Anatomija kanala korena zuba je često složena. Tradicionalni 2D rendgenski snimci nam mogu dati predstavu o anatomiji i njenoj složenosti ili ukazati da li imamo posla sa ponovnim tretmanom ili kalcifikacijom, ali samo 3D vizija može da pruži potrebnu tačnost. U ovom članku ću sa Vama podeliti slučajeve sa različitim scenarijima za koje sam koristio DTX Studio Clinic softver za snimanje zuba (DEXIS) za kreiranje digitalnog modela i mape puta koju bih klinički pratio.
Slučaj br. 1
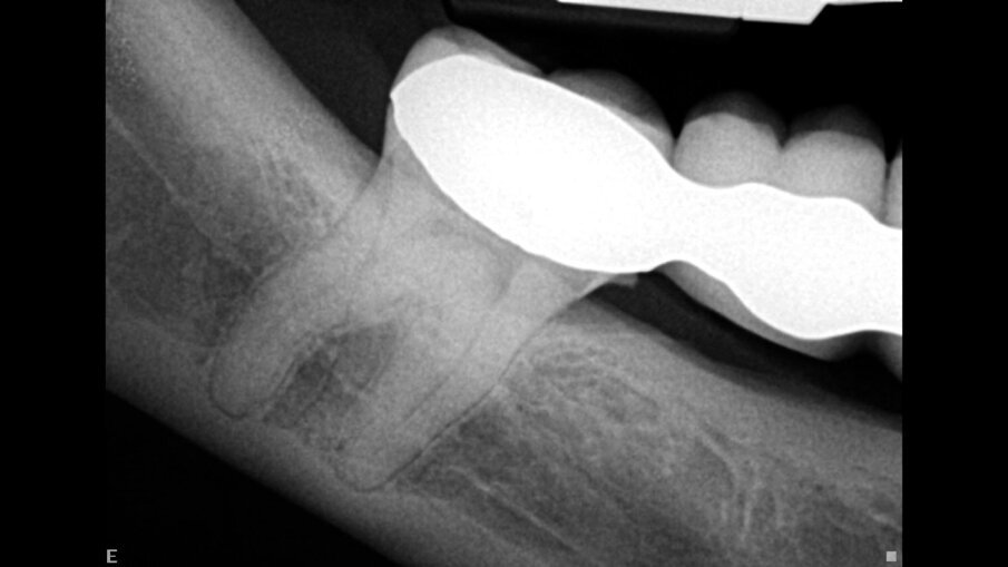
Ovaj pacijent je hitno došao zbog oštrog bola u drugom maksilarnom molaru. Ovo je potvrđeno kliničkim pregledom. Napravljen je standardni radiograf (Sl. 1), koji pokazuje veoma složenu anatomiju i kalcifikovanu pulpnu komoru. Istorija ovog zuba, kako je opisao pacijent, bila je da je na njega postavljen inlej i nakon nekog vremena se pojavila nelagodnost koja je trajala nekoliko godina bez lečenja. Na pregledu mu je rečeno da je sve u redu.
Tražio sam da se uradi i-CAT skeniranje kako bih bolje razumeo šta se dešava. Proučavajući horizontalni prikaz 3D slike, jasno se može videti nivo kalcifikacije u pulpnoj komori u poređenju sa pulpnom komorom prvog molara (Sl. 2).
Endodontski režim u novom softveru DTX Studio Clinic omogućava dodavanje mnogih pogleda i preseka i podešavanje debljine preseka kako bi se proverio nivo kalcifikacije. Dodatna prednost je što omogućava praćenje unutrašnje anatomije korena, pojedinačno i zajedno. Prilikom praćenja kanala korena, boja se može izabrati za svaki kanal. Ovo je od velike koristi za vizuelizaciju unutrašnje anatomije (Sl. 3).
