U moderno doba ultimativne estetike, pojam estetske stomatologije nije stran. Pacijenti dolaze kod stomatologa sa sve većim estetskim zahtevima. Iako naša stomatologija prati svetske trendove, često se u praksi suočavamo sa različitim poteškoćama, počevši od bazične terapije, preko komplikovanih stomatoloških zahvata pa i održavanja postignutih rezultata. Pacijenti pušači su nam zbog toga svakodnevno prisutni u praksi i sa svojim estetskim zahtevima ne zaostaju za nepušačima. Često njihove želje nisu u skladu sa indikacijama, a za realizaciju zahtevaju prestanak pušenja. Stomatolog ima značajnu ulogu u odvikavanju pacijenata od pušenja kroz jednostavno i razložno objašnjenje kako ova loša navika negativno utiče na zdravlje i estetiku usne duplje.
Sagorevanjem duvana oslobađa se duvanski dim koji na usnu duplju deluje štetno hemijski i termički. Upravo su estetske promene prve uočljive negativne posledice pušenja duvana. Čvrsta komponenta duvanskog dima, taloži se u vidu estetski neprihvatljivih pušačkih pigmentacija na površini zuba (gleđ, plombe, keramičke nadoknade) čineći je lepljivijom i plak prijemčivijom. Na taj način se stvaraju uslovi za lakšu akumulaciju zubnog plaka i kamenca. Otežano održavanje oralne higijene dovodi do češćih oboljenja čvrstih (karijes) i mekih tkiva usne duplje (gingivitis, parodontopatije). Rastvorljivi pigmenti duvanskog dima ugrađuju se u kristalnu rešetku hidroksiapatita i prebojavaju zube od žute do braon boje. Imaju sposobnost da znatno preboje i kompozitne zubne ispune. Hronični hemijski i termički nadražaj duvanskog dima na sluzokožu usne duplje i pljuvačne žlezde, uzrokuje upalne i degenerativne promene i suvoću usta pušača. Smanjena oksigenacija usne duplje zajedno sa sledstvenom prevalencom anaeroba i lako isparljivim sumpornim jedinjenjima duvanskog dima dovodi do neprijatnog zadaha. Naučno dokazan kompromitovan lokalni i opšti imunitet pušača razlog je povećane incidence različitih promena i oboljenja u usnoj duplji koji se javljaju u agresivnijoj formi. Duvanski dim kompromituje različite vidove terapije u usnoj duplji i otežava održavanje postignutih rezultata. Štetan uticaj duvanskog dima na oralno zdravlje i na estetiku zuba direktno je proporcionalan dužini pušačkog staža, količini i frekvenci pušenja cigareta kao i lokalnom i opštem imunitetu pušača.
Prikaz slučaja
Pacijent muškog pola, starost 50 godina,višegodišnji pušač (dužina pušačkog staža preko 30 god., 30-40cig/dan; u daljem tekstu: Pacijent A) i pacijent muškog pola, starost 48 godina, višegodišnji pušač (30 god., oko 30cig/dan; u daljem tekstu: Pacijent B). Oba pacijenta se javljaju na redovnu kontrolu, poliranje zuba (uklanjanje pušačkih pigmentacija, zubnog kamenca i mekih naslaga). Žale se na brzo gomilanje estetski neprihvatljivih naslaga, otežanu oralnu higijenu, prebojavanje zuba, neprijatan zadah iz usta, suvoću usta, smanjen osećaj ukusa i mirisa i žarenje jezika. Nezadovoljni su i kratkotrajnošću postignutih estetskih rezultata. Nakon pregleda i uvidom u stomatološki karton, utvrđeno je da je od prošle njihove posete stomatologu prošlo svega 4 meseca.
Pacijent A koji u prošlosti u više navrata pokušava da prestane sa lošom navikom pušenja i u tome ne uspeva, ovog puta nakon jasnog objašnjenja o štetnosti duvanskog dima odlučuje se da klasičnu cigaretu zameni alternativnim bezdimnim duvanskim proizvodom. Odlučeno je da se objektivne i subjektivne promene u usnoj duplji prate u funkciji vremena od 1, 2 i 4 meseca.
Pacijent B se međutim odlučuje za postepeno odvikavanje od pušenja uz pomoć stomatologa. U prva dva meseca smanjiće količinu i frekvencu konzumiranja cigareta.Kako bi se pacijentu slikovito dokazala neminovnost taloženja čvrste komponente duvanskog dima, katrana, koja postoj iisključivo prisustvom duvanskog dima, zakazane su kontrole na mesec i 2 meseca nakon poliranja zuba. Po konačnom prestanku pušenja, promene u usnoj dupljii i subjektivni doživljaj pacijenta, pratiće se ufunkciji vremena od 4 meseca i uporediti sa pacijentom koji je klasičnu cigaretu zamenio bezdimnom alternativom klasičnim cigaretama.
