Search Dental Tribune

Vrhunska tehnologija za jednostavnost

U ovom članku, dr Philippe Sleiman, stručnjak za endodonciju, demonstrira pojednostavljen pristup tretmanu kanala korena sa složenom anatomijom. (Slika: Radu Bercan/Shutterstock)

pon. 3 oktobar 2022

Sačuvaj

Od kada su nikl-titanijumski (NiTi) endodontski instrumenti uvedeni u terapiju kanala korena zuba, inžinjeri su tražili savršen dizajn i kombinaciju za optimalnu terapiju kanala korena. Termička obrada i uvijanje NiTi instrumenata je bio veliki napredak u ovoj oblasti. To je otvorilo eru toplotnog tretmana za rotacione turpije, i sada su skoro svi endodontski instrumenti na tržištu termički obrađeni, stvarajući veliku fleksibilnost, ali ostavljajući po strani efikasnost sečenja, a sečenje je glavni zadatak za rotacione turpije u oblikovanju kanala korena zuba.

Traverse i sada ZenFlex sistemi turpija (oba proizvodi kompanija Kerr) proizvode se korišćenjem nove naprednije toplotne obrade koja kombinuje efikasnost i fleksibilnost sečenja u jednoj turpiji i na potrebnim mestima. Ova nova tehnologija u toplotnom tretmanu dodaje vrednost našem svakodnevnom radu, jer je na kraju jedino važan tretman koji nudimo našim pacijentima. Bezbednost i efikasnost sečenja su očigledni kada se koriste ove turpije, što mi omogućava da koristim prilično pojednostavljen pristup za lečenje složene anatomije kanala korena zuba. U ovom članku ću pokazati ovaj pristup sa osvrtom na nekoliko slučajeva.

Otvaranje otvora se vrši pomoću Traverse turpije 25/0.08, koja ima maksimalni prečnik žleba od 1 mm. Ovo je endo instrumentz koji koristim u skoro svim svojim slučajevima. U ravnim kanalima, ide što dublje može, a u zakrivljenim kanalima je ograničeno na rad iznad krivine.

U ravnim kanalima, ZenFlex nudi širok raspon veličina, od 20 do 55, sa konusom od 0.04 i 0.06. Nakon upotrebe ZenFlex-a i u velikim kanalima, stomatolog može proceniti veličinu koju voli da koristi u skladu sa svojim iskustvima i preferencijama i može koristiti i samo jednu ZenFlex turpiju da završi oblikovanje.

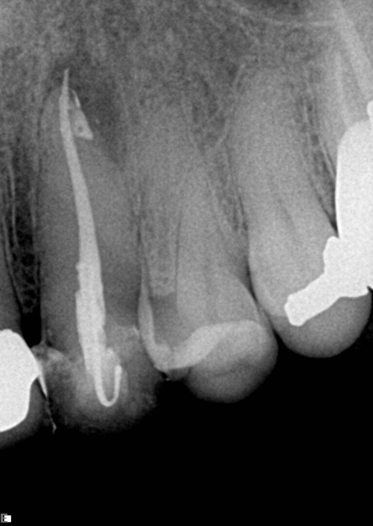
U ovom prvom primeru, pacijent je upućen na lečenje sinusnog trakta maksile (Sl. 1). Unutar fistule je postavljen konus od gutaperke, koji pokazuje put do mesta infekcije. Ovo je bio jednostavan slučaj, pripremljen korišćenjem Traverse turpije 25/0.08 u gornjem delu, nakon čega je nastavljen rad sa K-File 10 (Kerr) da bi se odredila radna dužina, a zatim je 40/0.06 Traverse file doveden do radne dužine. Naravno, tretman je podrazumevao kompletnu hemijsku pripremu i 3D obturaciju prostora kanala korena (Sl. 2).

Sledeći primer je takođe bio direktan slučaj. Ovo je bio maksilarni lateralni sekutić sa nekrotičnom pulpom i blago resorbovanim vrhom. ZenFlex turpija 55/0.06 korišćena je u tehnici sa jednim instruemntom za lečenje ovog kanala (Sl. 3).

