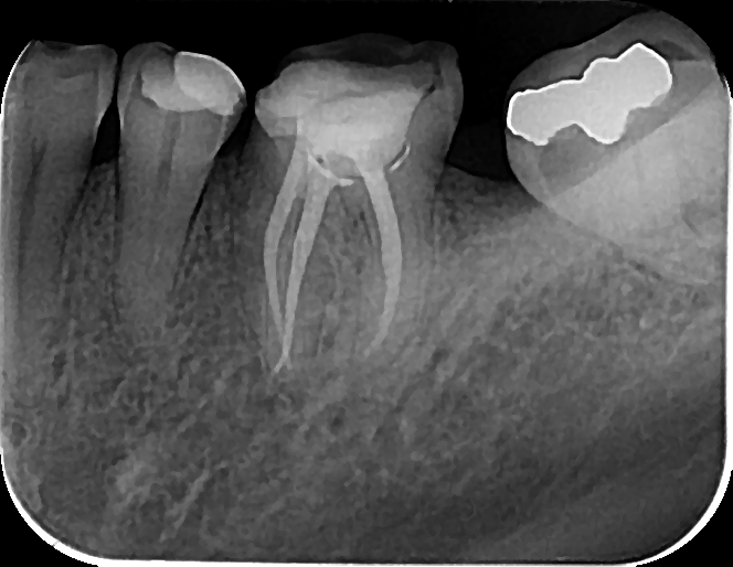
Mašinska preparacija kanala je sastavni deo savremene endodoncije. Njene prednosti su mnogobrojne i dokazane. Sa stanovišta pacijenta dobija se brži, komforniji i kvalitetniji rad. Sa tačke terapeuta, preparacija kanala je lakša i predvidljivija, sa mnogo manjim mogućnostima za nastanak grešaka1, i sa većom šansom da terapijski ishod bude zadovoljavajući u godinama koje slede. Povećanjem koničnosti Ni-Ti instrumenata obuhvaćen je veći deo kanalnog sistema koji nije bio dostupan ručnim instrumentima, povećan je prostor za irigaciju i omogućeno je da se opturacionim materijalom postigne adekvatno trodimenzionalno zaptivanje (Slika 1).
Instrumentima od Ni-Ti legure je napravljena revolucija kasnih devedesetih godina prošlog veka, kada su se pojavili na tržištu. Od tada je veliki broj članaka i studija posvećen njihovim karakteristikama, ali je sam način aktivacije ostao u drugom planu. Danas se rotirajući instrumenti aktiviraju na dva načina: kontinuiranom rotacijom 360 ° i recipročnim pokretom (Slika 2). Da li je svejedno na koji način pokrećemo instrumente? Da li pri kupovini endomotora o tome razmišljamo? Često je izborom uređaja koji podržava samo jednu vrstu kretnje, izbor već napravljen. Često se opredeljujemo za određene brendove u koje imamo poverenja. Koje su prednosti, a koji nedostaci svakog pokreta?
Pokret kontinuirane pune rotacije 360 °, u normalnom smeru (smer kazaljke na satu, udesno) je pokret koji se koristi od samog začetka moderne preparacije Ni-Ti instrumentima. Za stomatologe je ovo prirodan pokret, ako uzmemo u obzir svakodnevni rad sa nasadnim instrumentima koji se koriste decenijama. Brzina kojom se rotiraju Ni-Ti instrumenti je mala i iznosi 150-900 obrtaja u minuti. Međutim, i pri ovim brzinama se stvaraju sile fleksije i torzije, koje mogu da dovedu do povećanja cikličnog zamora i frakture instrumenata2. Iz tog razloga, svi endomotori koji koriste kontinuiranu rotaciju imaju i kontrolu obrtnog momenta (torque control). Za svaki sistem postoji predložena vrednost obrtnog momenta, u skladu sa samom namenom sistema, tj. svakog pojedinačnog instrumenta. Instrumenti koji se koriste uz visoke vrednosti obrtnog momenta su veoma efikasni, lako prodiru kroz kanal, ali je i mogućnost za njihovo ušrafljivanje u dentin i frakturu povećana3. Sa druge strane, niske vrednosti obrtnog momenta nam omogućavaju bezbedan rad, ali i teže i sporije napredovanje kroz kanal, ponekad bez mogućnosti da dosegnemo fiziološki foramen u slučaju kompleksne kanalne anatomije. Kako vrednost obrtnog momenta i brzina rastu, povećava se mogućnost za nastanak brojnih grešaka kao što su: stepenik, separacija instrumenta4, cervikalna perforacija, blokada…Sistemi za punu rotaciju najčešće se sastoje od nekoliko sekvenci, pogodnih za postepeno napredovanje put apeksa.