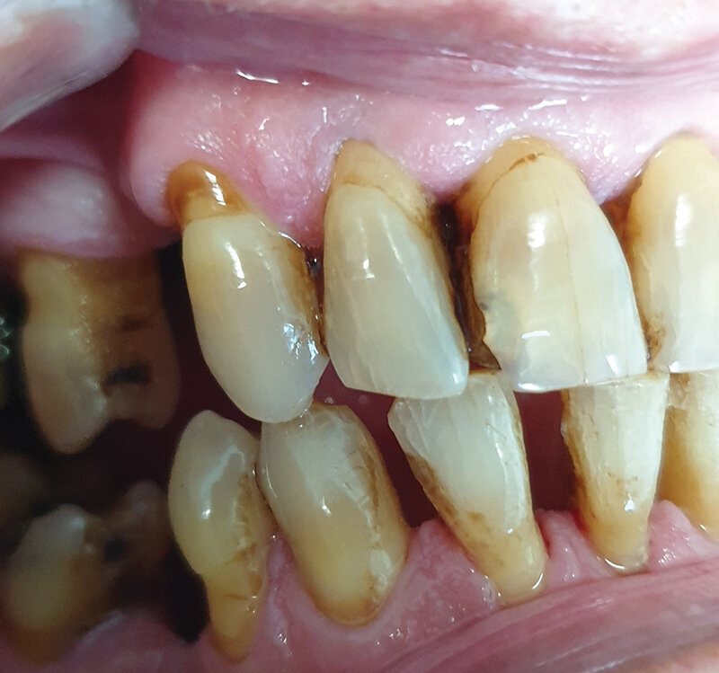
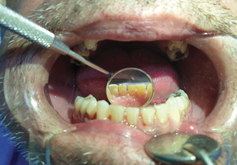
Pacijent A pušač pri prijemu. Jasno se uočavaju naslage u vidu estetski neprihvatljivih pušačkih pigmentacija na svim površinama zuba. Nizak nivo oralne higijene ogleda se u nalazu zubnog kamenca i visokom Plak indexu. Jasno su uočljive pušačke melanoze vidljivog dela desni kao i suvoća i beličaste promene obraznog dela sluzokože. Obložen jezik takođe je karakterističan nalaz višegodišnjeg pušača (Sl. 1.0).
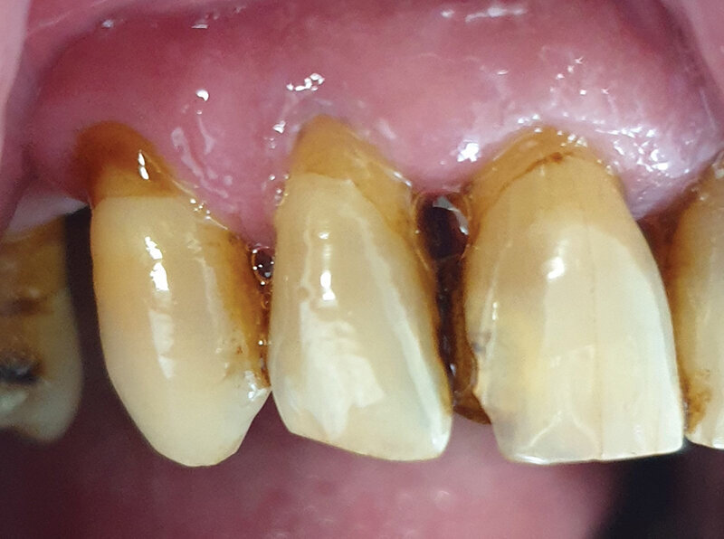
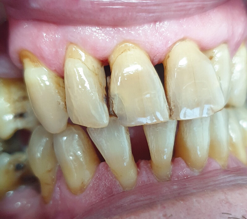
Pacijent B pušač pri prijemu. Estetski neprihvatljive pušačke pigmentacije na svim površinama zuba, naročito onim u estetskoj zoni, direktno izloženim glavnoj struji duvanskog dima. Zubni kamenac i meke naslage ukazuju na nizak nivo oralne higijene. Uočava se i prebojenost kompozitnih aproksimalnih plombi gornjih prednjih zuba. Slabije izražene melanogene pigmentacije desni. Jezik pacijenta takođe je obložen (Sl. 2.0).
