Search Dental Tribune

Estetska kamuflaža i korekcija hipomineralizacije sekutića uzrokovane traumom

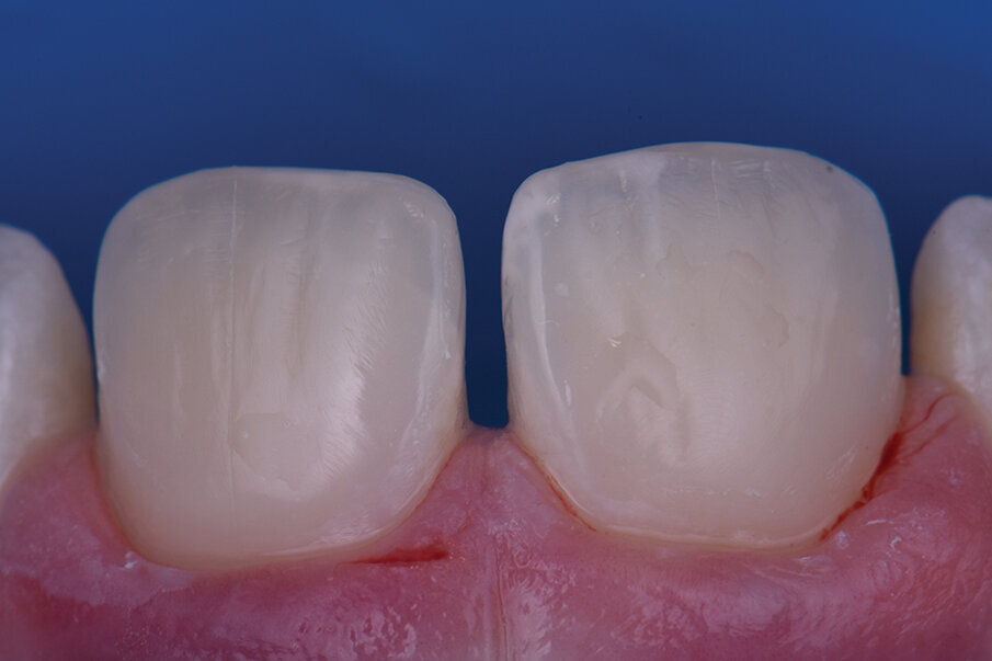
Završni sloj gleđi A1 postavljen je (IPS Empress Direct) pomoću instrumenta OptraSculpt, a primarna anatomija je oblikovana i definisana
Dr Clarence Tam, Novi Zeland

Dr Clarence Tam, Novi Zeland

uto. 21 mart 2023

Sačuvaj

Hipomineralizacija sekutića je podskup hipomineralizacije kutnjak-sekutić, stanja koje je estetski i često funkcijski oslabljujuće kod zahvaćenih pojedinaca. Ima multifaktorsku etiologiju koja pogađa približno 16% severne evropske populacije (1) u zajednicama s niskim nivoom ili premalo fluorida.

O slučaju:

Zdrav 11-godišnji dečak došao je u ordinaciju zbog nestabilnih i nepravilnih kompozitnih ispuna na njegovim središnjim gornjim sekutićima. Zubi su inicijalno opisani kao klasična hipomineralizacija kutnjak-sekutić (MI) s nekavitiranom, smeđom hipomineralizacijskom lezijom lokalizovanom na zubu 11 i zubu 21, a dodatni MI status je nakon nekomplikovanog preloma gleđi usled udarca metalnom flašom za piće (Sl. 1). Pacijent je opisan kao da je u stanju srednje mešovite denticije. Navedene su mogućnosti estetskog lečenja uključujući mogućnost predprotetskog izbeljivanja. To su roditelji odbili nakon saznanja da će postupke izbeljivanja verovatno  ponavljati u budućnosti zbog izbijanja preostalih trajnih zuba, uz rizik od razlike u boji s izbeljenim zubima. Izbeljivanje deluje na smanjenje hromatskih aspekata hipomineraliziranih lezija i istovremeno podiže vrednost pozadinske boje, smanjujući vizualni kontrast između lezije i zuba. Infiltracija smolom uvek je opcija za nekavitirane hipomineralizirane lezije, ipak, s rezidualnim kompozitom koji prekriva zube, strukturnim nedostacima uzrokovanim traumom i prisutnošću hromatskih regija unutar područja organski bogate hipomineralizacije, izabran je konzervativni pristup, kako za povećanje predvidljivosti vezivanja u regiji tako i za vizualno uklanjanje lezije.

