Inmam Aligner: Korigovanje položaja zuba, beljenje i izrada direktnih adhezivnih restauracija – progresivni pristup preoblikovanju izgleda osmeha (Drugi deo)
Sledeći članak je drugi u nizu članaka u kojima se razmatra upotreba Inman Aligner-a kao sredstva u minimalno invazivnoj „kozmetičkoj” stomatologiji (MICD)1. Prvi članak (objavljen u časopisu „Kozmetička stomatologija” br. 2, 2010. godine) jasno pokazuje da samostalni tretman nudi pacijentima alternativu fiksnoj ortodontskoj terapiji, koja je često estetski neprihvatljiva pacijentima i dugotrajna, kao i skupim providnim aligner-ima pogodnim za odgovarajuće indikaciono polje.
U ovom radu biće prikazano da se pacijentima, koji to žele, može omogućiti tradicionalniji način poboljšanja izgleda osmeha. Tako se postižu odlični estetski rezultati postupno, na način koji omogućava pacijentima da reevaluiraju i eventualno menjaju svoje izbore tokom tretmana. Ovo često za rezultat ima virtuelno pomeranje zuba ili potpuni izostanak pomeranja zuba, a ishod tretmana je rezultat zajedničkog donošenja odluka i dogovora između pacijenta i terapeuta.
Štaviše, predmet ovog članka bi potencijalno mogao započeti jednu od najkontroverznijih debata u „kozmetičkoj” stomatologiji u poslednjih nekoliko godina. Mi ne razmatramo ovde samo radikalno drugačiji pristup u promeni izgleda osmeha, već pristup suštinski različit od tradicionalnih metoda planiranja dizajna osmeha.
Šta biste Vi odabrali?
Analiza pacijenata koji dolaze u ordinacije „kozmetičke” stomatologije vrši se obično već tokom inicijalnih konsultacija. Sačinjavaju se digitalne fotografije, a po potrebi izrađuju se i studijski modeli. Rutinski se koriste softverski paketi analize slike pomoću kojih se pacijentima ilustruje šta može biti postignuto. Ovi izvanredni programi pomažu pacijentima da razumeju šta je to što je moguće ostvariti tretmanom. Naravno, posebna pažnja mora se obratiti na obećanja koja se daju pacijentima u vezi sa ishodom tretmana koji je pacijent video na digitalnim fotografijama.
Iako su kompjuterski programi za analizu slike veoma moćno sredstvo koje omogućava pacijentima da vide šta se sve može učiniti sa njihovim osmehom, takođe verujem da oni čine da se pacijenti usredsrede na jedan zacrtani cilj koji može, ali ne mora biti ostvarenje njihovih želja. Stomatolozi koji koriste sisteme digitalne analize fotografije u najboljem slučaju sačinjavaju pet do deset potencijalnih ishoda tretmana kroz različite faze preko kojih se do tih ishoda dolazi kako bi pacijenti doneli odluku zasnovanu na što većem broju informacija. Iako je ovaj sistem analize idealan, nije sigurno da terapeut na ovaj način zapravo predstavlja pacijentima realne faze tretmana na digitalni način. Iako su u mogućnosti da vide različite fotografije svojih zuba i svog osmeha, može biti veoma teško za pacijenta da zaista vidi i oseti promene koje će se desiti u njegovoj usnoj duplji. S pravom se može postaviti i pitanje etičnosti u vezi sa činjenicom da pacijent pristaje na potencijalno ireverzibilne procedure, a pritom je odluka doneta isključivo na osnovu dvodimenzionalnih digitalnih fotografija.
Trodimenzionalni modeli u vosku (wax-up) takođe mogu biti korisni u ovoj fazi. Ukoliko je pacijent oduševljen fotografijama, izrada dodatnih trodimenzionalnih modela može ponekad omogućiti direktnu proveru izgleda definitivnih nadoknada ili terapijskog rezultata korišćenjem silikonskog ključa nakon uzimanja otisaka. Privremene nadoknade izrađene u različitim nijansama mogu biti isprobane direktno u ustima pacijenta, bez ikakvog cementiranja, što omogućava pacijentima da vide oblik, formu i celokupnu estetiku predložene terapijske procedure.
