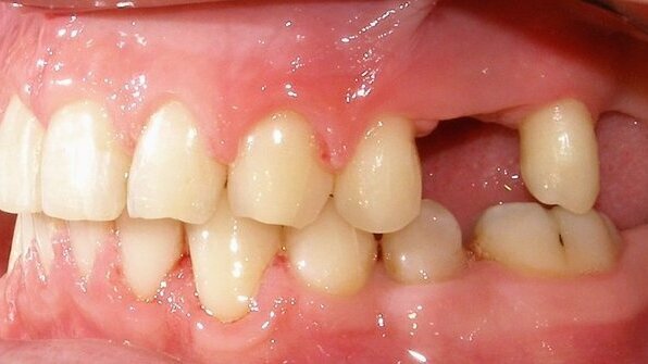
Geteborg, Švedska: Istraživači sa Salgrenska akademije Univerziteta u Geteborgu otkrili su način da zamene izgubljeni zub bez potrebe za veštačkom nadogradnjom vilice. Njihova metoda podrazumeva izmeštanje postojećeg zuba u regiju bez denticije korišćenjem proteze, što specijalistima pruža mogućnost obavljanja jednostavnije i manje bolne intervencije vraćanja izgubljenog zuba pacijentu.
Kada izgubimo zub, bilo kao posledicu nekog oboljenja ili usled povrede, koštano tkivo u regiji bez zuba gubi na zapremini. Ovo smanjenje otežava ugradnju dentalnih implantata, često ostavljajući samo jednu opciju za zamenu izgubljenog zuba: nadogradnju vilice transplantacijom koštanog tkiva.
Tokom eksperimentalnog istraživanja, sprovedenog na psima, švedski naučnici uspeli su da korišćenjem žičane proteze pomere postojeći zub u regiju bez zuba i sa ograničenom zapreminom viličnog tkiva, bez bilo kakvog smanjenja intenziteta prirodne veze tog zuba sa vilicom.
U studiji koja je sledila, konsultant i oralni hirurg Brigita Lindskog Stokland i njene kolege uspeli su da dokažu da je sprovođenje istovetnog postupka na ljudima dovelo do minimalnih promena u tkivu oko zuba.
„Rentgenski snimci pokazuju određeno oštećenje korena poznato pod nazivom resorpcija korena, ali izgleda da ono ne uzrokuje nikakve probleme trajnog karaktera“, izjavila je Stoklandova. „Štaviše, naše kontrole izvedene nakon godinu dana pokazale su da se stepen oštećenja smanjio“.
Na početnoj poziciji zuba koji se izmešta takođe dolazi do smanjenja zapremine koštane mase i gingive, ali u manjoj meri nego kada do gubitka zuba dolazi iz drugih razloga. To znači da takva pozicija predstavlja bolju podlogu za implantat ili drugu vrstu zubne nadoknade, bez ikakve potrebe za izvođenjem transplantacije viličnog tkiva.
„Drugim rečima, sve više pacijenata moći će da dobije veći broj zubnih nadoknada na jednostavniji način“, izjavila je Stoklandova.
ŠARŽA, UAE: Pored negativnih nuspojava, zdravstveni stručnjaci su sve više zabrinuti da dugotrajna ili nepravilna upotreba tečnosti za ispiranje usta ...
DUNDEE, Škotska: Lečenje ireverzibilnog pulpitisa kod stalnih zuba prolazi kroz postepenu, ali značajnu promenu. Napredak u razumevanju dijagnostike i ...
Los Anđeles, USA: Naučnici iz Kalifornije su nedavno radili istraživanje o mogućnostima malenog, ali moćnog saveznika koji može da se upotrebi za ...
Stres je nezaobilazna pojava u našoj svakodnevnici. Posao, porodica, nedostatak novca, svuda oko nas problemi koji mogu da dovedu do povišenja...
SUITA, Japan: Svetska zdravstvena organizacija izveštava da su kardiovaskularne bolesti vodeći uzrok smrti u svetu i da postoje dokazane veze između ...
LONDON, Velika Britanija: Istraživanje naučnika iz kompanije British American Tobacco (BAT) pokazalo je da aerosol iz zamene za konvencionalne cigarete ...
ČIKAGO, SAD: Državna legalizacija marihuane u SAD počela je da se uvodi 2012. godine, a upotreba lične i medicinske marihuane je u porastu. Međutim, ...
U mnogim delovima sveta, rast populacije je nadmašio dostupnost kliničara, produžavajući vreme čekanja i postavljajući veće zahteve za već ...
LIMA, Peru: U nedavno objavljenom istraživanju naučnici su radili na razvoju integrisanog programa za redukciju pojave karijesa i smanjenje težih oblika ...
Duži životni vek i potreba za održanjem zdravlja zuba u sve dužem periodu utiče na pojavu povećanja broja slučajeva preosetljivosti zuba, povlačenja...
Webinar uživo
uto. 12 maj 2026
7:00 (CET) Belgrade
Webinar uživo
čet. 14 maj 2026
6:00 (CET) Belgrade
Webinar uživo
čet. 14 maj 2026
8:00 (CET) Belgrade
Prof. Hani Ounsi DDS PhD FICD
Webinar uživo
uto. 19 maj 2026
5:00 (CET) Belgrade
Webinar uživo
uto. 19 maj 2026
7:00 (CET) Belgrade
Prof. Dr. med. dent. Ivo Krejci
Webinar uživo
sre. 20 maj 2026
1:00 (CET) Belgrade
Dr. Graham Carmichael BDSc (Hons), DClinDent (Pros), FRACDS, Dr. Robert Gottlander DDS
Webinar uživo
sre. 20 maj 2026
3:00 (CET) Belgrade
To post a reply please login or register