Pomoću ovog softvera može se vizualizovati 3D model zuba sa kanalima ucrtanim sa njihovim približnim radnim dužinama, dajući nam predstavu šta da očekujemo (Sl. 4). Na primer, u ovom slučaju, prosečna radna dužina je bila oko 27 mm za ovaj drugi maksilarni molar sa četiri kanala i ovakvom anatomijom — ja ove slučajeve zovem dupli espreso jer su mali izazov. Na primer, distalni kanal je imao oštru krivinu poput kuke na vrhu. Svi ovi podaci mogu pomoći u odabiru sekvence endodontskih turpija za oblikovanje i čišćenje sistema kanala korena. Traverse i ZenFlex turpije (Kerr Dental; Sl. 5) su korišćene za oblikovanje kanala. U distalnom korenu, turpija 30/.04 nije korišćena u poslednja 2 mm, kako bi se izbeglo bilo kakvo deformisanje ove oblasti. Irigacija je obavljena prema Sleimanovoj sekvenci irigacije (objavljeno u roots magazinu 1/2014). 3D obturacija kanala izvedena je sa Elements IC obturacionim sistemom (Kerr Dental; Sl. 6).
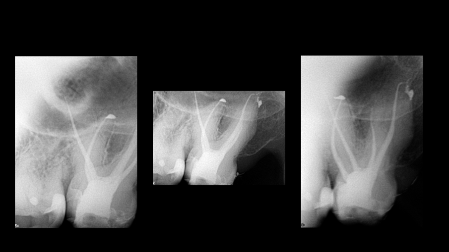
Obturacija je završena, a neposredni postoperativni rendgenski snimci su pokazali da su svi kanali popunjeni i zapečaćeni (Sl. 7a–c).
Sl. 1: Rendgen snimak pre operacije, koji pokazuje veoma složen sistem korenskih kanala i kalcifikovanu pulpnu komoru
Sl. 2: Horizontalni presek preuzet sa i-CAT skeniranja (DEXIS) koji pokazuje totalnu kalcifikaciju otvora kanala korena na nivou cementno-gleđnog spoja, u poređenju sa prvim molarom
Sl. 3: Endodontski režim u DTX Studio Clinic koji prati anatomiju kanala i daje približnu radnu dužinu u različitim bojama za svaki kanal
Sl. 4: 3D rekonstrukcija kanala u različitim bojama, koja prikazuje detaljnu dužinu segment po segment za svaki kanal
Sl. 5: Sleimanova sekvenca oblikovanja pomoću Traverse i ZenFlex turpija
Sl. 6: Elements IC za obturaciju tehnikom kontinuiranog talasnog zbijanja i zatrpavanja
Sl.7a-c: Rendgenski snimci neposredno posle operacije koji pokazuju 3D punjenje sistema kanala korena pod različitim uglovima
Slučaj br. 2
Isti pacijent je imao fistulu u bukalnoj zoni na nivou bifurkacije mandibularnog molara, nastalu zbog toga što su okluzalni kontakti bili previsoki i nisu bili podešeni nakon postavljanja inleja na maksilarni molar (Sl. 8a-b). Ovo je izazvalo aktivaciju supstance P koja je potom stvorila kalcifikacije u maksilarnom molaru i nepovratnu upalu mandibularnog molara - efekte mikrotraume.
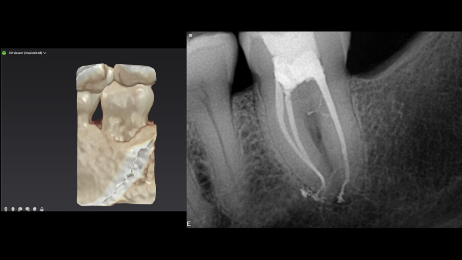
Koristeći endodontski režim u DTX Studio Clinic (Sl. 9), pregledan je svaki snimak i rez, tražeći razlog za fistulu mandibularnog molara. Mogući uzrok fistule može biti kompleks bočnih kanala koji se vidi u koronarnom delu distalnog korena (Sl. 10). Terapija kanala korena je započeta korišćenjem Traverse i ZenFlex turpija u istom redosledu koji je korišćen za slučaj 1, a izvršena je 3D obturacija sa Elements IC (Sl. 11).