Kod molara i uskih kanala potrebna je jednostavna sekvenca da bi se izvršilo oblikovanje. Može da se počne sa 25/0.08 Traverse turpijom, s kojom se dolazi neposredno iznad krivine, posebno u mezijalnim kanalima. Koristeći K-File, stomatolog može odrediti radnu dužinu pomoću apeks lokatora i koristiti ovu dužinu za pripremu sa rotirajućim turpijama. K-File se takođe koristi za postizanje prohodnosti. Druga rotirajuća turpija je 13/0.06 Traverse file, dovedena je do radne dužine, a zatim slede ZenFlex turpije 20/0.06 i 25/0.06, takođe dovedene do radne dužine. Ako stomatolog sledi režim proširenja apikalne površine, može se koristiti ZenFlex turpija od 30/0.04 za apikalno područje (Sl. 4).

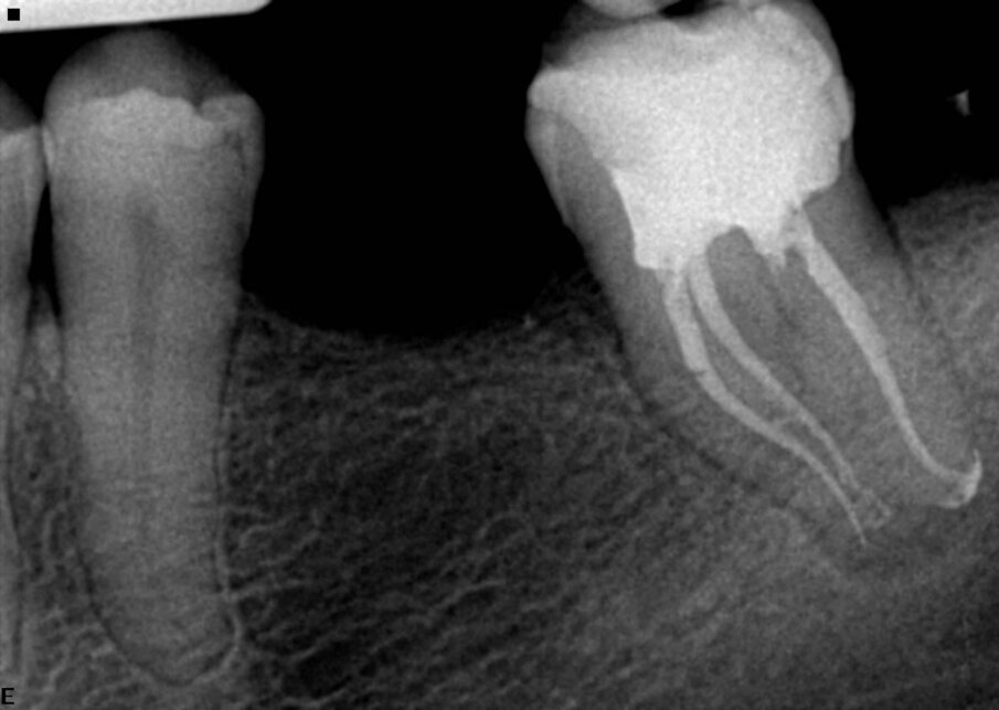
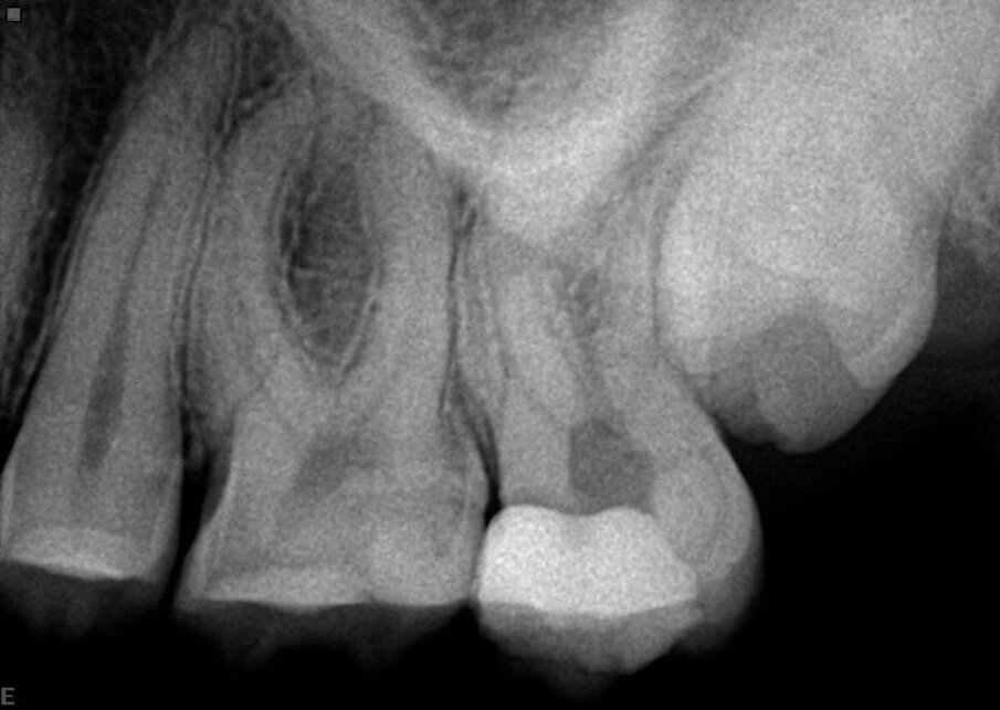
Drugi maksilarni molari su po mom mišljenju jedan od najzahtevnijih zuba za endodontsko lečenje zbog svog položaja i nepredvidive anatomije. U ovom primeru, pacijent je upućen zbog ireverzibilnog pulpitisa (Sl. 5). Gledajući preoperativni rendgenski snimak, možemo uočiti zakrivljenost posebno mezijalnih i palatinalnih kanala korena. Korišćena sekvenca je kao što je ranije opisano, počevši od otvarača 25/0.08 koliko god ide i to do tik iznad krivine, nakon čega sledi K-File 8 za određivanje radne dužine i 13/0.06 Traverse file koji se koristi