Još od samog početka 20. veka, kada su Valter Hess i Ernest Zurcher predstavili anatomiju kanala korena sa, do tada neviđenom vizuelnom jasnoćom, njegova kompleksnost fascinirala je naučnike opremljene sve boljim aparatima za slikanje - od plavih boja do CT, od CBCT do konfokalne mikroskopije, od čistih preparata za zube do mikro-CT2-4, (napominjemo samo neke od njih). Zahvaljujući sveobuhvatnim istraživanjima i diskusijama, raznolikost i složenost morfologije kanala korena je danas dobro poznata i prihvacena. Međutim, pitanje kako najbolje pripremiti ovaj prostor, a očuvati homeostazu ostaje otvoreno za različite rasprave, koje se vode sa aspekta nauke ali, nažalost, i komercijalnih aspekata. Naš zadatak kao naučnika i kliničara je da istražimo koji je pristup najpraktičniji i primenljiv kako bi sačuvao zdrav zub i periodoncijum a u skladu sa dokazanim principima endodontskog lečenja i minimalno invazivnim pristupom.
Kako se svakodnevno na tržištu pojavljuje mnoštvo sistema za endodotsku obradu kanala čini se da delimo razumevanje da oni nemaju mogućnost da očiste kanal, već samo da ga preparišu to jest oblikuju dok je u stvari proces irigacije, ispiranja taj koji obezbeđuje određeni nivo čistoće kanalnog sistema potreban da se stvore uslovi za regeneraciju tkiva. Stoga, imajuci u vidu da je oblikovanje kanala u toku obrade prihvaceno (endodontske iglice koje se koriste uklanjaju najveci deo pulpe i / ili zaraženi dentin bez zaostajanja debrisa u kanalu, zadržavajući prirodan oblik kanala bez prisustva mikro pukotina) može se reći da je hemijska obrada ta koja je presudna za kompleksnost i uspeh tretmana.
Dugo vremena je ispiranje predstvaljalo mističan deo procesa, sa generalnim stavom da je dobro ispiranje neophodno ali bez standardizovanog procesa. Dok su različiti instrumenti i rastvori za irigaciju obimno proučavani, prvi redosled faza primene preporučen je tek 2005. pa su tada kliničari postali svesni da naizmenična primena rastvora moze biti isto tako efikasna kao i primena negativnog pritiska u cilju postizanja čistog prostora kanala korena i uklanjanja postoperativnog bola.
Ispod možete naći opise i rezultate nekoliko studija koje su dovele do postavljanja protokola ispiranja kanala koji je predstavljen kao zaključak ove publikacije.
Ispitivanje irigacije kanala korena danas
Činjenica da tokom obrade kanala korena moze doći do začepljenja dentinskih tubula debrisom dovela je do pitanja kako najbolje sprovesti hemijsku preparaciju tako da dentinski tubuli ostanu otvoreni i da omoguće bolje ispiranje a samim tim, kasnije, i bolje zatvaranje korenskog sistema. Iz kliničkog iskustva i poboljšanih rezultata, Jaramillo i sar. formulisali su su eksperimantalno faze ispiranja zasnovane na preporuci Sleimana 2005.godine uz korišćenje uređaja sa negativnim pritiskom da bi utvrdili benefite ove metode.
Ispitivanje elektronski mikroskopskih preparata korišćenih za procenu čistoće dentinskih tubula na 3 različita nivoa kanala pokazuje da naša eksperimentalna faza -naizmenična primena 6% NaOCl i 17% EDTA uz korišćenje vode između, značajno povećava mogućnost držanja otvora dentinskih kanalića prohodnim i onemogućava zatvaranje dentinskih tubula razmaznim slojem i debrisom tokom čišćenja i oblikovanja kanala u poređenju sa pojedinačnim korišćenjem ovih agenasa -6% NaOCl ili 17% EDTA. Rezultat je naglasio važnost upotrebe 17% EDTA u ranoj fazi, a ne samo u završnoj.
Ovaj redosled dozvoljava nam da koristimo standardne rastvore za irigaciju tokom hemijske obrade kanala korena i sprečava njihovu međusobnu interakciju zahvaljujući korišćenju destilovane vode u sredini procesa. U zavisnosti od PH vrednosti i prirode rastvora takve međusobne hemijske interkacije mogu imati niz posledica stvarajući braon (i u nekim slučajevima kariogeni) talog na izmenjenom dentinu, sa potencijalnim uticajem na opšte zdravlje i/ili na kvalitet dentin unutar korenskog sistema kanala, koji dalje, može uticati da dugotrajnost veze između punioca i dentina usled čega menja ishod lečenja kanala korena generalno.