Slika 1. Trodimenzionalna opturacija prvog donjeg molara
Slika 2. Šematski prikaz recipročnog pokreta i kontinuirane rotacije
Slika 3. Blue R3 (Fanta Dental, Shanghai, China)
Slika 4. F One, single file sistem za kontinuiranu roraciju (Fanta Dental, Shanghai, China)
Krajem prve decenije 21. veka razvila se ideja da se za oblikovanje kanalnog sistema koristi samo jedan instrument, uz pokret recipročne kretnje5. Novi pokret je baziran na tehnici balansiranih sila i podrazumeva pokretanje instrumenta naizmenično, udesno (CW) i ulevo (CCW) za vrednost određenog ugla. Mora se naglasiti da je smer sečenja - smer u levo, za razliku od pokreta pune rotacije. Smer sečenja (CCW) se odlikuje većom vrednošću ugla od suprotnog smera (CW), (primer:150 CCW-30 CW). Za svaki sistem vrednost uglova je specifična i zavisi od dizajna samog instrumenta i njegove namene. Treba imati na umu da se sa povećanjem ugla sečenja, povećava i efiksnost instrumenta6.
Mnogobrojne studije su se bavile upoređivanjem ova dva načina pokretnja rotirajućih Ni-Ti instrumenata i njihovim uticajem na dugotrajnost instrumenta i kvalitet preparacije. Povećanje cikličnog zamora pri preparaciji je jako bitna odlika Ni-Ti instrumenata jer je primarni uzrok njihove separacije. Otpornost na ciklični zamor zavisi od vrste legure i dizajna instrumenta. Na povećanje cikličnog zamora utiče i brzina rotacije. U mnogim studijama je dokazano da instrumenti koji se pokreću recipročnim pokretom imaju mnogo veću otpornost na ciklični zamor od intrumenata koji se pokreću kontinuiranom rotacijom7. Pri pokretu koji imitira balansirane sile, manji su torzioni i fleksuralni stresovi, pa je manja mogućnost za nastanak preloma instrumenta. Takođe, pri samoj recipročnoj kretnji otpornost instrumenta na ciklični zamor opada sa povećanjem ugla rotacije u CCW smeru8. Ne treba zanemariti da je kompleksnost kanalnog sistema od presudnog značaja za povećanje cikličnog zamora, nastanak separacije i pojavu drugih grešaka.
Uticaj aktivacije instrumenta na redukciju bakterija pri preparaciji je takođe značajan faktor za uspeh terapije. Analizom studija koje su se bavile ovom temom, došlo se do zaključka da nije bilo razlike između dva načina aktivacije pod istim irigacijskim protokolima9. Takođe je dokazano da je redukcija mikroorganizama veća pri preparaciji sistemima od više sekvenci u odnosu na single-file, ali se ovaj rezultat može pripisati i dužini i količini irigacije tokom preparacije sa više instrumenata10. Ispitujući efikasnost , najveći broj autora nije našao razliku u kvalitetu postignute preparacije pri aktivaciji instrumenata različitim pokretima11, 12, kao ni u postizanju apikalne prohodnosti pri retretmanu 13.
Ako sumiramo, recipročan pokret nam donosi sigurnu preparaciju uz blag apikalni pritisak pri čemu se imitira pokret balansiranih sila. Može se izvući zaključak da je zbog smanjenog cikličnog zamora i torzionog stresa produžen vek trajanja instrumenata (mada su jasna uputstva proizvođača o broju korišćenja). Potreban je jedan instrument za celokupnu obradu kanala (Slika 3), pa je vreme preparacije kraće, a primena jednostavna. Ipak, u slučaju kompleksne kanalne anatomije, često nismo u mogućnosti da jednim instrumentom završimo celokupnu preparaciju kanala. Sistemi koji koriste pokret kontinuirane rotacije 360 ° su pak mnogo brojniji i raznovrsniji na tržištu. Zbog većeg broja sekvenci, i vreme preparacije je duže, pa se godinama radilo na smanjenju broja instrumenata. Danas imamo dostupne sisteme od jednog instrumenta i za pokret kontinuirane rotacije, koji su izuzetno efikasni (Slika 4). Pokretom kontinuirane rotacije se postiže bolje uklanjanje debrija i manja je mogućnost za nastanak mikropukotina u dentinu. Problem cikličnog zamora i stresa je rešen kontrolom obrtnog momenta. Najvažnije, efikasnost rotirajućih instrumenata koji se aktiviraju ražličitim pokretima je ista. Na sreću, danas se sve više proizvođača odlučuje za endo motore koji nam nude mogućnost izbora, jer podržavaju obe kretnje. Na nama je da se u zavisnosti od postavljene dijagnoze, kompleksnosti kanalnog sistema, a prevashodno našeg znanja i iskustva opredelimo za određeni sistem i način aktivacije.
Уредничка напомена:
Literatura
- Bergmans L., Cleynenbreugel J.V., Wevers M, Lambrechts P. Mechanical root canal preparation with NiTi rotary instruments: Rationale, performance and safety.American Journal of Dentistry 2001; 14(5):324-33
- Capar I, Ertas H, Arslan H. Comparison of Cyclic Fatigue Resistance of Nickel-Titanium Coronal Flaring Instruments. J Endod. 2014;40(8):1182−1185.
