Tradicionalno, „kozmetička” stomatologija oduvek se suočavala sa problemom loše postavljenih prednjih zuba. Terapijske opcije za blagu i umerenu teskobu prednjih zuba uključuju ortodontski, ali i restaurativni tretman. Mnogi pacijenti pre se odlučuju za restaurativni pristup, poput porcelanskih ljuspica, nego za ortodontski tretman, zbog dužine trajanja, vrlo uočljivih labijalnih lukova ili bravica, kao i cene „nevidljivih“ bravica.
Tradicionalno, „kozmetička” stomatologija oduvek se suočavala sa problemom loše postavljenih prednjih zuba. Terapijske opcije za blagu i umerenu teskobu prednjih zuba uključuju ortodontski, ali i restaurativni tretman. Mnogi pacijenti pre se odlučuju za restaurativni pristup, poput porcelanskih ljuspica, nego za ortodontski tretman, zbog dužine trajanja, vrlo uočljivih labijalnih lukova ili bravica, kao i cene „nevidljivih“ bravica.
Slika 1. Bočni prikaz osmeha pre tretmana
Slika 2. Bočni prikaz osmeha nakon devet nedelja primene Inman Aligner-a
U slučajevima kada pacijenti odluče da se njihovi prednji zubi u gornjoj ili donjoj vilici saniraju ljuspicama, procedura za adekvatnu konzervativnu pripremu ovih zuba veoma je zahtevna, zbog specifične anatomije ovih zuba, kao i neophodnog prostora koji se mora obezbediti za debljinu ovakvih nadoknada. Veoma je teško pronaći odgovarajući balans koji će sprečiti izradu predimenzioniranih krunica, s jedne, i preteranu preparaciju zuba, s druge strane. Međutim, zahvaljajući trendu i popularnosti ekstenzivnih restauracija osmeha, intenzivne preparacije zuba, koje kao rezultat imaju idealno ravne zube, bivaju sve prihvaćenije u svakodnevnoj kliničkoj praksi. One, jednostavno, nemaju alternativu, jer nijedna druga intervencija ne može ispuniti zahteve pacijenta u tako kratkom vremenskom periodu.
Inman Aligner trenutno omogućava minimalno invazivnu terapijsku opciju za ovakve pacijente u Velikoj Britaniji. Za postavljenje je dovoljan samo jedan tretman, a većina slučajeva može biti rešena u vremenskom periodu koji iznosi od 6 do 16 nedelja. U slučajevima teskobe gornjih zuba Inman Aligner pokazao se kao značajno efikasniji i ekonomičniji u poređenju sa nevidljivim bravicama, kao i sa konvencionalnim fiksnim ili kratkotrajnim ortodontskim tretmanom.
Tokom svoje karijere sanirao sam oko hiljadu slučajeva i zaključio da je prihvatanje ove vrste tretmana od strane pacijenata gotovo stoprocentno budući da pacijentima prija mobilna nadoknada koja se lako uklapa u njihov svakodnevni život. Tretman se lako može kombinovati sa istovremenim izbeljivanjem zuba, kao i korigovanjem ivica zuba adhezivnim restauracijama, što sve može doprineti postizanju drastičnih promena izgleda osmeha neinvazivnim metodama. Iz svega ovoga može se videti da je stvorena nova procedura u „kozmetičkoj” stomatologiji, a koja obuhvata - poravnavanje, izbeljivanje, izradu direktnih adhezivnih restauracija - o čemu će biti više reči u drugom delu ovog članka. Slučajevi prikazani u prvom delu samo će ukazati na različite vrste problema koji mogu biti sanirani.
Inman Aligner
Slika 3. Okluzalni prikaz pre tretmana
Slika 4. Okluzalni prikaz nakon tretmana
Već više od trideset godina, žičani aparati se koriste kako bi se korigovali manji poremećaji položaja zuba. Raniji dizajni ovih aparata načinjeni su za korekciju manjih poremećaja zuba, kao i blagih rotacija. Prethodni žičani aparati bili su veoma korisni, ali određeni problemi uvek su ograničavali njihove rezultate kad je reč o tome u kojoj meri mogu dovesti do pomeranja zuba. Njihove aktivne komponente bile su od žice, načinjene od nerđajućeg čelika, koja je ograničeno fleksibilna i bez karakteristične ugibljivosti.
