za dodatnim pritiskom. Sledeća turpija je Zenflex 35 06, pratiće prethodnu turpiju istim pokretom, malim pokretima, svaki put unutra i napolje sa amplitudom od 2 do 3 mm, par sekundi je dovoljno da turpija uradi svoj posao, na primer 3 puta unutra i napolje. Nakon 35 će uslediti 30 06 Zenflex, a na kraju i 25 u slučaju da 30 nije dostigao punu dužinu prethodne obturacije, ako osetimo da postoji prepreka ili turpija mnogo zahvata dentin, i unutar kanala još uvek postoji gutaperka - to se dešava u mezijalnim kanalima u slučaju ozbiljnih zakrivljenosti, prelazimo na 04 taper Zenflek sa istom tehnikom “crown down” tj.na dole od krunice i istom veličinom turpija.
Slika br. 1a–d: Sekvenca za retretman. 25/.08 Traverse turpija (a). 35/.06 ZenFlex turpija (b). 30/.06 ZenFlex turpija (c). 25/.06 ZenFlex turpija (d)
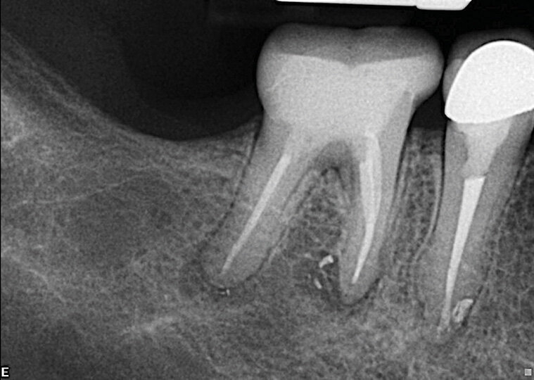
Slučaj 1 – Slika br. 2: Inicijalni periapikalni Rtg snimak
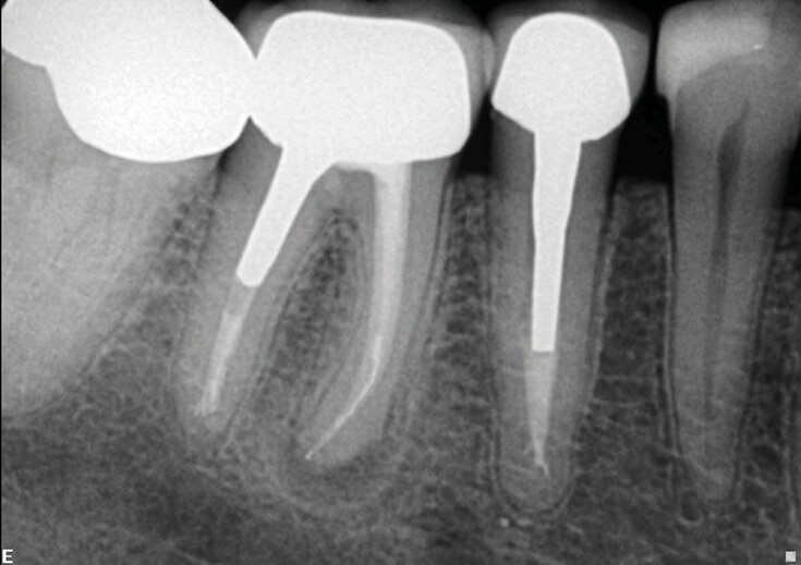
Slučaj 1 – Slika br. 3: Periapikalni kontrolni Rtg snimak nakon godinu dana od tretmana
Slučaj 2 – Slika br. 4: Inicijalni periapikalni Rtg snimak
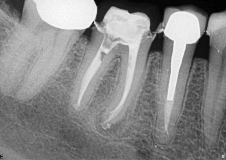
Slučaj 2 – Slika br. 5: Periapikalni kontrolni Rtg snimak odmah nakon tretmana
Slučaj 2 – Slika br. 6: Periapikalni kontrolni Rtg snimak nakon godinu dana od tretmana
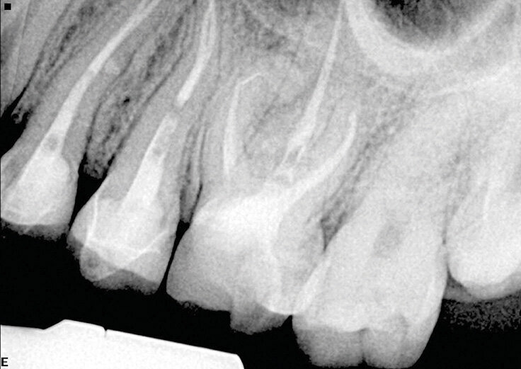
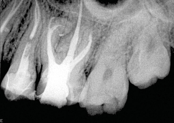
Slučaj 3 – Slika br. 7: Inicijalni periapikalni Rtg snimak
Slučaj 3 – Slika br. 8: Preoperativni CBCT sken
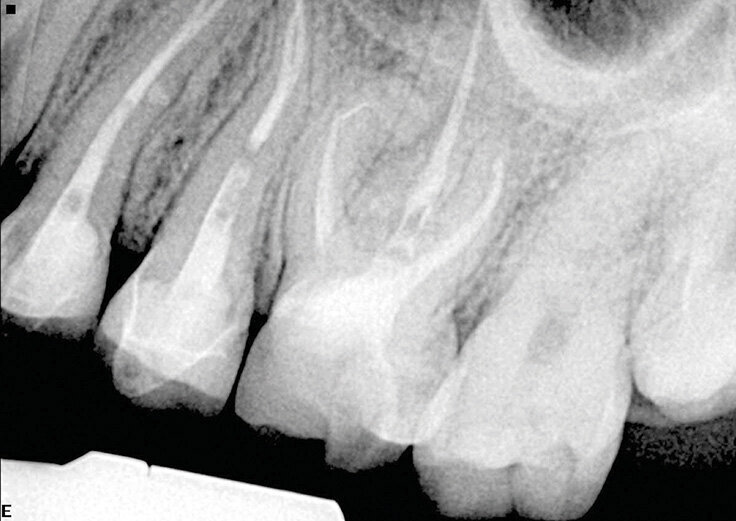