Još jedan nalaz studije koji je ponovio pozitivni klinički ishod vezan za upotrebu negativnog pritiska u kombinaciji sa eksperimentalnom fazom ispiranja; protokol irigacije koji je uključivao i Sleimanovu fazu (naizmenično koriščenje natrijuma hipohlorita, vode i EDTA) i uređaje sa negativan pritiskom dokazano je najefikasniji u procesu otvaranja dentinskih tubula i njihovom održavanju otvorenima. Može se smatrati da negativan pritisak dovodi do stvaranja vakuma koji prvo isuši tečnost iz pristupnog kaviteta u sistem kanala korena a zatim ih isisa i odatle.
Korišcenje makro- i mikro-nastavaka (kanila) uređaja koji stvara negativan pritisak u srednjem i apikalnom delu kanala korenskog sistema, dovodi do stvaranja vakuuma ili delimičnog vakuma, unutar kanala korena. Iako je njegova glavna uloga uvlačenje rastvora dublje i dublje u sistem kanala korenova a zatim bezbedno uklanjanje iz sistema, parcijalni vakuum stvoren ovim negativnim pritiskom ima niz drugih važnih benefita kao sto Sleiman-landolo test i dokazuje.
Pre svega, on može eliminisati vazdušne mehuriće koji su neizbežni rezultat penušaste hemijske reakcije između rastvora za irigaciju, kao i sadržaj glavnog kanala korena (uglavnom u apikalnom delu) i lateralnih kanala i dentinskih tubula koji sprečavaju rastvore za ispiranje da dospeju do ovih delova i primene svoje delovanje.
Drugo, kada je vazdušni mehurić eliminisan, parcijalni vakuum pomaže distribuciju irigacionih rastvora u celokupan korenski sistem uključujući i čitavu dužinu dentinskih tubula. Treće, ispiranje pod negativnim pritskom omogućava primenu značajno veće količine irigacionih rastvora za kraće vreme pa povećava efikasnost a smanjuje vreme trajanja procedure. Ova jedinstvena svojstva rezultiraju bržom i boljom hemijskom pripremom celog sistema kanala.
Sleiman-Iandolo test koristi sveže ekstrahovane premolare, izvađene usled oboljenja periodoncijuma, impregnirane metilenski plavom bojom u centrifugi; ovo za rezultat ima potiskivanje farbe duboko u dentinske tubule.(slika 2a). Da bismo uporedili rezultate koristili smo uobičajene tehnike ispiranja: upotrebili smo uređaj za irigaciju sa negativnim pritiskom (EndoVac),igle sa laterlanim otvorima, manulenu primenu rastvora i pasivnu ultrazvučnu irigaciju u kombinaciji sa Sleimanovom fazom ispiranja . Upotreba EndoVac-a i Sleimanove faze su se pokazali kao jedini pristup koji je potpuno uklonio metilensko plavu boja iz celog sistema kanala korena i dentinskih tubula u roku od 25 minuta, dok ostale metode nisu dale rezultate (slike 2b i c).
Sleimenova faza prevazilazi korišćenje vode kao središnje faze između naizmenične primene rastvora i kao finalnog iriganta (voda rashlađena na temperaturi izmedju 2,5 ° C i 4° C radi kontrole postoperativnog bola ili u krioterapiji je takođe preporučena od strane Sleimena a istraživanja nastavio Vera)-ona takođe predviđa da se prilikom korišćenja mikro i makro kanila uređaja za ispiranje pod negativnim pritiskom, na svakih 5 sekundi pravi pauza u primeni rastvora u trajanju od 2-3 sekunde. Tokom ove pauze stvara se parcijalni vakuum u kanili koji izvuče sve tečnosti , ostatke i gasove iz čitavog sistema kanala. Kada se sistem isuši, parcijalni vakkum unutar kanala može zatim uvući novu količinu rastvora radi brže i čistije obrade kanala korena.