Shodno tome, tradicionalni mobilni ortodontski aparati zahtevali su periodične reaktivacije. To znači da je delovanje sile koje dovodi do pokretanja zuba ograničeno, što je za posledicu imalo pojavu da je kost oko vrha korena zuba, koji su se pomerali, imala vremena da se „odmori“ između perioda uspešnih aktivacija. Osim toga, smer delovanja sile prilikom korišćenja konvencionalnih mobilnih protetskih nadoknada bilo je mnogo teže kontrolisati, i uvek je postojala mogućnost neadekvatnog naleganja odgovarajuće aktivirane žice.
Svi navedeni faktori ograničavali su stepen korekcije poremećaja položaja zuba koji je mogao biti postignut. Za veća pomeranja zuba, samo jedan aparat nije bio dovoljan da se izvrši čitav tretman.
Prilikom razvoja Inman Aligner sistema, Donal Inman CDT načinio je patentirani dizajn koji koristi prednosti blagih, čvrstih i konstantnih sila koje potiču od legura nikla i titanijuma. Dizajn aparata zasnovan je na klinastim komponentama uvrnute Ni-Ti žice. Inman je dizajnirao lingvalne i labijalne komponente koje bi delovale i izazivale pokretanje zuba paralelno sa okluzalnom ravni, čime je eliminisana mogućnost delovanja sila koje nastaju kao posledica lošeg naleganja aparata, dozvoljavajući praktično fiziološke pokrete zuba.
Inman Aligner u idealnim slučajevima treba nositi od šesnaest do dvadeset sati u toku dana. U literaturi je pokazano da sprečavanje delovanja ortodontskih sila u toku četiri sata dnevno značajno smanjuje rizik od resorpcije korena zuba1, kao i to da je rizik od resorpcije značajno manji kod mobilnih u odnosu na fiksne nadoknade2.
Standardni Inman Aligner, kao što će se videti u narednim slučajevima, sastoji se od lingvalnih i labijalnih komponenata. Sile koje on izaziva imaju efekat privlačenja zuba u pravilan raspored. Komponente mogu biti korišćene izolovano kako bi se zubi retrahovali stabilnijim silama, zahtevajući manje prilagođavanja u odnosu na standardni labijalni luk koji se koristi za retrakciju zuba. U trećem slučaju opisan je jedinstveni pristup koji je uključivao primenu Expander-a (aparata za širenje) na Inman Aligner-u.
Izbor pacijenata
Izbor pacijenata kod kojih će se koristiti Inman Aligner je kritična faza terapije. Sledeći kriterijumi moraju biti zadovoljeni pre nego što se započne sa tretmanom:
1. Kod pacijenata se mogu pomerati samo sekutići i očnjaci;
2. Razvoj korena zuba koji se pomeraju mora biti završen;
Slika 5. Okluzalni prikaz pre tretmana
Slika 6. Okluzalni prikaz nakon trinaest nedelja primene Inman Aligner-a
Slika 7. Osmeh pre tretmana
Slika 8. Osmeh nakon završenog tretmana
3. Teskoba ili rastresitost zuba ne bi smeli biti veći od 3 mm. Evaluacija luka mora biti sprovedena kako bi se odredila veličina potrebnog prostora. Slučajevi kod kojih teskoba je potrebno dobijanje prostora većeg od 3 mm zahtevaju primenu dodatnih tehnika za dobijanja tolikog prostora, koje se pionirski sprovode u Velikoj Britaniji, a za koje je neophodna dodatna obuka. Sasvim je moguće tretirati slučaj sa teskobom koji zahteva i 5,5 mm prostora na jednostavan način i sa predvidivim ishodom u periodu koji iznosi manje od šesnaest nedelja;
4. Pacijenti treba da imaju u potpunosti iznikle bočne zube kako bi se olakšalo postavljanje retencionih kukica, sa relativno skladnim lukom, kako bi se olakšao put unošenja aparata;
5. Slučajevi bi trebalo da budu stabilni i po mogućstvu bez parodontopatije;
6. Pacijenti bi trebalo da nose Aligner oko dvadeset sati u toku dana i odgovorni za njihovo dobro postavljanje i oralnu higijenu. Ukoliko pacijenti nose Aligner i samo četrnaest sati u toku dana tretman će i dalje biti efikasan.
