Zbog izuzetno velike zastupljenosti u populaciji, blagovremena terapija i kontrola oboljenja od ključnog su značaja za opstanak zuba. Terapija oboljenja parodoncijuma uključuje, pre svega, nehiruršku, a ponekad i hiruršku terapiju koje, prema protokolima savremene literature, najčešće podrazumevaju sistemsku primenu antibiotika kao dopunu mehaničkoj terapiji, a u cilju obeskličavanja usne duplje.
S druge strane, dentalni implantati nalaze široku primenu u savremenoj stomatološkoj praksi u cilju zamene izgubljenih zuba. S obzirom na porast broja ugrađenih implantata kao i na, sada već višedecenijski, period njihove primene, proporcionalno raste i broj komplikacija. Terapija za cilj ima sanaciju inflamacije i spašavanje samih implantata. Terapijske mere koje se u tu svrhu preduzimaju podrazumevaju mehaničke mere za dekontaminaciju površine implantata, aplikaciju različitih hemioterapeutika, uz, često, sistemsku antibiotsku terapiju.
S obzirom na kontraindikacije koje sistemska primena antibiotika nosi, a koje se pre svega odnose na toksičnost, povećanje rezistencije mikroorganizama i nedovoljno “ciljano” polje delovanja kada je reč o usnoj duplji, postavlja se pitanje da li postoji alternativa sistemskoj antibiotskoj terapiji.
Od nedavno na tržišu je dostupan specifičan preparat koji predstavlja lokalni antibiotik na bazi penicilina s produženim dejstvom, u kombinaciji s beta-laktamazom koja dodatno oštećuje ćelijski zid mikroorganizama. Preparat se dobija mešanjem praha i tečne komponente, a, kada se aplikuje u usnoj duplji, formira tanak film koji svoju aktivnost ispoljava u narednih 7 do 10 dana. Indikacije za primenu ovog preparata su brojne, od dopunske terapije u nehirurškoj i hirurškoj terapiji parodontitisa, preko nehirurške i hirurške terapije komplikacija oko dentalnih implantata (periimplantnih mukozitisa I periimplantitisa), održavanja parodontoloških i implantoloških pacijenata, do poboljšanja zarastanja hirurških rana ili dopunske terapije različitih inflamatornih procesa u usnoj duplji.
Preparat se ne preporučuje pacijentima alergičnim na penicillin i cefalosporine.
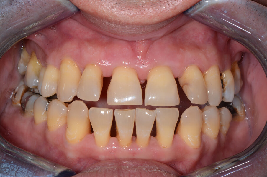
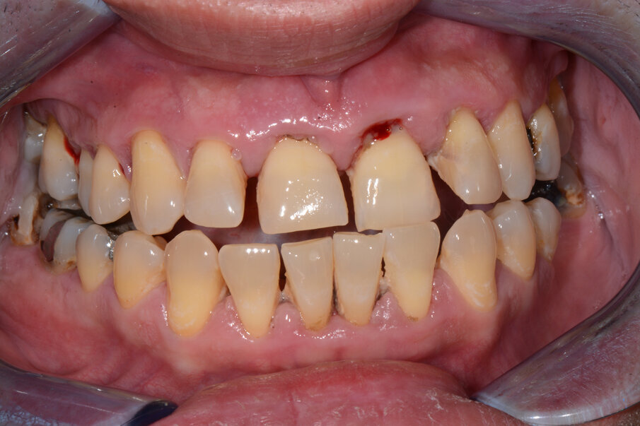
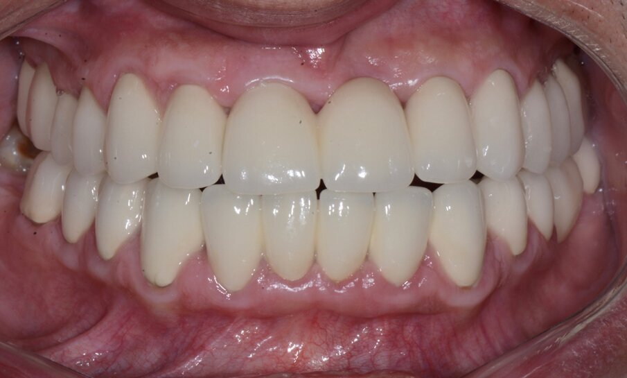
Prikaz pacijenta
Pacijent starosti 29 godina, s agresivnom formom parodontitisa. Pacijent je u trajanju od 2 godine lečen nehirurškom, a zatim i hirurškom terapijom oboljenja parodoncijuma uz primenu preparata GelCide. Nakon 2 godine, pacijent je protetski rehabilitovan fiksnim protetskim radom.