Sl. 1.0: Pacijent A, pušač pri prijemu
Sl. 1.1: Pacijent A, pušač nakon poliranja i beljenja zuba
Sl. 1.2: Pacijent A, kontrola nakon mesec dana od prelaska na bezdimni duvanski proizvod
Sl. 1.3: Pacijent A, kontrola nakon 2 meseca od prelaska na bezdimni duvanski proizvod
Sl. 1.4: Pacijent A, kontrola nakon 4 meseca od prelaska na bezdimni duvanski proizvod
Sl. 2.0: Pacijent B, pušač pri prijemu
Sl. 2.1: Pacijent B, pušač nakon poliranja i beljenja zuba
Sl. 2.2: Pacijent B, kontrola nakon mesec dana pušenja cigareta
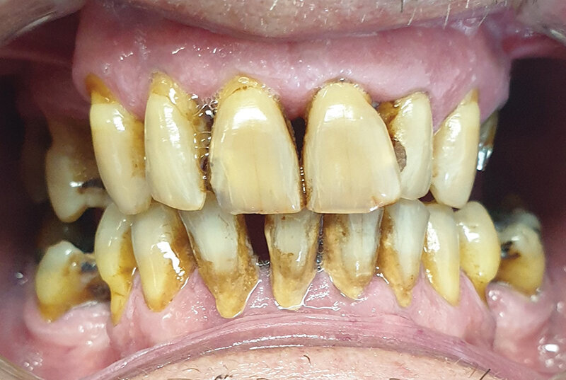
Sl. 2.3: Pacijent B, kontrola nakon 2 meseca pušenja cigareta
Sl. 2.4: Pacijent B, nakon potpunog prestanka pušenja, poliranja i uklanjanje zubnog kamenca i mekih naslaga
Sl. 2.5: Pacijent B, kontrola nakon 2 meseca od potpunog prestanka pušenja
Sl. 2.6: Pacijent B, kontrola nakon 4 meseca od potpunog prestanka pušenja
Pacijent B pušač nakon uklanjanja čvrstih i mekih naslaga, poliranja zuba i beljenja zuba, takođe obučen i motivisan za održavanje oralne higijene (Sl. 2.1).
Pacijent A, kontrola nakon mesec dana od prelaska na bezdimni duvanski proizvod i poliranja i beljenja zuba. Jasno se vidi odsustvo pušačkih pigmentacija, odsustvo zubnog kamenca, niska vrednost Plak indexa, zadovoljavajući nivo oralne higijene, kao i stabilnost postignutih rezultata nakon beljenja zuba i odsustvo potrebe za ponovnim čišćenjem (Sl. 1.2).
Pacijent B, kontrola nakon mesec dana. Pacijent B nastavlja sa svojom lošom navikom pušenja duvana, uz smanjenu frekvencu i količinu konzumiranja cigareta na minimum. Pacijentu je slikovito dočarano ponovno taloženje neželjenih pušačkih pigmentacija u veoma kratkom vremenskom periodu (Sl. 2.2).
Pacijent A, kontrola nakon 2 meseca. Pacijent A i dalje koristi bezdimnu alternativu umesto klasične cigarete. Slike ukazuju na održivost postignutih rezultata i odsustvo potrebe za ponovnim čišćenjem nakon 2 meseca od posete stomatologu. Pacijent A prijavljuje subjektivno odsustvo neprijatnog zadaha iz usta (Sl. 1.3).
Pacijent B, kontrola nakon dva meseca. Pacijent B pušač, koja ni nakon 2 meseca nije uspeo u potpunosti u odvikavanju od svoje loše navike. Čvrsta komponenta duvanskog dima, u funkciji vremena od 2 meseca, pokrila je još veću površinu zuba, u vidu estetski neprihvatljivih pušačkih pigmentacija, čija je lepljivost i hrapavost pogodovala zadržavanju dentalnog plaka i formiranju zubnog kamenca. Slike se koriste kao dodatni motiv pacijentu B u odvikavanju od pušenja (Sl. 2.3).
Pacijent A, kontrola nakon 4 meseca. Pacijent A sve vreme koristi bezdimnu alternativu klasičnoj cigareti. Ove slike takođe pokazuju održivost postignutih rezultata bez značajne prebojenosti zuba, bez uočljivih pušačkih pigmentacija, zadovoljavajući nivo oralne higijene, bez potrebe za ponovnim čišćenjem. Pacijent prijavljuje subjektivno manji osećaj suvoće usta, žarenje jezika i izoštrenije čulo ukusa i mirisa (Sl. 1.4).