Analiza modela/luka korišćenjem Spacewize
Analiza luka treba da bude sprovedena pre svake upotrebe Aligner-a kako bi se potvrdile indikacije, a ako nije indikovana njegova primena, treba odrediti koje su tehnike neophodne za dobijanje dodatnog prostora za upotrebu Inman Aligner-a. Stepen teskobe se izračunava3 merenjem sume mezio-distalnih širina zuba koje bi trebalo pomerati. Ova dimenzija se naziva potrebnim prostorom za smeštanje zuba. Ukoliko je neophodno pomeranje i očnjaka i sekutića, ova dimenzija se određuje merenjem rastojanja od distalne površine jednog do distalne površine drugog očnjaka.
Korišćenjem ortodontskog retinera ili žice ili tračice za poliranje, određuju se idealne dimenzije luka. One podrazumevaju sumu mezio-distalnih širina pravilno raspoređenih zuba koje je potrebno pomerati, a za koju se očekuje da će biti obezbeđena ortodontskim tretmanom. Ključno je naglasiti da se ova dimenzija ne određuje u odnosu na mezio-distalne širine krunica sekutića već na mezio-distalne širine zuba u predelu kontaktnih tačaka. Ovo se naziva prostorom dostupnim za pomeranje zuba. Ovu analizu moguće je brže i preciznije sprovesti korišćenjem softvera kao što je Spacewize. Potrebna je samo jedna okluzalna fotografija koju je moguće napraviti dok je pacijent u stolici. Takođe je potrebno izmeriti dimenzije samo jednog zuba radi kalibracije. Krivina luka se zatim digitalno obrađuje, a to je obično mnogo lakše kada se u isto vreme direktno posmatra okluzija i uzimaju u obzir estetski zahtevi pacijenta. Stepen teskobe se na ovaj način trenutno izračunava korišćenjem softverskog paketa.
Laboratorijski zahtevi
Potrebno je uzeti precizne otiske obe vilice, a poželjno je uzeti dva otiska one vilice u kojoj je indikovan tretman. Registrat zagrižaja i detaljan opis trebalo bi da se pošalju u sertifikovanu Inman Aligner laboratoriju. Tehničar bi trebalo da bude upoznat sa stepenom teskobe. Zubi koje je potrebno pomerati trebalo bi da budu jasno označeni. Uputstvo bi trebalo da sadrži detaljne informacije tehničaru o zubima koje treba pomerati, o prostoru u okviru koga bi trebalo da budu pomerani, kao i o prostoru gde će zubi biti pomereni. Uzorak idealnog luka dobijen Spicewize softverom bi takođe trebalo da bude poslat tehničaru.
Interproksimalna redukcija
Sa interproksimalnom redukcijom (IPR) započinje se u tretmanu kada se aparat predaje korišćenjem abrazivnih tračica ili diskova. Analizom na modelu prethodno se izračuna potrebni iznos IPR.
Mnogi autori smatraju da je redukcija do polovine interproksimalne gleđi na mazijalnoj i distalnoj površini sekutića u potpunosti bezbedna tehnika4-7. Ovo iznosi 0,5 mm po kontaktnoj tački, što ukupno čini prostor od 2,5 mm u celom interkaninom sektoru. U određenim slučajevima, moguće je sprovesti IPR distalne površine očnjaka, kao i mezijalne površine premolara, što omogućava prostor veličine od 3,5 mm do 4.5 mm. Ovakvi slučajevi zahtevaju znatno više iskustva, ali nude brojne mogućnosti za kliničare koji su obučeni da adekvatno koriste ovaj sistem.