Slučaj 3 – Slika br. 9: Periapikalni kontrolni Rtg snimak odmah nakon tretmana
Slučaj 3 – Slika br. 10: Periapikalni kontrolni Rtg snimak nakon godinu dana od tretmana
Slučaj 3 – Slika br. 11: Periapikalni kontrolni Rtg snimak 18 meseci nakon tretmana
Klinički slučajevi:
Slučaj br 1.
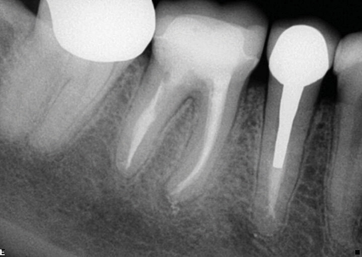
Pacijent je upućen zbog nelagodnosti u donjim zubima koja je prerasla u pulsirajući bol. Nakon pregleda i rendgenskog snimanja, kod pacijenta je konstatovano da ima problema na prvom donjem molaru i premolaru. Prethodni kanal korena nije bio urađen na nivou standarda i izgleda kao obturacija sa jednim konusom (Slika br. 1). Pacijentu je predočen plan lečenja koji uključuje ponovno lečenje i premolara i molara i na kraju zamena obe krunice. Prošao sam kroz krunice za oba zuba u istoj sesiji. Kao što je ranije opisano, turpije koje sam koristio bile su Traverse 25 08 17 mm, a zatim se Zenflex 35-30-25 06 sužavaju do radne dužine. U ovom slučaju dodao sam konus 35 04 kao turpiju za proširenje na vrhu. Urađena je 3D obturacija pomoću elements IC za oba zuba. 12 meseci nakon tretmana pozvao sam pacijenta na kontrolu (Slika br. 2). Primetio sam da je zarastanje na oba zuba gotovo u potpunosti završeno, sa prelepom obturacijom sistema korenskih kanala i više izlaza. Krunica na molaru je zamenjena, ali na žalost krunica na premolaru nije, na snimku se vidi neka vrsta unutrašnjeg nakupljanja, te sam obavestio pacijenta da to može da ugrozi uspeh lečenja premolara.
Slučaj br 2.