Bez obzira na sve, kompozitne ili porcelanske ljuspice i dalje se veoma često koriste u sličajevima lošeg položaja prednjih zuba, i pacijentima je veoma teško da uvide mogućnosti korigovanja položaja svojih intaktnih zuba korišćenjem analiza fotografija ili izradom trodimenzionalnih modela i privremenih nadoknada. Pristupanjem ovakvim slučajevima sa potpuno drugačijim terapijskim protokolom na umu, može biti sproveden drastično manje invazivni plan terapije.
Prvi korak je analiza položaja prednjih zuba pacijenta. Loše postavljeni prednji zubi često su praćeni problemima sa visinom nivoa gingive, linijskim uglovima, refleksijom svetlosti koja se odbija od zuba, neadekvatnom bojom i dužinom zuba. Korekcija lošeg položaja zuba može stvoriti potpuno drugačiju percepciju očiglednih problema koji već postoje. Zatim, treba izbeliti zube. Ovo može biti sprovedeno odmah nakon korigovanja položaja zuba, ili, još bolje, istovremeno. Nakon korigovanja položaja i beljenja zuba treba korigovati ivice zuba adhezivnim restauracijama čime bi se popravio izgled sečivnih ivica prednjih zuba. (Ovaj koncept nazivamo ABB konceptom; A - alignment, B - bleaching, B - bonding).
Kombinacija ovih terapijskih postupaka veoma dobro funkcioniše jer je Inman Aligner mobilan aparat, i potrebno ga je nositi od šesnaest do osamnaest sati u toku dana. Ovo praktično znači da je istovremeno beljenje zuba moguće i veoma jednostavno. Nedavno sprovedena studija u Švedskoj pokazuje značajne prednosti u smislu ekonomičnosti kada se pacijenti tretiraju mobilnim nadoknadama u ordinacijama opšte stomatologije u poređenju sa fiksnim ortodontskim tretmanom koji se sprovodi u specijalističkim ordinacijama2. Rezultati ove studije veoma su značajni, jer su mobilni ortodontski aparati veoma popularan izbor među estetskim stomatolozima u Velikoj Britaniji.
Slučajevi koji su opisani dalje u tekstu prikazuju pacijente koji su ili na početku tretmana ili godinama pre toga želeli kompozitne ili porcelanske ljuspice i imali samo jedan terapijski ishod i rezultat tretmana na umu, budući uvereni da im samo ljuspice mogu ponuditi željeno rešenje u kratkom vremenskom roku. Svi oni bili su zabrinuti zbog količine zubne supstance koja bi morala biti uklonjena prilikom preparacije za ljuspice, pa su se prvo odlučili da koriguju položaj svojih zuba. Zatim, tokom različitih faza terapijskog postupka, odlučivali su se za beljenje zuba, a onda se vrlo brzo predomislili u vezi sa terapijskim procedurama koje su želeli kada su jednom videli poboljšanje izgleda osmeha sa postojećim zubima bez nadoknada.
Slučaj I
Laura je bila nezadovoljna izgledom svojih veoma isturenih centralnih sekutića. Želela je da se oni isprave i smatrala je da je izrada ljuspica idealna terapijska opcija kojom se to može postići. Odbila je konvencionalni ortodontski tretman, kao i tretman nevidljivim bravicama, jer nije želela dugotrajnu terapiju, a takođe nije želela da aparati budu trajno fiksirani za njene zube, te je zbog toga odustala od ortodontskog tretmana. Još pre nekoliko godina, većina „kozmetičkih” i estetskih stomatologa bi se u ovom slučaju odlučilo za izradu ljuspica.
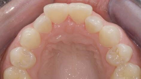
Inicijalnim pregledom pre izrade okluzalnih fotografija već je bilo sasvim jasno da bi za izradu ljuspica bila neophodna ekstenzivna preparacija gornjih centralnih sekutića. Preparacija bi sezala duboko u dentin, i nije bila isključena mogućnost da bi bio neophodan čak i elektivni endodontski tretman. Što se lateralnih sekutića tiče, oni nisu zahtevali opsežniju preparaciju za izradu ljuspica, ali bi njihov profil bio veoma loš, što bi stvaralo neprirodni izgled svih nadoknada, a takođe bi i postojao rizik od nastanka parodontopatije u kasnijem životnom dobu. Umesto svega toga, korigovanje položaja zuba sprovedeno je pomoću Inman Aligner-a u vremenskom periodu od deset nedelja. Terapijske faze sprovedene kod ove pacijentkinje detaljno su opisane dalje u tekstu.