Slika 9. Krupni plan bočnog prikaza osmeha pre tretmana
Slika 10. Krupni plan bočnog prikaza osmeha nakon tretmana
Precizni podaci o količini stripovane zubne supstance moraju biti brižljivo beleženi i čuvani. Profilaktička upotreba rastvora fluorida za ispiranje usta ili primena visokokoncentrovanih rastvora fluorida se preporučuje prilikom svake intervencije koja se izvodi na gleđi. El-Mangoury8 i saradnici, kao i Radinski9 dokazali su da ne dolazi do povećanja rizika za nastanak karijesa nakon primene IPR, pod uslovom da se stripovane površine na odgovarajući način ispoliraju. Hains10 i saradnici, kao i Tal11 tvrde da ne dolazi ni do povećanja rizika za nastanak parodontopatije, bez obzira na to što dolazi do smanjenja interproksimalnih prostora.
Kod primene Inman Aligner sistema ključno je to da se interproksimalna redukcija koristi progresivno uz poštovanje anatomskih odnosa. Iako je količina prostora koji će se dobiti interproksimalnom redukcijom unapred poznat, postupak čitave interproksimalne redukcije nikada se ne sprovodi u jednom tretmanu. Kako bi se rizik sveo na najmanju moguću meru, IPR se sprovodi u iznosu od 0,13 mm po poseti po kontaktnoj tački. Nakon svake intervencije pacijent nosi Aligner.
Zahvaljujući silama koje stvara Aligner, do zatvaranja i popunjavanja dobijenog prostora dolazi nakon dve nedelje. Interproksimalna redukcija sprovodi se u svakom tretmanu samo ukoliko je to neophodno, korišćenjem tračica ili diskova, što čini proceduru stripovanja znatno anatomski konzervativnijom u poređenju sa stripovanjem prilikom kog se koriste boreri. Na ovaj način značajno se smanjuje rizik od stvaranja viška prostora, stvaranja žlebova ili loše morfologije kontaktnog prostora.
Lingvalni/labijalni nosači
Mala količina kompozita, postavljena incizalno ili gingivalno u odnosu na mesto kontakta luka, može značajno pomoći efikasnijoj funkciji aparata. Na isti način kompozit može biti postavljen i na labijalne površine, naročito u situacijama kada je neophodna retrakcija zuba. Brižljivo postavljanje ovih nosača od presudnog je značaja za uspeh tretmana i može u značajnoj meri pomoći u tretmanu rotiranih i ekstrudiranih zuba.
Adaptacija aparata
Intenzitet sila koji stvara Inman Aligner može se kontrolisati prilagođavanjem žičanih komponenata aparata, ili zamenom i korišćenjem deblje i duže žice. U principu, adaptacija se ne smatra neophodnom, izuzev u kompleksnim kliničkim situacijama, za koje je neizostavna dodatna obuka kako bi se savladala tehnika i znanja u vezi sa silama koje se koriste.
Slučaj I
Dvadesetpetogodišnja pacijentkinja javila se u ordinaciju nezadovoljna izgledom svojih donjih prednjih zuba. Anamnestički je navela podatak o ortodontskom tretmanu u periodu kada je bila tinejdžerka, a koji se satojao od nošenja fiksne ortodontske nadoknade u trajanju od dve godine.
Takođe, nakon terapije, dobila je retiner i u to vreme joj je dat savet da ga nosi samo u toku noći u periodu od tri meseca. Ona je primetila pojavu ponovnog lošeg rasporeda i teskobe donjih sekutića. Terapijske opcije koje su joj preporučene uključivale su „nevidljive“ bravice, konvencionalni fiksni ortodontski tretman i Inman Aligner.
Prostor koji je trebalo postići interproksimalnom redukcijom iznosio je 3,5 mm, prema prethodnim proračunima. Stripovanje je obavljeno korišćenjem dijamantskih tračica (Brasseler). Redukcija u iznosu od 0,13 mm na svakoj kontakntoj tački sprovedena je prilikom predaje aparata. Količina uklonjene zubne supstance merena je specijalnim uređajem. Pacijentkinji je zakazan sledeći termin za tri nedelje, kada je uklonjeno dodatnih 0,13 mm na svakoj kontaktnoj tački.