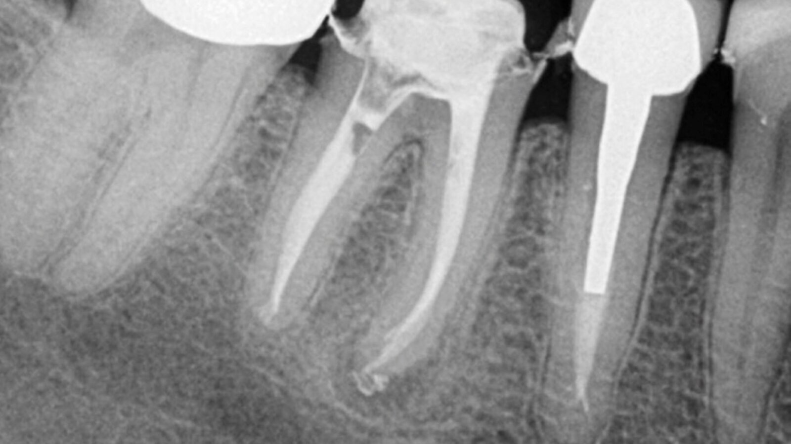
Pacijent je upućen na retretman donjeg molara. Početni rendgenski snimak prikazuje metalni liveni kočić u distalnom kanalu, separiran instrument u jednom od mezijalnih kanala i radiolucenciju na apeksu. Pacijent je obavešten da ću morati da mu uklonim staru krunicu i metalni kočić da bih mogao da uradim enododntski retretman i to će mi omogućiti pristup kanalima korena da ih ponovo obradim i napunim. Alternativa je da bila da uradim mikrohirurgiju na mezijalnom korenu, ali za ovo bih morao da isečem dugačak deo korena da bih postigao hermetičko zatvaranje unutar kanala zbog zalomljene turpije i nedostajućeg dela kanala koji nije tretiran. Pacijent je prihvatio prvi izbor. Prvi koraci su bili sečenje krunice i njeno uklanjanje, zatim sam nastavio sa delikatnim sečenjem metalnog kočića kako bi ga uklonili deo po deo. Deo zuba u kojem je kočić sam vibrirao ultrazvukom i bezbedno ga skidao. Ovo mi je omogućilo pristup gutaperki ispod. Koristio sam isti redosled turpija, Traverse i Zenflex. U distalnom korenu sam uspeo da idem sve do radne dužine, u mezio-bukalnom takođe do kraja, u mezio-lingvalnom sam stao gde je bila separiran isntrument. Ovde sam počeo da koristim male K-file turpije veličina 06 08 10 i 15 da zaobiđem instrument, imao sam sreće da to uradim pa čak i da je izvadim iz unutrašnjosti zakrivljenosti, i napravljeno je potpuno čišćenje i oblikovanje, praćeno 3D obturacijom sa elements IC (Slika br. 4). Jednogodišnje praćenje (Slika br. 5) pokazuje odlično izlečenje.
Slučaj br 3.
Poslednji slučaj o kome bih želeo da govorim u ovom članku, jedan je od najizazovnijih tretmana. Pacijentkinja je upućena iz inostranstva na remont gornjeg molara jer je insistirala na spasavanju zuba. Na malom rendgenskom snimku (Slika br. 6) sam jasno video da imamo separisan instrument u mezijalnom korenu, ali je anatomija bila veoma sumnjiva. Pacijentkinja mi je dala CD sa CBCT urađenim za nju, i gledajući različite delove , mada bih više voleo veću rezoluciju snimka (Slika br. 7), primetio sam 3 različita izlaza za mezijalni koren sa veoma neobičnom anatomijom. Proučavajući ovaj slučaj primetio sam i grananje na palatinalnom korenu u apikalnoj oblasti. Objasnio sam pacijentkinji da ću dati sve od sebe da joj spasem zub. Koristio sam istu sekvenca turpija Traverse i Zenflex u distalnom i palatalnom kanalu korena zuba do pune radne dužine, a kod mezijalnog korena sam dostigao do zalomlejnog instrumenta i prešao na veoma delikatan zadatak njegovog zaobilaženja i obrade ovog veoma složenog sistema korenskih kanala. Slika br. 8 prikazuje neposrednu postoperativnu i 3D obturaciju mezijalnog kompleksa, kao i palatinalno grananje. Slike br. 9 i 10 su nakon 12 i 18 meseci od tretmana gde se vidi dobro zarastanje i svaki put kada uzmem da pogledam iz drugačijeg ugla vidim složenost mezijalnog korena.
Zaključak
Druga šansa treba uvek da je Vaš izbor lečenja, svi slučajevi su naravno imali punu sekvencu irigacije o kojoj sam ranije pisao. Poznavanje potencijala i ograničenja naših alata i mogućnosti je ključ uspeha.
Теме:
To post a reply please login or register