Postupak:

Odabir boje dovršen je pre primene lokalnog anestetika na bazi 18% benzokaina/2% tetrakaina (Zap, Germiphene). Poznato je da dehidracija smanjuje sadržaj vode, što povećava proporcionalnu količinu vazduha u zubu, smanjujući indeks prelamanja s 1,33 (voda) na 1,00 (vazduh) čime se povećava indeks refleksije, a time i vizualna vrednost i neprozirnost (Sl. 2). IPS Empress Direct (Ivoclar) kompozitni uzorci boja odabrani su i postavljeni tako da preklapaju incizalno područje zuba 22, koji ima funkciju  referentne boje zuba. Odgovarajuće boje dentina postavljene su cervikalno, gde je gleđ bila najtanja, a boja dentina najizrazitija. Kao na karte boja označene su halo i subhalo translucencije. Za ovaj slučaj odabrana je boja gleđi A1 i boja dentina A2 (Sl. 3).

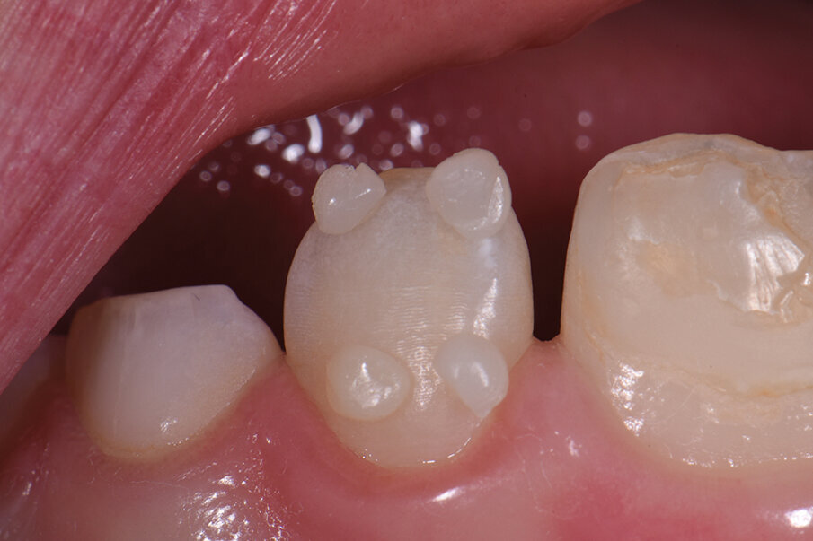
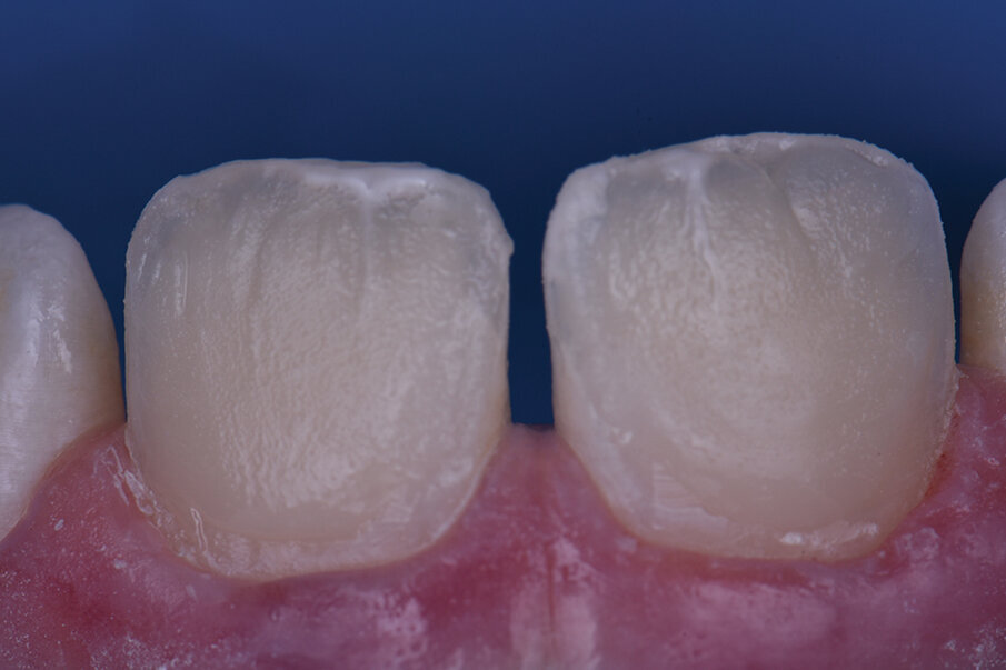
Nakon apikalne primene anestezije u trajanju od 90 sekundi i primene 1,4 karpule 2% lignokaina s 1:100 000 rastvorom epinefrina (Septodont) putem bukalne infiltracije, regija je izolovana razdvojenom gumenom kvačicom sa stezaljkama (Sl. 4). Stari restaurativni materijal je uklonjen, a hipomineralizovana regija konzervativno smanjena kako bi se izložila poboljšana količina anorganskog supstrata za vezivanje. Uočeno je da postoje hipomineralizirana područja u srednjoj i incizalnoj trećini na oba srednja sekutića i 11 i 21. U gleđi je primećen deblji kosi lom, koji nije došao do palatinalne površine. Odlučeno je ostaviti to područje i ojačati ga vezivnim restaurativnim materijalom, minimalno invazivnim načinom (Sl. 5). Površina je izolovana za primenu adheziva s potpunim nagrizanjem, a prva tanka lingvalna ljuskica oblikovana je i definisana bojom A2 gleđi s halo A2 Dentin (IPS Empress Direct). Ovo područje je oblikovano vrlo tanko kako bi se ostavio prostor za sledeće