Do skladnog poravnjavanja zuba došlo je već nakon devet nedelja. Pacijentkinji je savetovano da nosi Aligner još mesec dana kako bi se stabilizovao stečeni položaj zuba. Beljenje zuba sprovedeno je u toku poslednje dve nedelje tretmana. Istovremeno, beljenje zuba značajna je prednost u terapiji mobilnim ortodontskim aparatima, jer značajno motiviše pacijenta.
Na kraju, retenciona ortodontska žica je adhezivno postavljena na lingvalne površine zuba, kako bi pacijentkinja na odgovarajući način mogla da održava higijenu interproksimalnih prostora.
Slučaj II
Pacijentkinja se javila na tretman žaleći se uglavnom na rotirani gornji centralni sekutić. Razmatrala je postavljanje kompozitnih ljuspica kojima bi se na odgovarajući način prerasporedio prostor četiri gornja sekutića. Ovo je praktično značilo da je pacijentkinja bila spremna da se podvrgne sprovođenju tri agresivne preparacije i jedne invazivne procedure koja je uključivala endodontski tretman rotiranog desnog gornjeg centralnog sekutića.
Analiza prostora pokazala je da je moguć tretman korišćenjem Inman Aligner-a. Zbog relativno niske cene, pacijentkinja se odlučila za ovaj tretman, shvatajući u potpunosti da korišćenjem Aligner-a ipak ne možemo postići idealni proporcionalni odnos centralnih i lateralnih sekutića, zbog njihovih anatomskih karakteristika.
Slika 11. Okluzalni prikaz pre tretmana
Slika 12. Okluzalni prikaz nakon devet nedelja primene Inman Aligner-a
Na aparatu je ugrađen centralno postavljen šraf koji je omogućavao terapeutu da kontroliše širenje vilice i na taj način dobije još malo prostora. (Ugrađeni šrafovi za širenje mogu se koristiti u slučajevima kada nedostaje značajnija količina prostora). Do 2 mm se dodatno može dobiti ovim širenjem, koje se zasniva na odmicanju kvržice očnjaka od lateralnog sekutića.
Nakon poravnanja, doći će do povlačenja efekta ove ekspanzije. To je privremena tehnika kojom se stvara dodatni prostor za usklađivanje položaja prednjih zuba. Nakon poravnanja, šraf može biti uklonjen ukoliko je to potrebno.
Tretman je trajao trinaest nedelja sa tri tretmana, prilikom kojih je korišćena interproksimalna redukcija. Stripovano je ukupno 3 mm, a 1 mm je dobijen šrafom. Zubi su retinirani postavljanjem ortodontskog zlatnog luka koji je bio postavljen od očnjaka do očnjaka. U gornjoj vilici Essix Retainer takođe je nošen tokom noći kako bi se osigurala stabilnost postignutih rezultata.
Slučaj III
Pacijentkinja opisana u ovom kliničkom slučaju prvobitno se javila radi izrade porcelanskih ljuspica na gornjim prednjim zubima. Preparacija za ove nadoknade uključivala bi endodontski tretman na dva sekutića, kako bi se omogućio odgovarajući estetski rezultat.
Nakon što su terapijske opcije razmotrene do detalja, pacijentkinja se odlučila za korišćenje Inman Aligner-a kako bi se korigovao položaj zuba, a tek nakon toga za izradu porcelanskih ljuspica. Pacijentkinja je bila svesna da je nošenje retinera nakon tretmana neophodno. Korišćenjem Spacewize softvera izračunato je da teskoba iznosi samo 0,8 mm u odnosu na idealnu krivinu luka.
Izrađen je gornji Inman Aligner u kombinaciji sa šrafom za širenje i adaptiran. Minimalna interproksimalna redukcija sprovedena je korišćenjem trake debljine 0,1 mm kako bi se izvršila separacija zuba. Pacijentkinja je okretala šraf na svakih pet dana tokom šest nedelja, što je omogućilo stvaranje prostora od 2 mm.