za određivanje radne dužine u svim kanalima. Tokom korišćenja Traverse turpije 13/0.06 nisam osetio veliki otpor, pa sam odlučio da nastavim sa sekvencom konusa od 0.06. Sledeća turpija je bila 20/0.06 ZenFlex, a zatim 25/0.06 takođe ZenFlex. Lično, verujem u apikalno proširenje, i iz tog razloga sam koristio i ZenFlex  file 30/0.04 kao konačnu turpiju za proširenjee u ovom slučaju. Koristio sam srednji konus kao glavni i postigao 3D opturaciju sistema (Sl. 6). Naravno, izvršio sam kompletnu hemijsku pripremu, po svom redosledu, tokom postupka.

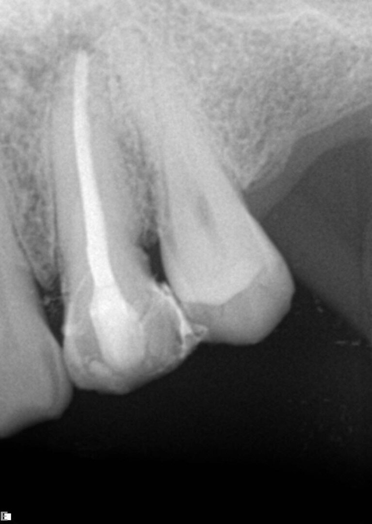
U veoma uskim kanalima, ZenFlex turpija sa konusom od 0.06 biće zamenjena sa konusom od 0.04, kako bi se smanjilo zaglavljivanje konusa, koje nastaje kada je velika turpija zarobljena unutar krivine jednog ili dvostrukog kanala. Ovo može stvoriti veliki torzioni napon i naprezanje savijanja na istom mestu, što dovodi do ozbiljnog oštećenja turpije, pa čak i do njenog pucanja. Sekvenca je sledeća: Traverse turpija 25/0.08 u ravnom delu kanala, nakon čega sledi 8 i 10 K-file koji se dovedu do radne dužine. Traverse file 13/0.06 otvara put za ZenFlwex file 20/0.04 koju prati ZenFlex 25/0.04 i dodatno 30/0.04 ZenFlex turpija za apikalno proširenje (Sl. 7). Srednji ili fini-srednji konus se može prilagoditi kao glavni konus.