Sačinjene su digitalne fotografije korišćenjem BACD sistema, a stepen teskobe prednjih zuba određen je elektronskim putem, što je moglo biti sprovedeno i analizom studijskih modela. Odredili smo idealne dimenzije luka i ove vrednosti oduzeli od zbira mezio-distalnih širina zuba, čiji položaj smo planirali da korigujemo3. Rezultati su pokazali da je vrednost teskobe, odnosno prostora koji zapravo nedostaje samo 1,6 mm. Ovo je bilo značajno manje od onoga što se moglo očekivati; razlog za ovakav nalaz jeste činjenica da su lateralni sekutići bili retroklinirani, luk je ekspandiran i na taj način je dobijen prostor.
Posmatranjem fotografija bilo je očigledno da pored evidentne teskobe postoji i nešto manje uočljiva nepravilna abrazija zuba. Bilo je veoma važno skrenuti pacijentkinji pažnju na postojanje ovih promena, jer će one postati izraženije kada dođe do korigovanja položaja zuba. Pacijentkinji je predložena izrada tri adhezivne restauracije na incizalnim ivicama zuba kod kojih je uočena abrazija. Pacijentkinja se odlučila za tretman Inman Aligner-om sa ugrađenim šrafom za širenje. Ovi šrafovi su veoma efikasni za dobijanje dodatnog prostora, u komplikovanijim kliničkim slučajevima, ali i u slučajevima kada se želi izbeći interproksimalna redukcija (IPR) stripovanjem.
U ovom slučaju nije rađena interproksimalna redukcija. Planirali smo da gotovo čitav neophodni prostor dobijemo korišćenjem šrafa. Pacijentkinji je dato uputstvo da okreće centralno postavljeni šraf jednom nedeljno već nakon jedne nedelje nošenja. Svako okretanje je iznosilo jednu četvrtinu punog kruga, čime se dobija prostor od 0,25 mm. U toku šeste nedelje započeli smo sa beljenjem zuba korišćenjem mekih gumenih trejeva. Nakon devet nedelja, kod pacijentkinje je dobijen prostor od 1,8 mm, a nepravilni položaj zuba je korigovan. (Po pravilu korišćenjem šrafa veoma lako se dobija prostor veličine do 2,5 mm.)
Posmatranjem terapijskih rezultata nakon korigovanja položaja zuba konstatovano je da je došlo do drastičnog poboljšanja što se tiče „zlatne proporcije”, nivoa gingive i aksijalne inklinacije zuba, a sve to bez korišćenja instrumenata za brušenje i preparaciju zuba u vremenskom periodu od devet nedelja. Pacijentkinji je bilo potpuno jasno da je neophodno u ovom trenutku izraditi još samo jednostavne direktne kompozitne restauracije kojima bi se korigovao izgled sečivnih ivica njenih zuba. Bez korišćenja infiltracione anestezije, konture sečivnih ivica su preparirane i blago zakošene, a zatim je postavljen hibridni kompozit na mestima koje trpe značajnija opterećenja pod dejstvom okluzalnih sila, a mikrohibridni kompozit sa vestibularne strane. Sečivne ivice su zatim ispolirane.
Pacijentkinja je bila oduševljena rezultatima koje smo postigli korišćenjem samo Inman Aligner-a i jednostavnih direktnih adhezivnih restauracija. Ona je opisala da se upravo ovakvom rezultatu nadala kada je razmatrala postavljanje ljuspica. Još uvek su prisutne minimalne nepravilnosti, ali, po mom mišljenju, one upravo doprinose prirodnoj lepoti njenog osmeha.
Uočljiva su dva potpuno suprotstavljena koncepta kada se ima u vidu tretman koji je sproveden u ovom kliničkom slučaju i potencijalnih terapijskih mogućnosti koje se uobičajeno koriste. U situacijama gde pacijenti odbijaju ortodontski tretman, ranije bi pristajali i bili podvrgnuti veoma agresivnim preparacijama zuba kako bi korigovali nepravilni položaj svojih zuba ljuspicama, a sada im se nudi mogućnost da pomoću mobilnog ortodontskog aparata i jednostavnih restauracija postignu slične, ako ne i bolje rezultate za manje od tri meseca bez ijednog žrtvovanog mikrometra zdrave zubne supstance.