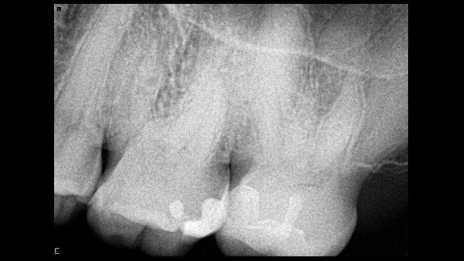
Sl. 8a: Radiografija pre operacije koja prikazuje kalcifikovanu pulpnu komoru i radiolucenciju u oblasti bifurkacije; Sl. 8b: Radiografija pre operacije koja pokazuje fistulu okrenutu ka koronarnom delu kanala korena
Sl. 9: Endodontski režim u DTX Studio Clinic u različitim delovima za analizu slučaja
Sl. 10: Horizontalni prikaz debljine samo 0,5 mm koji prikazuje složen sistem bočnih kanala u koronarnom delu distalnog kanala
Sl. 11a: Rekonstrukcija kosti sa DTX Studio Clinic koja pokazuje defekt kosti u koronarnoj oblasti; Sl. 11b: Rendgen snimak neposredno posle operacije koji pokazuje bočne kanale ispunjene u koronarnom delu distalnog kanala
Slučaj br.3
Treći slučaj naglašava veštačku inteligenciju ugrađenu u DTX Studio Clinic, čija je jedna karakteristika automatsko praćenje mandibularnog kanala. U ovom slučaju, to je bilo veoma korisno imati. Pacijent je bolovao od ireverzibilnog pulpitisa trećeg molara donje vilice. Želeo je da sačuva zub po svaku cenu, jer nije želeo da ima implantat (molar je bio potporni zub za most). Rendgenski snimak je pokazao da se koreni molara preklapaju sa mandibularnim kanalom (Sl. 12).
Napravljen je 3D radiograf, a na ovome je softver pratio mandibularni kanal koji se preklapa sa molarom u panoramskom prikazu. Endodontski režim softvera je otkrio da kanal zaobilazi bukalni deo, blago dodirujući meziobukalni kanal (Sl. 13–15). Na rendgenskom snimku odmah nakon terapije kanala korena, urađene kroz krunicu, uočena je potpuna obturacija svih kanala (Sl. 16).
Sl. 12: Rendgen snimak pre operacije, koji pokazuje blizak odnos između mandibularnog kanala i molara
Sl. 13: Praćenje putanje mandibularnog kanala
Sl. 14: Endodontski režim DTX Studio Clinic koji prikazuje različite delove analiziranog područja i odnos između mandibularnog kanala, praćenog softverom, i korena molara
Sl. 15: 3D rekonstrukcija koja pokazuje da je nerv zaobišao bukalno područje i dodirnuo samo srednji deo mezijalnog kanala
Sl. 16: Rendgenski snimak neposredno nakon operacije
Zaključak
Korišćenje softvera za digitalno snimanje može značajno poboljšati ishod terapije kanala korena zuba pružanjem dodatnih informacija o složenoj anatomiji sistema kanala korena. Savremeni softver za snimanje zuba, kao što je DTX Studio Clinic, omogućava vizuelizaciju složenosti sistema korenskih kanala sa velikom tačnošću — upoređujem ga sa mapom koju mogu da pratim tokom lečenja. Ova mapa čini endodontski tretman predvidljivijim i efikasnijim.
Уредничка напомена:
Ovaj članak je objavljen u međunarodnom časopisu za digitalnu stomatologiju digital—international magazine of digital dentistry vol. 4, issue 1/2023. Spisak referenci se može dobiti od izdavača.
To post a reply please login or register