Pacijent se javio za potpunu rekonstrukciju obe vilice.
Indikovan je monolitni supertranslucentni cirkon, preparacija polužljeb i stepenik, cementiranje adhezovno kompozitnim cementom (sl. 1).
Prenosnim obraznim lukom Amann-Girbach je model gornje vilice prenešen u potpuno podesivi artikulator Artex CR. Zglobni sistemi artikulatora su individualno podešeni na osnovu (protruzionog i lateralnih) registrata ekscentričnih položaja mandibule, a vrednosti očitane i sačuvane zbog dalje upotrebe na budućem definitivnom radu.
Na osnovu digitalnih otisaka importovanih u CAD software i upotrebom DSD alata dizajniran je budući rad (wax-up), koji će pacijent odobriti nakon izrade mock-up-a. (sl. 2-4).
Vrednosti koje su određene na startu terapije i koje su korišćene za izradu mock upa sada su unite u digitalni artikulator za personalizovanu izradu monolitnih kruna. Statički kontakti i dinamike kretanje u protruziji, i obostranoj laterotruziji su određeni po vrednostima sa starta terapije (sl. 5-7).
U ovom slučaju je korišćen Amann Girrbach Zolid Fx, supervisokotranslucentni cirkon. Nakondizajna i frezovanja pristupilo se personalizaciji detalja u sirovom stanju.
Nakon sinterovanja i obrade a pre slanja na probu obavezna je provera okluzije, statičkih kontakata i dinamičkih kretnji u analognom artikulatoru po istim vred- nostima sa starta terapije, time dobijamo isti status zgloba pre i nakon rekonstrukcije (sl. 14-17).
Nakon potpune personalizacije kako digitalno tako i analogno i probe rad se glazira i mehanički polira.
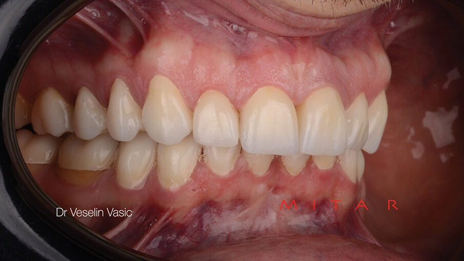
Slike rada u ustima 18,19. i 20.
Slika br. 1
Slika br. 2
Slika br. 3
Slika br. 4
Slika br. 5
Slika br. 6
Slika br. 7
Slika br. 8
Slika br. 9
Slika br. 10
Slika br. 11
Slika br. 12
Slika br. 13
Slika br. 14
Slika br. 15
Slika br. 16
Slika br. 17
Slika br. 18
Slika br. 19
Slika br. 20
Mitar Božić, zubni tehničar
Zaključak
Dakle, danas razvojem digitalnih tehnologija možemo jako precizno i kvalitetno manipulisati procedurama i mogućnostima koje možemo kombinovati i upariti sa analognim i upravo je ovo slučaj gde vidimo da smo dopunom analognih procedura i digitalnih alata uz pomoć znanja postigli potpuno isti okluzijski status uprkos velikoj rekonstrukciji u obe vilice.
Analogne tehnike individualizacije vrenosti artikulatora u kombinaciji sa digitalnim dizajnom osmeha (DSD) i planiranjem terapije rezultirale su preciznim inicijalnim digitalnim 3D dizajnom nadoknada, da bi se nakon brušenja ponovo primenila digitalna tehnologija za uzimanje otisaka i konačni dizajn restauracije i izrada iste.
Svi detalji i personalizacija prema potrebama pacijenta moraju biti ručno provereni i urađeni, svi detalji macro i micro morfologije, tekstura, glazura i najpreciznije podešavanje ponovo analogno u artikulatoru, bez obzira na digitalno planiranje.
Dakle, DIGITALA JE ALAT, ZNANJE JE MOĆ.
Napomena autora:
Zahvaljujem se na saradnji dr Veselinu Vasiću, Stomatološka Poliklinika Matijević-Nikolić-Vasić.
O autoru
Nakon završene Zubotehničke škole u Beogradu odmah počinje da radi i 2006. sa suprugom Tijanom osniva Zuboteh- ničku laboratoriju MTLAB u Beogradu. U sastavu laboratorije je PRINT&MILL DOO, koje radi uslugu izrade printanih konstrukcija za kompletnu zubnu tehniku. Početak profesionalne karijere je bio zasnovan na radu i usavršavanju na polju ortodoncije.
Demonstrator za Srbiju za firmu Forestadent (Nemačka) obučava veliki broj kolega u državnom i privatnom sektoru. Paralelno se usavršava na polju mobilne i kombinovane protetike a od 2010. počinje sa radom u oblasti fiksne protetike. 2012. počinje sa radom na radovima sa implantatima a 2015. kreće u digitalnu avanturu.
Demonstrator za Amann Girrbach (Austrija - Nemačka) sistem za Srbiju.
Zubotehnička laboratorija je sertifikovana od strane firme Amann Girrbach sertifikatom AG LIVE LAB. Pionir u digitalnoj Aling tehnologiji i osnivač sistema za ispravljanje zuba folijama M Aligner.
Organizator velikog broja kurseva za zubne tehničare master class imena, kao i redovan učesnik na ostalim domaćim i međunarodnim kursevima, seminarima, kongresima... Fokus delovanja je digitalizacija u stomatogiji i zubnoj tehnici a fokus rada su radovi sa implantima i hibridni radovi te estetski radovi.
SOLNA, Švedska: Quacquarelli Symonds (QS), vodeća globalna analitika visokog obrazovanja, nedavno je objavila svoju godišnju QS rang listu svetskih ...
To post a reply please login or register