Slučaj II (slike 9 - 17)
Ova mlada dama je već duže vreme posećivala moju ordinaciju i bila je informisana u vezi sa porcelanskim ljuspicama, preko slučajeva koje smo prethodno prikazivali i reklamirali. Pre nekoliko godinama razgovarali smo o estetskim mogućnostima koje nude ljuspice. Međutim, kada smo ponovo analizirali njen slučaj, bilo je jasno da možemo postići značajna poboljšanja korišćenjem Inman Aligner-a u veoma kratkom vremenskom periodu.
Načinili smo okluzalne fotografije njenih prednjih zuba i na njima ucrtali količinu zubne supstance koja bi morala biti uklonjena ukoliko bismo se odlučili za izradu ljuspica koje bi imale odgovarajući estetski efekat. Pacijentkinji je odmah postalo jasno da korigovanje nepravilnog položaja njenih zuba nudi potencijalno bolji terapijski ishod. Njena klinička situacija bila je pogodna za korišćenje Inman Aligner-a, a kako je nedostatak prostora iznosio samo 2,5 mm, što je ukazivalo da tretman može biti sproveden brzo i jednostavno.
Njen Inman Aligner postavljen je, a interproksimalna redukcija (IPR) izvođena je progresivno tokom tri uzastopne posete. U toku osme nedelje gornji i donji trej za beljenje zuba je izrađen iako korigovanje položaja zuba nije bilo u potpunosti okončano. Započeto je kućno beljenje zuba, a pacijentkinji su data precizna i koncizna uputstva. Koristili smo gumene trejeve za beljenje duboko upasane na modelima kako bi se stvorio efekat tesne gume i na taj način osiguralo efikasno beljenje zuba. Nakon dve nedelje njeni zubi bili su značajno svetliji, a desete nedelje došla je na kontrolni pregled.
Interesantno je napomenuti da je u međuvremenu došlo do značajne promene u percepciji sopstvenog osmeha kod pacijentkinje. Zahvaljujući novouspostavljenim linijskim uglovima, beljim zubima i ujednačenijoj liniji gingive, jedino što je zapažala bile su sitne nepravilnosti kao i nepravilna abrazija na sečivnim ivicama zuba.
Pacijentkinju je u ovom trenutku zanimala mogućnost popravljanja estetike sečivnih ivica njenih sekutića. Ponudili smo joj izradu adhezivnih restauracija praktično bez ikakve preparacije zuba. Hibridni kompozit (Tetric Flow, Ivoclar Vivadent) postavljen je palatinalno i incizalno, a kompozit sa mikropunilom na vestibularnu površinu zuba. Ovo je urađeno korišćenjem B0 i B1 kako bi se restauracije uklopile sa bojom izbeljenih zuba. Pacijentkinja je bila oduševljena rezultatom, i žičani retiner je odmah postavljen.
Bez obzira na očigledna sitnija odstupanja od digitalno izrađenog simuliranog idealnog osmeha, pacijentkinja je smatrala da njen osmeh, nakon korigovanja nepravilnog položaja zuba, izgleda bolje od onoga kako je ona očekivala da će izgledati nakon izrade ljuspica. Da smo izradili ljuspice, verovatno bismo bolje korigovali zlatnu proporciju, bolje naglasili ekvatore, poboljšali izgled linije očnjaka, itd. Međutim, bilo je potpuno jasno da pacijentkinja u ovom trenutku ne želi dodatne korekcije. Ukoliko se kasnije predomisli i poželi da njen osmeh izgleda još lepše, sve to možemo učiniti, ali na zubima čiji je položaj već korigovan. ABB koncept dizajna osmeha je progresivan, nikako nagao niti neočekivan za pacijenta. Na ovaj način, pacijentu se pruža mogućnost da učestvuje u procesu donošenja odluka u vezi sa sopstvenim tretmanom, a odgovornost za donesene odluke je podeljena između pacijenta i terapeuta.
Slučaj III (Slike 18-26)
Pacijentkinja se javila u moju ordinaciju žaleći se na, kako je sama ilustrativno opisala, „klimav“ osmeh. Prethodno je razmatrala mogućnost izrade porcelanskih ljuspica, tako da je razumela neke osnovne principe i ciljeve koncepta dizajna osmeha. Međutim, analizom njenih zuba, postalo je jasno da postoji mogućnost korigovanja položaja zuba pre bilo kakvog drugog tretmana. Njen gornji desni centralni sekutić bio je mezijalno rotiran u iznosu od otprilike 30 stepeni, a njeni lateralni sekutići bili su u neznatnoj infrapoziciji i mezijalno inklinirani. Osim toga, njeni zubi bili su izuzetno prebojeni, a očnjaci su bili za dve nijanse tamniji od centralnih sekutića.