Ovaj dodatni prostor omogućio je pokretanje unapred centralnih sekutića i njihovu derotaciju. U ovom trenutku šraf je u potpunosti odvrnut kako bi se osiguralo zatvaranje eventualno zaostalih međuprostora između zuba. Do poravnanja zuba došlo je u periodu od devet nedelja. Essix Retainer korišćen je kako bi se zubi pasivno retinirali tokom naredne četiri nedelje, nakon čega je adhezivno postavljen žičani retiner.
Pacijentkinja je bila izuzetno zadovoljna postavljenim zubima i odlučila da joj nije potrebna izrada porcelanskih ljuspica. Sa njihovim postavljanjem ne može se zakasniti, i one se uvek mogu koristiti ukoliko to bude potrebno, naročito kada tokom godina dođe do značajnije erozije zuba, ili kada se ljuspice budu mogle postavljati vestibularno bez uklanjanja gleđi.
Postignuti rezultat nije bio idealan po kriterijumima postavljenim Smile Design teorijom. Ipak, činjenica da pacijentkinja više nije želela porcelanske nadoknade pouzdano nam govori u prilog da smo, gledano dugoročno, postigli značajno bolji i etički prihvatljiviji rezultat.
Retencija
Nošenje retinera je ključno kada je u pitanju korigovanje položaja prednjih zuba12-14. Preporučuje se primena adhezivno postavljenih fiksnih retinera koji se prostiru od očnjaka do očnjaka, a koji se obično izrađuju od upredene žice od nerđajućeg čelika debljine 0,0195 ili 0,0175 inča. Indirektnom metodom ovi retineri mogu biti postavljeni na radnom modelu.
Retiner može biti prenet na zube korišćenjem specijalnog nosača i postavljen korišćenjem tečnog kompozita na lingvalne površine tretiranih zuba. Okluzija ne sme biti poremećena kada se retiner postavlja u gornjoj vilici.
Prednosti ovakovog modela ostvarivanja retencije su u fleksibilnosti žičanog luka koji dozvoljava fiziološke pokrete zuba i sprečava adhezivni lom pod dejstvom okluzalnih sila. Stabilnost periodontalnog ligamenta takođe je obezbeđena korišćenjem ove tehnike15.
Essix Retainer
Ovaj retiner se dobija termičkom obradom, providan je, tanak, veoma lako se izrađuje i veoma je komforan za pacijente. Preporučeni postoperativni režim nakon Inman Aligner-a jeste da se ovaj retiner nosi svake noći osamnaest meseci nakon tretmana, a nakon tog perioda tokom dve noći u nedelji zauvek.
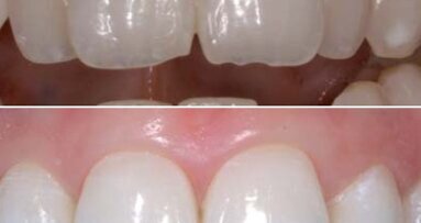
Slika 13. Bočni prikaz osmeha pre tretmana
Slika 14. Bočni prikaz osmeha nakon tretmana
Zaključak
Korišćenjem Inman Aligner-a, pacijentima, koji su dosad bili odbijani ili dugotrajnošću ortodontskog tretmana, ili samim tehnikama fiksne ortodoncije (bravicama, nevidljivim bravicama), ukoliko to indikacije dozvoljavaju, omogućeno je da postignu zadovoljavajući položaj svojih prednjih zuba znatno brže upotrebom samo jednog, jednostavnog aparata.
Inman Aligner je pogodan za korigovanje položaja sekutića i očnjaka u slučajevima gde je prisutna teskoba do 3 mm, ili do 5,5 mm ukoliko tehniku koristi specijalno obučeni kliničar, i predstavlja veoma konzervativan, a istovremeno potencijalno revolucionarni alternativni pristup radikalnim preparacijama zuba kojima se postiže njihov optimalni položaj, kao što je npr. izrada porcelanskih ljuspica.
Korišćenje Inman Aligner sistema omogućava brzo estetsko korigovanje nepravilnosti položaja zuba sa malim rizikom i niskom cenom koju moraju snositi pacijenti. Pacijentima je omogućeno da vide postepeni tok popravljanja položaja njihovih zuba, čemu može slediti eventualno beljenje zuba ili izrada direktnih kompozitnih restauracija.