Slika 1a – Sleiman-Iandolo test. Pokazuje mehurić vazduha zarobljen u lateralnom kanalu nastao kao rezultat pasivnog ultrazvucnog ispiranja. Uklanjanje vazdušnog mehurića uz pomoć mikro kanile Vazdušni mehurić na ulazu u lateralni kanal
Slika 1b- Sleiman-Iandolo test. Pokazuje uklanjanje zaostalog mehurića vazduha upotrebom uređaja sa negativnim pritiskom.(Ostala sredstva kao ultrazvucna irigacija ili korišćenje lateralne igle nisu bila efikasna u uklanjanju zaostalog vazduha u kanalu pa je on ostajao na mestu) Uklanjanje vazdušnog mehurića uz pomoć mikro kanile Vazdušni mehurić na ulazu u lateralni kanal: samo je mikrokanila uspela da ga ukloni
Slika 2a: Sleiman-Iandolo test. Sveže ekstrahovani premolar ofarban metilnskom plavom bojom u centrifugi. Uočljiva je duboka penetracija boje, naročito u kruničnim delovima. Vreme 0 Vreme 1
Slika 2b: Sleiman-Iandolo test. Rezultat uklanjanja boje manuelnom dinamičkom aktivacijom (levo) i iglom sa lateralnim otvorom. Manuelna dinamička aktivacija Igla sa lateralnim otvorom
Slika 2c: Sleiman-Iandolo test. Rezultat uklanjanja boje pasivnim ultrazvucnim ispiranjem (levo)i uređajem za irigaciju sa negativnim pritiskom korišćenim po intervalima preporučenim po Sleimanovoj fazi (desno). Uočljiva je ekstremna čistoća najdubljih delova dentinskih kanalića na slici desno. Ultrazvučna aktivacija Endovac sistem
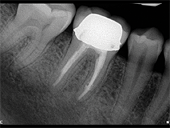
Slika 3: Nekrotičan/zaražen zub: donji premolar pacijenta koji se žali na konstantan, pulsirajući bol. Infekcija nije ograničena samo na apikalni deo već je takođe locirana i u srednjem delu lateralnog kanala. Postoperativni rendgenski snimak pokazuje 3-D zaptivanje apikalne regije sa svim anastomozama lateralnog i pomoćnih kanala.
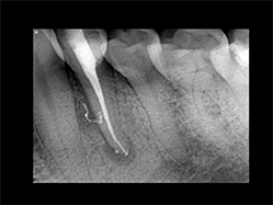
Slika 4:Kompleksnost apikalne regije pokazana nakon hemijske obrade kanala, sušenja i zaptivanja tehnikom vertikalne kondenzacije.
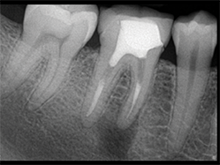
Slika 5:Prikazuje slučaj pogodan za reviziju punjenja s obzirom na loš rezulatat prethodne terapije kanala korena. Uz odgovarajuću obradu i irigaciju(Sleimanova faza) i zahvaljujući teškoj ali uspešnoj potrazi za distalnim kanalom, izvršena je 3-D opturacija kanala koja pokazuje suženje između mezijalnog i distalnog kanala kao i veoma visoko postavljene lateralne kanaliće u palatinalnom kanalu.
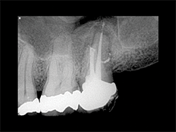
Slika 6:Vitalni prvi gornji molar sa ireverzibilnim pulpitisom. Uočljiv je izrazito dugačak palatinalni kanal (oko 31mm),koji je ipak zapečaćen zajedno sa petljom lateralnog kanalom zahvaljujući dobroj hemijskoj obradi kanala koja je omogućila kompaktnost punjenja.
Slika 7: Neuspešan tretman kanala korena sa apikalnom infekcijom i internom resorpcijom u apikalnom delu.
Slika 8: Kontrolna slika pokazuje brzo zarastanje i apikalne regije i resorptivne lezije.
Klinički slučajevi
Na slikama iznad predstavljamo neke od tipičnih slučajeva koji pokazuju postignutu čistoću kanala korenskog sistema prikazom bočnih i / ili pomoćnih kanala vidljivih zahvaljujući 3-D vertikalnoj kondenzaciji (Slika 3-6).
Slučaj neuspešnog tretmana korenskog kanala sa apikalnom infekcijom i unutrašnjom resorpcijom u predelu apeksa prikazuje slika iznad (Slika 7). Nakon uklanjanja prethodnog punjenja, izvršena je hemijska priprema, uz pomoc parcijalnog vakuuma unutar sistema hemikalije su mogle očistiti područje resorpcije bez agresivnog dejstva na periodontalni ligament; ovo je dovelo do zaista trodimenzionalne obturacije sistema kanala.
Slika nakon 4 meseca potvrdjuje brzo zarastanje i apikalne regije i područje resorptivne lezije.