slojeve koji bi definisali željenu translucenciju u ovoj zoni. Smolasti premaz postignut je u hipomineraliziranoj zoni pomoću 3 mikro sloja boje A2 Tetric EvoFlow (Ivoclar) (Sl. 6). Područje hipomineralizacije na oba zuba tretirano je sledećim, tankim slojem A2 Dentina, koji je imao za cilj da uskladi vrednost i boju tela zuba te da stvori incizalne nepravilnosti tipične za unutrašnju anatomiju dentina. Bolje definisna i ispravljena vrednost halo efekta koju smo želeli, postignuta je korišćenjem prilagođene mešavine IPS Empress Color White: Oker u srazmeri 9:1. Ovaj halo efekt izrađen je pomoću prilagođenog instrumenta za oblikovanje pukotina (TNTAM1, Hu-Friedy) (Sl. 7). Određeni stepen opalescencije bio je poželjan između incizalnih prstiju, te je stoga nanešena boja Opal Trans (IPS Empress Direct) pomoću instrumenta OptraSculpt (Ivoclar). Važno je napomenuti da upotreba instrumenta OptraSculpt otklanja ili smanjuje kliničku potrebu za korišćenjem smole koja sprečava lepljenje kompozita na instrument, obzirom da smola ima sposobnost da oslabi ili promeni fizikalna svojstva kompozita ako se koristi u prekomernim količinama. Često, pojedinačni ili višestruki fini neprozirni spojevi s dentinom vide se iznutra od halo efekta do tela dentina. To je postignuto upotrebom Empress Direct White koji je u ovom slučaju postavljen površinski u odnosu na stvrdnuti Opal Trans sloj (Sl. 8). Završni sloj gleđi A1 postavljen je (IPS Empress Direct) pomoću instrumenta OptraSculpt, a primarna anatomija je oblikovana i definisna (Sl. 9). Sekundarna anatomija mapirana je i oblikovana pomoću niza finih dijamantnih svrdla s vrhom igle i tankim zakošenjem (Mani) (Sl. 10) pre završne dorade i poliranja, pomoću abrazivnih diskova i dvostepenog sastava poliranja OptraGloss, koji je lepo istakao sekundarnu i tercijarnu anatomiju (Sl. 11).