Pacijent B kome je nakon potpunog prestanka pušenja urađeno poliranje recidiva taloženja pušačkih pigmentacija, uklanjanje zubnog kamenca i mekih naslaga. Pacijent je remotivisan za održavanje adekvatne oralne higijene. Ova slika prikazuje stanje nakon mesec dana od prestanka pušenja i ponovnog poliranja, tj. kontrolu nakon prvog meseca, gde se jasno vidi da su zubi i dalje čisti, beli i ispolirani i nakon mesec cdana nema potrebe za ponavljanjem poliranja (Sl. 2.4).
Pacijent B, kontrola nakon 2 meseca od potpunog prestanka pušenja. Higijena je na zavidnom nivou. Jasno uočljiva održivost rezultata profesionalnog ćišćenja zuba. Pacijent B prijavljuje odsustvo neprijatnog zadaha (Sl. 2.5).
Pacijent B. Kontrola nakon 4 meseca od poliranja zuba i potpunog prestanka pušenja. U poređenju sa Pacijentom A koji je prešao na bezdimnu alternativu klasičnoj cigareti, u istom vremenskom intervalu može se kod oboje uočiti odsustvo neželjenih pigmentacija i prebojenosti zuba, kao i zadovoljavajući nivo oralne higijene i dobiti informacija o odsustvu nelagodnih i neprijatnih subjektivnih simptoma (suvoća usta,žarenje jezika, bolji osećaj ukusa i mirisa) (Sl.2.6).
Zaključak
Prestanak pušenja je najbolje moguće rešenje kako bi sačuvali zdravlje usne duplje i održali zavidan nivo estetike zuba. Za pušače koji nisu u stanju ili naprosto ne žele da se odreknu svoje loše navike, bezdimna alternativa klasičnoj cigareti, pouzdan je saveznik u borbi protiv esteski neprihvatljivih pušačkih pigmentacija, prebojavanja zuba, kao i nelagodnih i neprijatnih subjektivnih simptoma (neprijatan zadah, suvoća usta, žarenje jezika). Odsustvo navedenih objektivnih i subjektivnih simptoma gotovo je istovetno kao kod prestanka pušenja. Efekti higijenskog tretmana u oba slučaja traju mnogo duže nego kod pušača, kod kojih su higijenski tretmani potrebni često u kraćim vremenskim intervalima.
Ovaj prikaz dva slučaja očigledan je dokaz prednosti bezdimnih duvanskih proizvoda u odnosu na pušenje cigareta. Zubi nakon poliranja i beljenja u funkciji vremena ostaju, čisti, beli i ispolirani, i nema potrebe za ponovnim uklanjanjem pušačkih naslaga. Zavidan nivo oralne higijene potreban je u svakom slučaju. Dentalni plak je evidentno manje prijemčiv na ispoliranoj površini zuba. Neprijatni i nelagodni subjektivni simptomi smanjuju se ili iščezavaju za nekoliko meseci prelaskom na bezdimne proizvode.
Jasno uočljivu estetsku dobit ne treba banalizovati, već mnogo ozbiljnije treba shvatiti odsustvo lepljivih pušačkih pigmentacija (koje bi činile površinu zuba plak prijemčivijom), što je neophodno za uspeh svake terapije u usnoj duplji kao i za održavanje postignutih rezultata.
Ovaj prikaz dva slučaja mogao bi biti svojevrstan podsticaj za praćenje i prikaz ostalih reverzibillnih promena u usnoj duplji (nastalih kao posledica višegodišnjeg konzumiranja duvana), u funkciji vremena, nakon prelaska na bezdimne alternative u odnosu na klasične cigarete.
O autorki
Mr sc. dr Ivana Eskić, spec. oralne hirurgije, završila je Stomatološki fakultet Univerziteta u Beogradu 2000.godine. Iste godine upisala je magistarske studije na Klinici za Parodontologiju i oralnu medicinu na Stomatološkom fakultetu u Beogradu, završila ih 2008.godine i odbranila magistarsku tezu pod naslovom „Ispitivanje uticaja pušenja duvana na kvalitativni sastav subgingivalne mikroflore kod pacijenata obolelih od parodontopatije.“ Član je Srpskog lekarskog društva, Udruženja privatnih doktora stomatologije Srbije, Sekcije oralnih hirurga i implantologa Srbije, Udruženja parodontologa Srbije, Stomatološke komore Srbije. Mr sc.dr Ivana Eskić je takođe naučni konsultant kompanije Philip Morris Services d.o.o Beograd.
To post a reply please login or register