Kao rezultat, Inman Aligner suštinski nudi izmene u pristupu u okviru „kozmetičke” stomatologije. Primećuje se domino efekat među pacijentima i kliničarima koji koriste ovu tehniku, a koji se dodatno pojačava kombinovanjem tehnike sa ugradnjom šrafova i postavljanjem nosača, što je već u širokoj upotrebi u velikoj Britaniji i Evropi.
Ovaj novi pristup u „kozmetičkoj” stomatologiji u Velikoj Britaniji već je prihvaćen od strane stručnjaka iz Britanske Akademije za Kozmetičku Stomatologiju (British Academy of Cosmetic Dentistry). Studija iz 2008. godine sprovedena među članovima BACD pokazala je izuzetni porast od 345 % korišćenja ortodontskih tehnika u okviru „kozmetičke” stomatologije, dok do porasta korišćenja porcelanskih ljuspica nije došlo u ovom vremenskom intervalu.
Od ovoga, samo na upotrebu Inman Aligner-a odlazi 230 %, i to kod slučajeva gde pacijenti uopšte ne bi na drugi način korigovali niti tretirali svoje zube, bilo zbog cene porcelanskih nadoknada, bilo zbog odbijanja da se podvrgnu fiksnom ortodontskom tretmanu. Mnogi od ovih pacijenata bi se pre pojavljivanja Inman Aligner-a odlučili za izradu porcelanskih nadoknada.
,
Slika 15. Kalkulacija luka dobijena uz pomoć Spacewize softvera.
Zahvalnost
Želeo bih da se zahvalim Donal Inman CDT (Inman Orthodontic Laboratory), Nimro DENTAL Orthodontic Laboratory - jedinim STS sertifikovanim Inman Aligner laboratorijama, i dr Džejmsu Raselu (James Russell) za klinički slučaj III opisan u ovom tekstu.
O autoru
Dr Tif Kureši (Tif Qureshi) potpredsednik je Britanske akademije za kozmetičku stomatologiju. On drži radionice i predavanja o Inman Aligner-u širom sveta. Za informacije u vezi sa kursevima, datumima i obuci u SAD, molimo Vas da posetite sajt www.straight-talks.com ili www.inmanaligner.com ili kontaktirajte Karolinu Kros putem telefona na broj: +44 207 255 2559 ili preko sledeće adrese: info@straight-talks.com
Beleška izdavača: Ovaj članak je originalno štampan u časopisu Cosmetic Dentistry Vol 4 No2, 2010. Kompletna lista referenci dostupna je kod izdavača.
Belfast, Velika Britanija: Prema najnovijem istraživanju naučnika sa Kvins univerziteta u Belfastu (Queen’s University Belfast) aspirin bi mogao da se ...
U medicini je opšteprihvaćeno da medicinski implantati i tretmani zahtevaju reviziju tokom vremena. U ortopedskoj hirurgiji, na primer, zamene zglobova ...
XI'AN, Kina: Robot je prvi put samostalno ugradio dva 3D print implantata u pacijentova usta bez ljudskog učestvovanja. Nakon prikupljanja potrebnih ...
Iako se naše razumevanje važnosti prevencije za oralno zdravlje drastično povećalo poslednjih decenija, još uvek postoje veliki segmenti stanovništva ...
VAŠINGTON, SAD: Plastika je utkana u sve aspekte moderne stomatologije, uključujući kompozitne ispune i jednokratne vakuumske nastavke. Pa ipak, sve ...
ČENGDU, Kina: Epidemiološki podaci ukazuju na to da stomatolozi imaju veću prevalenciju očnih oboljenja nego drugi profesionalci, ali razlozi ostaju ...
Za ovu temu i ovaj intervju mi je dalo ideju moje nedavno upoznavanje i razgovor sa mladom koleginicom dr Dragicom Đerić, koja je, pored toga što je ...
SOLNA, Švedska: Quacquarelli Symonds (QS), vodeća globalna analitika visokog obrazovanja, nedavno je objavila svoju godišnju QS rang listu svetskih ...
To post a reply please login or register