O autoru
Iva Milinković je docent na Klinici za parodontologiju i oralnu medicinu Stomatološkog fakulteta u Beogradu. Diplomirala je u ovoj instituciji 2006.godine. Doktorsku disertaciju odbranila je 2011. na Stomatološkom fakultetu u Beogradu. 2012.godine provela je, kao stipendista Internacionalne Fondacije za Implantologiju (ITI), godinu dana u Eastman bolnici u Rimu, pod mentorstvom dr Luke Kordara, usavršavajući se iz oblasti parodontologije, augmentacionih procedura i oralne implantologije. 2014. godine postaje specijalista parodontologije i oralne medicine. Dr Milinković je član Kongresnog komiteta i Komiteta mladih Evropske Asocijacije za Oseointegraciju (EAO). Od 2019. godine, član je uređivačkog odbora časopisa International Journal of Prosthetic Dentistry. Dr Milinković je član Evropske Federacije za Parodontologiju (EFP), EAO i ITI. Do sada je više puta publikovala u časopisima na SCI listi, aktivno učestvovala na skoro svim međunarodnim godišnjim konferencijama iz oblasti parodontologije i implantologije, koautor je Praktikuma iz Parodontologije.
Ознаке:
Mašinska preparacija kanala je sastavni deo savremene endodoncije. Njene prednosti su mnogobrojne i dokazane. Sa stanovišta pacijenta dobija se brži, ...
U medicini je opšteprihvaćeno da medicinski implantati i tretmani zahtevaju reviziju tokom vremena. U ortopedskoj hirurgiji, na primer, zamene zglobova ...
FILADELFIJA, SAD: Parodontalna oboljenja pogađaju skoro 60% odraslih starijih od 65 godina i predstavljaju značajan teret – medicinski, psihološki i ...
DUNDEE, Škotska: Lečenje ireverzibilnog pulpitisa kod stalnih zuba prolazi kroz postepenu, ali značajnu promenu. Napredak u razumevanju dijagnostike i ...
LONDON, Engleska: Iako periapikalni parodontitis može da pojača sistemsku upalu i povezan je sa kardiovaskularnim rizikom i oštećenom kontrolom ...
Parodontopatija – najčešća bolest savremenog sveta posle karijesa. Danas vam sve više pacijenata dolazi u ordinaciju upravo zbog tog problema. Ona ne ...
BAFALO, NJUJORK, USA: Naučnici sa Univerziteta u Bafalu (UB) dobili su deo sredstava od konkursa koji je raspisan za istraživanje svetlosne terapije kao ...
En Arbor, Mičigen, SAD: U prvoj ikad sprovedenoj studiji na tom polju, istraživači su otkrili da se terapija matičnim ćelijama u postupku regeneracije ...
ŠARŽA, UAE: Pored negativnih nuspojava, zdravstveni stručnjaci su sve više zabrinuti da dugotrajna ili nepravilna upotreba tečnosti za ispiranje usta ...
FRANKFURT NA MAJNI, Nemačka: Stručnjaci pozivaju na integraciju strategija smanjenja štete od upotrebe duvana i duvanskih proizvoda (THR) u stomatološku...
Webinar uživo
ned. 3 maj 2026
6:00 (CET) Belgrade
Dr. Rickard Brånemark MSc, MD, PhD, Dr. Robert Gottlander DDS
Webinar uživo
pon. 4 maj 2026
2:00 (CET) Belgrade
Webinar uživo
uto. 5 maj 2026
4:00 (CET) Belgrade
Webinar uživo
uto. 5 maj 2026
6:00 (CET) Belgrade
Webinar uživo
uto. 5 maj 2026
7:00 (CET) Belgrade
Dr. Maximilian Dobbertin M.Sc
Webinar uživo
uto. 5 maj 2026
9:00 (CET) Belgrade
Webinar uživo
sre. 6 maj 2026
7:00 (CET) Belgrade