Imedijatna ugradnja implantata smanjuje broj hirurških intervencija i redukuje vreme potrebno da se izvede celokupni tretman. Idealno trodimenzionalno pozicioniranje implantata, očuvanje alveolarne kosti, sa posebnim akcentom na bukalnu koštanu lamelu, kao i zadovoljavajući izgled mekog tkiva mogu biti postignuti ovom procedurom. Mogu se očekivati visoki estetski rezultati.
Posebnu pažnju treba posvetiti minimalno traumatskoj ekstrakciji zuba. Upotreba neke od regenerativnih procedura često prati imedijatnu ugrandju implantata i od izuzetne je važnosti odabrati odgovarajuću proceduru za svakog pacijenta.
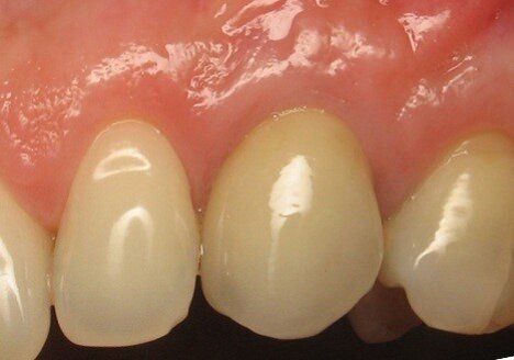
Dugoročno preživljavanje implantata, i zdravlje tkiva koje ga okružuju, ne ispunjavaju zahteve koji se postavljaju pred savremenu implantologiju. Danas smatramo da je estetski učinak podjednako bitan za uspeh implantata. Ugradnja implantata i protetska rehabilitacija su posebno izazovne u esteskoj zoni. Detaljna analiza parametara neophodnih za idealno pozicioniranje implantata, kao što su dijagnoza, plan terapije, anatomski parametri, trodimenzionalno pozicioniranje, kao i dizajn implantata su od presudnog značaja za uspeh ove procedure.
U slučaju pravlinog odabira pacijenta, i pravilno postavljenje indikacije, imedijatna ugradnja predstavlja visoko uspešan modalitet lečenja sa procentom uspeha sličnom onom kod kasne ugradnje.
Komplikacije imedijatne ugradnje implantata su brojne i prvenstveno su uslovljene neadekvatnim odabirom slučaja i planom terapije. Estetski neuspesi implantata u frontalnim regijama predstavljaju jednu od najtežih komplikacija u savremenoj implantologiji. Razlozi za nastanak ovih komplikacija su: traumatska ekstrakcija zuba, nepravilno pozicioniranje implantata, neodgovarajući dijametar implantata, neadekvatna upotreba regenerativnih tehnika za nadoknadu koštanog i mekog tkiva kao i izrada neodgovarajućih protetskih nadoknada.
Nepravilno pozicioniranje implantata je greška koja se može prevazići upotrebom hirurškog stenta. Imedijatna ugradnja implantata upotrebom hirurške vođice i imedijatno opterećenje implantata nadoknadom kompjusterski isplaniranom i fabrikovanom pre same hirurške intervencije predstavljaju modalitet lečenja koji pacijentima pruža najbrže i najkomfornije rešenje.
Dentalna implantologija je multidisciplinarna grana stomatologije. Danas govorimo da postavljanje implantata mora da bude protetski vođeno, a da je ...
Kod nekih pacijenata neprivlačan osmeh u značajnoj meri jeste posledica izražene vidljivosti gingive prilikom osmehivanja („gummy smile“), ...
MALMÖ, Švedska: Bruksizam pogađa i do milijardu ljudi širom sveta. Ovaj čest poremećaj može da uzrokuje ozbiljna oštećenja zuba I zubnih nadoknada....
Selbivil, USA: U najnovijem izveštaju o stanju na globalnom tržištu dentalnih implantata kao glavni trendovi označeni su razvoj materijala i krajnjeg ...
LONDON, Ontario, Kanada: Implantati – bilo da su u vilici ili kuku – su vitalni deo obnavljanja funkcije i kvaliteta života za milione pacijenata. ...
MOSKVA, Rusija: Efekat promenjene navike žvakanja u kontekstu dentalne implantologije još uvek nije dovoljno proučen. Sada su istraživači sa Prvog ...
Etiologija i fizički mehanizmi fenomena loma dentalnih implantata se detaljno ispituju i opisuju u poslednjih nekoliko godina
CIRIH, Švajcarska: Dentalni implantati su jedna od najefektivnijih opcija za nadomštanje zuba koji nedostaju, i postoje mnogobrojni terapijski koncepti za...
BARSELONA, Španija: Nekoliko naučnih istraživanja je već ispitivalo moguće uzroke neuspeha dentalnih implantata. Ono što se najčešće ustanovilo kao...
Minimalno invazivne kozmetičke procedure lica veoma brzo postale su najinteresantnija, ali i najkontroverznija tema u oblasti estetske stomatologije. Po ...
Webinar uživo
uto. 12 maj 2026
7:00 (CET) Belgrade
Webinar uživo
čet. 14 maj 2026
6:00 (CET) Belgrade
Webinar uživo
čet. 14 maj 2026
8:00 (CET) Belgrade
Prof. Hani Ounsi DDS PhD FICD
Webinar uživo
uto. 19 maj 2026
5:00 (CET) Belgrade
Webinar uživo
uto. 19 maj 2026
7:00 (CET) Belgrade
Prof. Dr. med. dent. Ivo Krejci
Webinar uživo
sre. 20 maj 2026
1:00 (CET) Belgrade
Dr. Graham Carmichael BDSc (Hons), DClinDent (Pros), FRACDS, Dr. Robert Gottlander DDS
Webinar uživo
sre. 20 maj 2026
3:00 (CET) Belgrade
To post a reply please login or register