Zaključak
Shvatajući da je potpuna dezinfekcija prostora kanala korena prakticno nemoguća, ostaje nam da nastavimo da se trudimo da ustanovimo odrziv klinički protokol koji bi omogućio smanjenje inflamacije i / ili bakterijskog opterećenja i omogućio izlečenje. Na osnovu pratećih istraživanja i testiranja, kao i prethodnih iskustava u kliničkim rezultatima kako sa endodontski lečenim zubima, tako i sa retretmanom vitalnih i avitalnih zuba, preporučujemo naš protokol hemijske obrade kao brz, siguran i što je najvažnije zasnovan na dokazima.
Sleimanov protokol ispiranja zahteva 6% (ili 5,25%, ako 6% koncentracija nije dostupna)NaOCl, 17% EDTA, destilovanu vodu ili normalni fiziološki rastvor. Za najbolje rezultate preporučujemo da koristite uređaj za ispiranje sa negativnim pritiskom kako biste uneli i uklonili rastvor uz pomoc dejstva parcijalnog vakuuma.
Međutim, treba napomenuti da ce i i drugi nacini primene rastvora u kombinaciji sa Sleimanovom fazom takodje poboljšati rezultate hemijske obrade kanala i dovesti do čistijeg prostora kanala korena.
Postupak primene Sleimanove faze:
Napraviti pristupni kavitet; ručnim instrumentima za obradu kanala locirati otvore kanala; rucnim instrumentima ispitati kanale - NaOCl
· H2O
· Mašinskim instrumentima obraditi kanale korena - EDTA
· H2O
· U toku mašinske obrade koristiti NaOCl
· H2O (hladna voda za krioterapiju)
· Isušiti sistem kanala korena - EndoVacom
Celu proceduru ispiranja bi trebalo izvoditi po pravilu 5 sekundi ispiranja pa 3 sekunde pauze kako bi se postigli optimalni rezultati primene parcijalnog vakuma.
Urednička napomena: Kompletna lista referenci je dostupna
kod izdavača.
Kontakt
Prof. Philippe Sleiman Asistent i profesor
Dental school Lebanese University
profsleiman@gmail.com
Ознаке:
DUNDEE, Škotska: Lečenje ireverzibilnog pulpitisa kod stalnih zuba prolazi kroz postepenu, ali značajnu promenu. Napredak u razumevanju dijagnostike i ...
Los Anđeles, USA: Naučnici iz Kalifornije su nedavno radili istraživanje o mogućnostima malenog, ali moćnog saveznika koji može da se upotrebi za ...
Glavni zadatak endodontske terapije je dezinfekcija celokupnog sistema kanala korena zuba, koja zahteva eliminaciju mikroorganizama i prevenciju ponovne ...
Glavna kauzativna uloga mikroorganizama u patogenezi oboljenja pulpe i periapikalnog dela zuba je poznata i dokazana.1 Glavni zadatak endodontske terapije ...
Mašinska preparacija kanala je sastavni deo savremene endodoncije. Njene prednosti su mnogobrojne i dokazane. Sa stanovišta pacijenta dobija se brži, ...
Dentalni adhezivni sistemi (dentalni adhezivi) omogućavaju vezu kompozitnih materijala i zubnih tkiva preko koje se ostvaruje mikro-mehanička retencija ...
Već od 18. veka (P. Fauchard) znamo da je briga o zdravlju zuba i zubnog tkiva bitna, a najbitnije je mehaničko odstranjivanje, tj. uklanjanje zubnih ...
BERLIN, Nemačka: Pet godina nakon početka primene, Uredba EU o medicinskim sredstvima 2017/745 (MDR) menja način na koji medicinski i stomatološki ...
ŠTOKHOLM, Švedska: Veza između lošeg oralnog zdravlja i povećanog rizika od sistemskih bolesti odavno je poznata i zbog toga je praksa dobre oralne ...
Gernot Šuler će preuzeti menadžment firme Wieladent. Na toj poziciji, on nasleđuje Herviga Moriksbauera, koji će nastaviti službu u savetodavnim...
Webinar uživo
ned. 3 maj 2026
6:00 (CET) Belgrade
Dr. Rickard Brånemark MSc, MD, PhD, Dr. Robert Gottlander DDS
Webinar uživo
pon. 4 maj 2026
2:00 (CET) Belgrade
Webinar uživo
uto. 5 maj 2026
4:00 (CET) Belgrade
Webinar uživo
uto. 5 maj 2026
6:00 (CET) Belgrade
Webinar uživo
uto. 5 maj 2026
7:00 (CET) Belgrade
Dr. Maximilian Dobbertin M.Sc
Webinar uživo
uto. 5 maj 2026
9:00 (CET) Belgrade
Webinar uživo
sre. 6 maj 2026
7:00 (CET) Belgrade