Postoperativna analiza ukazuje na uspešnu vizualnu eliminaciju problematičnih područja, incizalnu razigranost i značaj translucencije, te nudi glatku, bioanatomsku površinu koja bi trebala otkloniti sve brige koje pacijent ima u vezi sa samopouzdanjem u osmehu, dugi niz godina (Sl. 12).

Rasprava:

Hipomineralizacija sekutića je podskup hipomineralizacije kutnjak-sekutić, stanja koje je estetski i često funkcijski oslabljujuće kod zahvaćenih pojedinaca. Ima multifaktorsku etiologiju koja pogađa približno 16% severne evropske populacije (1) u zajednicama s niskim nivoom ili premalo fluorida. Razdoblje osetljivosti je od 32 nedelje u materici do 5,5 godina starosti i rezultira defektom lezije gleđi koji počinje na razini dentinogleđnog spoja (DEJ) i širi se površinski. Nasuprot tome, fluorozne lezije nastaju zbog prisutnosti prekomernih sistemskih nivoa fluorida i karakteriziraju proširenje od površine prema gleđno cementnoj granici. Defekt MIH ili incizalne hipomineralizacije primećuje se u postsekretornom stadijumu amelogeneze, što ostavlja površinu koja je slaba i osetljiva na brzu post-eruptivnu razgradnju od žvačnih i okolišnih sila, povećavajući rizik od sekundarnog propadanja. Ova rezultirajuća površina definisana je kao nepravilnija, porozna s neorganizovanim kristalima hidroksiapatita, vizualno nejasna i manjkavog volumena. Crombie i saradnici (2) odredili su anorganski sadržaj zahvaćenih lezija gleđi na 58,8% (vol%) u odnosu na nezahvaćenu gleđ na 86%.

Strategije se klasifikuju od neinvazivnih do progresivno invazivnih zavisno od želja pacijenta i zaštite, ako je primenjivo. Protokoli izbeljivanja na bazi vodonikovog i karbamid peroksida uspešno su korišćeni sa ili bez strategija infiltracije smolom, pri čemu poneki imaju vrlo različite uspehe u literaturi (3).

Pacijent je u ovom slučaju uz podršku svoje majke zaključio, kako i predprotetsko izbeljivanje i infiltracija smolom imaju ograničeni odnos troškova i koristi budući da drugi zubi, koji tek trebaju izbiti intraoralno, mogu imati tamniju boju ili vrednost i zahtevaju naknadno izbeljivanje. Kako je već postojao manjak volumena gleđi zbog traume, zajedno s istaknutom hromatskom hipomineraliziranom lezijom na 11, donešena je odluka da se nastavi samo s redukcijskim pristupom. To omogućuje istovremeno smanjenje supstrata s visokim delom organskih materija i povećava mineralnu gustoću dobijenog supstrata, istovremeno osiguravajući prostor za korektivno nanošenje slojeva smole s predvidljivijom snagom adhezivne veze. (4)