Analizom okluzalnih fotografija, pacijentkinji je objašnjeno u kojoj meri bi morao biti agresivan tretman ukoliko bi se zubi preparisali za izradu ljuspica. Shvatila je da njeni zubi zahtevaju korigovanje položaja pre nego što se donese odluka o sledećem koraku.
Inman Aligner korišćen je u periodu od jedanaest nedelja kako bi se derotirao centralni sekutić i razmakli lateralni sekutići. U toku osme nedelje započeto je beljenje zuba korišćenjem gelova na bazi hidrogena u vremenskom trajanju od 35 do 45 minuta u toku dana. Istovremeno sprovođenje procedura korigovanja položaja zuba i beljenja veoma je atraktivna mogućnost koju nudi tretman Aligner-om, jer snažno doprinosi motivaciji pacijenata. Nakon korigovanja položaja zuba, izvršena je ponovna evaluacija kliničke situacije. Kada je položaj zuba korigovan, a zubi poravnati, pacijentkinji je postalo jasno da ima problem sa oblikom sečivnih ivica, koji se zapravo pogoršao sa poravnavanjem zuba, a sve zbog različitog intenziteta abrazije na različitim zubima. Zapravo, levi centralni sekutić je bio za 2,5 mm kraći u odnosu na desni. Pacijentkinji je bilo jasno da je jedino sečivnim ivicama potrebna nadogradnja kako bi dobila osmeh koji želi.
Za postavljanje restauracija na sečivnim ivicama u toku dvanaeste nedelje od početka tretmana nije korišćena lokalna anestezije. Izuzev blagog zakošavanja gleđi na sečivnim ivicama levog centralnog i lateralnog sekutića nikakva druga preparacija nije bila neophodna. Hibridni kompozit (Tetric Flow) postavljen je slobodnom rukom na incizalnu ivicu i palatinalnu površinu zuba kako bi se uklopio u oblik desnog centralnog sekutića. Mala količina bele opaker nijanse tačkasto je naneta kako bi se uklopila u vestibularnu površinu, a zatim je čitava restauracija prekrivena nanohibridnim kompozitom (Venus Diamond, Heraeus), zbog mogućnosti poliranja do visokog sjaja. Kompozit je poliran u vertikalnom pravcu korišćenjem gumenih štapića (PoGo, DENTSPLY, DeTrey), da bi se pokušalo u potpunosti očuvati kontinuitet površine i na taj način zamaskirati adhezivni spoj zubne strukture i kompozita. Isti postupak ponovljen i sa lateralnim sekutićem.
Pacijentkinja je nastavila sa nošenjem Aligner-a u naredne dve nedelje kako bi se očuvali ostvareni rezultati, a onda su uzeti otisci za izradu žičanog retinera. Bilo je veoma lepo videti očuvanu karakterizaciju prirodnih zuba kod ove pacijentkinje. Porcelanske nadoknade, onako lepe kako to samo one mogu biti, bi u značajnijoj meri promenile izgled njenog osmeha - mnogi bi rekli i promenili nabolje, ali to nije bilo ono što je pacijentkinja zapravo želela. Ona je želela da njeni prirodni zubi budu korektne dužine, da izgledaju ravnije i svetlije.
Podeljena odgovornost u vezi sa tretmanom
ABB koncept se zaista može opisati kao minimalno invazivan. U isto vreme, ovim konceptom pacijent je aktivno uključen u tretman, što mu daje osećaj kontrole i preuzimanja odgovornosti za svoj tretman. Ovo se pokazalo kao veoma značajno kada je ispitivano zadovoljstvo pacijenta terapijskim rezultatima4.
Postoje mnoge anegdote o pacijentima kojima su urađene tehnički savršene ljuspice, a koji jednostavno nisu bili zadovoljni ishodom tretmana. Čak i u situacijama kada se ljuspice postavljaju bez ikakve preparacije, pacijentu se sprovodi ireverzibilna procedura koja je pod potpunom kontrolom terapeuta i njegove procene, dok pacijent ima veoma malo uticaja na ishod tretmana.