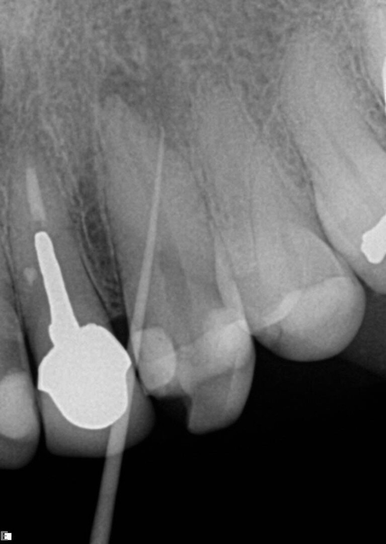
U ovom primeru, pacijenta je uputio njegov stomatolog, koji je ušao duboko u koren u pokušaju da pronađe kanale i nije bio uspešan, ali na sreću nije došlo do perforacije (Sl. 8). Pod mikroskopom i uz pomoć ultrazvučnih nastavaka, kanali su bili dostupni. Na rendgenskom snimku vidimo da su kanali, posebno mezijalni, uski i imaju male krivine, posebno apikalno. Pravi izazov u ​​ovom slučaju bio je održavanje prvobitnog oblika kanala. Iz tih razloga je izabrana sekvenca sa konusom od 0.04. Tretman je započet sa Traverse otvaračem 25/0.08, nakon čega je usledio 8 K-File za određivanje radne dužine. Korišćene su Traverse turpije 13/0.06 sve do kraja radne dužine, a zatim su usledile ZenFlex turpije 20/0.04 i 25/0.04, obe dovedene do radne dužine. Za apikalno proširenje korišćena je ZenFlex turpija 30/0.04.

Kao glavni konus u distalnom korenu korišćen je srednji konus, a u mezijalnom korenu su korišćeni fini srednji konusi. Tokom tretmana korišćena je puna sekvenca irigacije, a sistem, koji je uključivao duboki istmus između mezijalnih korena, ispunjen je u više nivoa od sredine do vrha, čime je postignuta prelepa 3D obturacija (Sl. 9).

O AUTORU:

Prof. dr Philippe Sleiman je diplomirao 1990. godine i doktorirao 2006. na Stomatološkom fakultetu Univerziteta u Libanu. Takođe je dobio CESE iz endodoncije na Univerzitetu St-Joseph 1999. godine. Predaje na međunarodnom nivou i trenutno je docent na Odeljenju za endodonciju Stomatološkog fakulteta Libanskog univerziteta. Dr Sleiman predaje na Libanskom univerzitetu i Univerzitetu Severne Karoline (SAD). Dr Sleiman ima privatne ordinacije u Bejrutu, Liban, Dubaiju, UAE; i Omanu.

Dr Sleiman je poznati međunarodni predavač u oblasti endodoncije, sarađuje u nekoliko istraživačkih endodontskih studija i ima privatnu praksu koja se bavi isključivo endodoncijom.

Уредничка напомена:

Ovaj članak objavljen u časopisu roots—international magazine of endodontics vol.18, izdanje 1/2022.

To post a reply please login or register
advertisement
advertisement