IPS Empress Direct odabran je kao direktni restaurativni materijal budući da pokazuje veoma visoke tolerancije u pogledu translucencije, neprozirnosti i fluorescencije u odnosu na prirodno. Promer barijumskog stakla od 0,7 mikrona za dentin i 0,4 mikrona za gleđ osigurava klinički performanse u odnosu na čvrstoću i otpornost na trošenje što se odnosi na svaki sloj. Polimerizacijsko skupljanje kontroliše se u sloju dentina koji se često nanosi izdašnije pomoću predpolimera, koji istovremeno povećavaju njegovu čvrstoću. Rendgen vidljivost se pojačava upotrebom iterbijum trifluorida, koji takođe otpušta fluoride. To je materijal dizajniran za optimalne optičke, kliničke i funkcijske performanse korišćenjem smolaste kompozitne gleđ-dentinske nadoknade i ostaje zlatni standard u modernom direktnom restaurativnom postupku.

Literatura:

  1. Weerheijm KL: Molar incisor hypomineralisation (MIH). Eur J Paediatr Dent 2003, 4:114-120.
  2. Crombie, F, Manton DJ, Palamara JEA, Zalizniak I, J Cochrane N, Reynolds E. 2013. Characterisation of developmentally hypomineralised human enamel. J Dent. 41. 10.1016/j.jdent.2013.05.002.
  3. Fayle SA. 2003. Molar Incisor Hypomineralization: Restorative Management. Eur J Paed Dent 3:121-126
  4. Kumar H, Palamara JEA, Burrow MF, Manton DJ 2017 An investigation into the effect of a resin infiltrant on the micromechanical properties of hypomineralised enamel. Int J Paed Dent 27(5):399-411

Autor:

Dr Clarence Tam, HBSC, DDS, AAACD, FIADFE  je poreklom iz Toronta, Kanada, gde je stekla doktorat dentalne hirurgije i specijalizaciju iz dečje stomatologije na Univerzitetu Zapadnog Ontarija i Univerzitetu u Torontu. Clarencina ordinacija usmerena je na restaurativnu i kozmetičku stomatologiju, a ona nastoji da pruži odgovarajući tretman svakom pacijentu. Objavljuje članke u lokalnim i međunarodnim stomatološkim novinama, piše članke, pregleda radove i razvija prototipove proizvoda i tehnika u kliničkoj stomatologiji. Često i kontinuirano drži predavanja u inostranstvu.

Clarence ima višestrano stomatološko iskustvo. Ona je bivša predsednica i direktor Novozelandske akademije kozmetičke stomatologije. Ona je jedan od samo dva stomatologa u Oceaniji koji su sertifikovani članovi Američke akademije za kozmetičku stomatologiju (AACD). Štoviše, Clarence održava status stipendista Međunarodne akademije za dentofacijalnu estetiku. Član je u Savetodavnom odboru za Dental Aziju i deo je Restaurativnog savetodavnog odbora za Henry Schein Dental Novi Zeland. Osim profesionalnih organizacija kojima pripada, Clarence je voditeljka ključnih mišljenja za niz globalnih stomatoloških firmi, uključujući Triodent, Coltene, Kuraray Noritake, Hu-Friedy, J Morita Corp, Henry Schein, Ivoclar, Kerr, GC Oceanija, SDI i DentsplySirona. Štaviše, ona je jedini Voco stipendist na Novom Zelandu i u Australiji.

Clarence učestvuje u brojnim dobrotvornim poduhvatima i jako je ponosna na postizanje prelepih osmeha za pacijente u i oko svoje zajednice. Ona je član u odboru Smiles For the Pacific, obrazovne institucije i dobrotvorne organizacije koja ima za cilj proširenje usluge profesionalne stomatologije u celoj regiji Južnog Pacifika. Ona je uključena u Delta Gamma Sorority i želi da predvodi projekte koji su usklađeni sa Službom za vid u južnom Pacifiku.

Dr. Clarence P. Tam, HBSc, DDS, AAACD, FIADFE

P.O. Box 99-155, Newmarket, Auckland 1149, New Zealand

To post a reply please login or register
advertisement
advertisement