- Sattapan B, Palamara JE, Messer HH. Torque during canal instrumentation using rotary nickel-titanium files. J Endod 2000;26:156-60.
- Capar ID, Arslan H. A review of instrumentation kinematics of engine driven nickel–titanium instruments. Int Endod J 2016;49:119-35.
- Yared G. Canal preparation using only one NiTi rotary instrument, preliminary observations. Int Endod J 2008;41(4):339-344.
- Al-Sudani D., Kaabi H, Al Gamdi A, Al Dakheel The Influence of Different Angles and Reciprocation on the Shaping Ability of Two Nickel-Titanium Rotary Root Canal Instruments. The Journal of Contemporary Dental Practice, July-August 2014;15(4):451-455
- Pedullà E, Corsentino G, Ambu E, et al. Influence of continuous rotation or reciprocation of Optimum Torque Reverse motion on cyclic fatigue resistance of nickel-titanium rotary instruments. Int Endod J. 2018;51(5):522−528.
- Gambarini G, Rubini A, Al Sudani D, et al. Influence of Different Angles of Reciprocation on the Cyclic Fatigue of Nickel-Titanium Endodontic Instruments. JOE. 2012;38(10):1408−1411.
- Neves MA, Provenzano JC, Rôças IN, Siqueira JF., Jr Clinical antibacterial effectiveness of root canal preparation with reciprocating single-instrument or continuously rotating multi-instrument systems. J Endod. 2016;42:25–9.
- Ferrer-Luque CM, Bejarano I, Ruiz-Linares M, Baca P. Reduction in Enteroccocus faecalis counts – A comparison between rotary and reciprocating systems. Int Endod J. 2014;47:380–6.
- Gambarini G, Giansiracusa Rubini A, Sannino G, Di Giorgio G, Piasecki L, Al-Sudani D, Plotino G, Testarelli L.Cutting efficiency of nickel-titanium rotary and reciprocating instruments after prolonged use.Odontology. 2016 Jan;104(1):82.
- Salloum S, Torbey C, Bassam S, et al. Reciprocal and continuous rotation is two sides of the same coin. J Dent Health Oral Disord Ther. 2018;9(3):210‒213
- Nouri H, Amini K, Jahromi MZ.Comparison of full rotation and reciprocating movements in regaining apical patency during endodontic retreatment . Dent Res J 2021;18:85.
DUNDEE, Škotska: Lečenje ireverzibilnog pulpitisa kod stalnih zuba prolazi kroz postepenu, ali značajnu promenu. Napredak u razumevanju dijagnostike i ...
Zbog izuzetno velike zastupljenosti u populaciji, blagovremena terapija i kontrola oboljenja od ključnog su značaja za opstanak zuba. Terapija oboljenja ...
Glavni zadatak endodontske terapije je dezinfekcija celokupnog sistema kanala korena zuba, koja zahteva eliminaciju mikroorganizama i prevenciju ponovne ...
Glavna kauzativna uloga mikroorganizama u patogenezi oboljenja pulpe i periapikalnog dela zuba je poznata i dokazana.1 Glavni zadatak endodontske terapije ...
Los Anđeles, USA: Naučnici iz Kalifornije su nedavno radili istraživanje o mogućnostima malenog, ali moćnog saveznika koji može da se upotrebi za ...
Još od samog početka 20. veka, kada su Valter Hess i Ernest Zurcher predstavili anatomiju kanala korena sa, do tada neviđenom vizuelnom jasnoćom, ...
Budite deo 360° kruga znanja koji okuplja najistaknutija imena savremene stomatologije iz Srbije i regiona.Tri dana intenzivne edukacije, razmene iskustava...
Za Dental Tribune Serbia&Montenegro – dr Marko Gojnić, Predsednik Upravnog Odbora Stomatološke komore Srbije
VAŠINGTON, SAD: Plastika je utkana u sve aspekte moderne stomatologije, uključujući kompozitne ispune i jednokratne vakuumske nastavke. Pa ipak, sve ...
LOS ANĐELES, USA/SIČUAN, Kina: Iako su genetska istraživanja u poslednje vreme vrlo relevantna na polju medicine i biologije, ona se relativno malo ...
Webinar uživo
ned. 3 maj 2026
6:00 (CET) Belgrade
Dr. Rickard Brånemark MSc, MD, PhD, Dr. Robert Gottlander DDS
Webinar uživo
pon. 4 maj 2026
2:00 (CET) Belgrade
Webinar uživo
uto. 5 maj 2026
4:00 (CET) Belgrade
Webinar uživo
uto. 5 maj 2026
6:00 (CET) Belgrade
Webinar uživo
uto. 5 maj 2026
7:00 (CET) Belgrade
Dr. Maximilian Dobbertin M.Sc
Webinar uživo
uto. 5 maj 2026
9:00 (CET) Belgrade
Webinar uživo
sre. 6 maj 2026
7:00 (CET) Belgrade
To post a reply please login or register