Sudeći po mom iskustvu, svaki pacijent koga sam tretirao po ABB konceptu sa zadovoljstvom je prihvatio rezultat terapije, iako ovaj rezultat tehnički možda nije bio savršen sa aspekta koncepta estetike osmeha. Danas, kada je sve veći broj parnica koje pokreću nezadovoljni pacijenti, s pravom se može postaviti pitanje koliko je mudro odabrati plan terapije koji bi mogao dovesti do konflikta između terapeuta i pacijenta, umesto tretmana u kome pacijent aktivno učestvuje u trenucima donošenja ključnih odluka i postupno vidi poboljšanje rezultata terapijske procedure.
Verujem da je ovaj pristup usko povezan i u skladu sa osnovnim principima minimalno invazivne „kozmetičke” stomatologija (MICD), gde se preporučuju minimalno invazivne procedure u kojima aktivno učestvuju pacijenti.
Zaključak
U potpunosti razumem prisustvo kontroverze kada se dovodi u pitanje tradicionalni pristup dizajnu osmeha, ali nova mantra „ progresivnog dizajna osmeha“ od suštinske je važnosti ukoliko želimo da našim pacijentima pružimo tačno ono što žele. Ranije, beljenje zuba pre bilo kakvog tretmana uvek je bilo način da se omogući pacijentima da na drugačiji način osmotre izgled svojih zuba. Sada, što je mnogo značajnije, korišćenjem tehnika za poravnjavanje zuba, pacijenti mogu da donose samostalno svoje odluke, što značajno smanjuje rizik od odustajanja od tretmana, a terapija je podeljena u veći broj faza, pa je omogućena reevaluacija u svakom trenutku.
Pomoću ABB koncepta, moguće je poravnati, izbeliti i restaurirati zube u periodu kraćem od dvanaest nedelja, za šta nam je ranije trebalo da izradimo u proseku od osam do deset ljuspica, što košta četiri puta više i zahteva invazivne preparacije zuba. Na taj način, stvoreno je značajno razmimoilaženje u konceptima. Ukoliko je pacijent zadovoljan nakon korigovanja položaja svojih zuba, beljenja i minimalnih adhezivnih restauracija, onda se to mora smatrati uspehom. Ova britanska tehnika sada predstavlja značajnu novu terapijsku disciplinu samu po sebi i u okviru „kozmetičke” stomatologije, koja će sa ovom tehnikom i sama biti uspešnija. Nakon svega, šta biste Vi odabrali?
O autoru
Dr Tif Kureši (Tif Qureshi) potpredsednik je Britanske akademije za kozmetičku stomatologiju. On drži radionice i predavanja o Inman Aligner-u širom sveta. Za informacije u vezi sa kursevima, datumima i obuci u SAD, molimo Vas da posetite sajt www.straight-talks.com ili www.inmanaligner.com . Ili kontaktirajte Karolinu Kros putem telefona na broj: +44 207 255 2559 ili preko sledeće adrese: info@straight-talks.com
Beleška izdavača: Ovaj članak je originalno štampan u časopisu Cosmetic Dentistry Vol 5 No1, 2011. Kompletna lista referenci dostupna je kod izdavača.
Primarni cilj svake od restauracija u frontalnom segmentu zubnog niza jeste to da se ne razlikuje od okolnih, intaktnih zuba. Svaki dalji bitni aspekt ...
Donošenje terapijskog plana nije jednostavno kod zuba kod kojih je posle endodontskog lečenja potrebno vreme za ozdravljenje tkiva, a indikovani su ...
Iskustvo je pokazalo da je tokom lečenja simptoma izazvanih poremećajem položaja temporomandibularnih zglobova (TMZ) i okluzije, vraćanje struktura u ...
Edukacija
Webinar uživo uto. 26 maj 2026 6:00 (CET) Belgrade
ČENGDU, Kina: Epidemiološki podaci ukazuju na to da stomatolozi imaju veću prevalenciju očnih oboljenja nego drugi profesionalci, ali razlozi ostaju ...
Za ovu temu i ovaj intervju mi je dalo ideju moje nedavno upoznavanje i razgovor sa mladom koleginicom dr Dragicom Đerić, koja je, pored toga što je ...
SOLNA, Švedska: Quacquarelli Symonds (QS), vodeća globalna analitika visokog obrazovanja, nedavno je objavila svoju godišnju QS rang listu svetskih ...
To post a reply please login or register