Endodoncija je kompleksna oblast u stomatologiji koja se razvija i fokusirana je na lečenje sistema korenskih kanala zuba, balansiranje biokompatibilnosti i očuvanje strukture zuba efikasnim tehnikama. (Fotografija: Microgen/Shutterstock)
Endodoncija je prepoznata kao najkomplikovaniji i najizazovniji tretman u stomatologiji. Sistem korenskih kanala zuba je otvoren put između oralne bakterijske flore i više osetljivih tkiva i organa u našem telu. To je dinamična nauka o kojoj učimo svaki dan i koja svakodnevno postavlja nove izazovne slučajeve i enigme za rešavanje. Svaki korišćeni materijal i tehnika treba da uzme u obzir biokompatibilnost i dugovečnost tretmana i naravno kako sačuvati strukturu zuba, bilo iznutra ili spolja. Jednostavne, ali veoma efikasne tehnike treba da budu deo naše svakodnevne prakse.
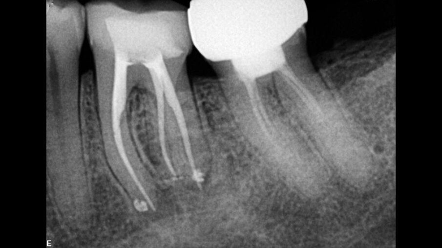
Počevši od dijagnostičkog dela, 3D snimanje je osnovni alat za kompletiranje zagonetke i pronalaženje odgovora, kao i za pripremu potpunog plana lečenja, kako za svaki jednostavan tako i za komplikovane slučajeve. Veštačka inteligencija (AI) je odličan dodatak u pogledu 3D snimanja. Već neko vreme koristim softver DTX Studio Clinic, koji ima mnoge funkcije veštačke inteligencije i poboljšane funkcije slike koje mi mnogo pomažu u svakodnevnoj praksi. Kada se kombinuje sa pravilnom rezolucijom i vidnim poljem za endodonciju, postaje veoma moćan dijagnostički alat. Nedavno smo nadogradili našu i-CAT jedinicu na DEXIS OP 3D jedinicu, koja ima mnogo prednosti u pogledu vidnog polja i kvaliteta slike, a savršena je kada se kombinuje sa DTX softverom. Digitalna 3D slika omogućava otkrivanje neuobičajene anatomije. U slučaju pacijenta koji se žalio na bol i pritisak na zub nakon što je neko vreme bio podvrgnut terapiji kanala korena, pažljivo čitanje CBCT skeniranog područja otkrilo je drugi kanal u centralnom sekutiću i omogućilo nam da lociramo furkaciju (Sl. 1–3).
Figs. 1a & b: CBCT scan showing a second canal in the central incisor (E mode; field of view: 5 × 5 mm).
Fig. 1b
Fig. 2: Location of the furcation.
Fig. 3: Retreatment of the central incisor, after the shaping and obturation of both canals.
Sl.1a i b: CBCT skeniranje koje pokazuje drugi kanal u centralnom sekutiću (E režim; vidno polje: 5 × 5 mm).
Sl.2: Lokacija furkacije
Sl.3: Retretman centralnog sekutića, nakon oblikovanja i obturacije oba kanala.
Krioterapija u endodonciji, ideja koju sam počeo da primenjujem pre nekoliko godina, postaje sve više primenjiva u praksi. Krioterapija uključuje upotrebu hladne vode kako bi se smanjila postoperativna endodontska nelagodnost da se pokuša zameniti ili minimizirati upotreba analgetika. Ovo je veoma jednostavno, ali veoma efikasno rešenje koje pomaže našim pacijentima da prevaziđu bol nakon tretmana kanala korena.
Irigacija u endodonciji je široko pogrešno shvaćena, ali je tako jednostavna kada razumemo hemikalije koje koristimo i šta je naš cilj i kako ga postići. Dajući svakoj hemikaliji posao ili cilj koji bi trebalo da postigne i razumevanjem hemijskih interakcija – irigacija je stvar bavljenja različitim vrstama hemikalija – možemo postići bolju, mnogo bržu i sigurniju dezinfekciju kanala korena zuba. Pre upotrebe natrijum-hipohlorita, trebalo je do 20-30 minuta vremena, a sada dezinfekcija traje nekoliko sekundi. Nivo bakterija od nule je na dohvat ruke i nije potrebna posebna nauka da bi se to postiglo. Nula bakterija znači da možemo imati bolju prognozu za lečenje kanala korena zuba i veće stope uspeha našeg ponovnog lečenja, a omogućava nam takođe tretman u jednoj poseti i da nije potrebno postavljati privremene “zavoje” – mit o kalcijum hidroksidu više ne postoji. Kao demonstraciju, razmotrite slučaj nekrotičnog molara sa relativno velikom radiolucencijom koji smo lečili tretmanom kanala korena u jednoj poseti prema našem protokolu irigacije (Sl. 4–6).
Fig. 4: Necrotic molar with a relatively large radiolucency.
Sl.4: Nekrotični molar sa relativno velikom radiolucencijom. Sl.5: Postoperativna radiografija neposredno nakon tretmana. Sl.6: Kontrolni Rtg snimak nakon godinu dana od tretmana koji pokazuje potpuno zarastanje.
Nikl-titanijumske (NiTi) rotacione turpije bile su sjajan pronalazak koji je promenio svet endodoncije, a znanja o ovoj leguri nastavljaju da se razvijaju. Godine 2006. proizvedene su prve termički obrađene turpije, što je promenilo proces u proizvodnji rotacionih turpija. Promene su donele dodatnu fleksibilnost i otpornost na obrtni moment, povećavajući bezbednost upotrebe NiTi rotacionih turpija. Nedavno, kroz još jednu inovaciju u ovoj oblasti, fleksibilnost i otpornost na sečenje su kombinovani u jednoj turpiji. ZenFlex i Traverse turpije (Kerr Endodontics) otvorile su put za novu eru u proizvodnji endodontskih instrumenata. Ova inovacija će nam dati priliku da koristimo turpije u veoma jednostavnom redosledu, bilo u primarnom ili u ponovnom tretmanu (Sl.7).
Sl.7: ZenFlex i Traverse turpije (Kerr Endodontics).
Nulta apikotomija, umetnost kombinovanja tretmana kanala korena zuba i mikrohirurgije radi očuvanja integriteta zuba u smislu da se više ne uklanja vrh zuba, pokazala se kao veoma uspešna tehnika ne samo u očuvanju strukture zuba, već i u ponovnom stvaranju novog parodontalnog ligamenta gde kost može da raste vertikalno – ideja koja je ranije bila nemoguća – da bi se sačuvali prirodni zubi. Ovo predstavlja potpuno novi pristup u endodontskoj mikrohirurgiji. U slučaju traume u kojoj je bilo odsustva kortikalne i apikalne kosti oko centralnih sekutića donje vilice i veoma dubokog džepa koji je dopirao do apikalnog područja, urađena je nulta apikotomija i tretman kanala korena zuba, a 18 meseci kasnije, uprkos svim prognozama , kost je narasla vertikalno, pokrivajući skoro u potpunosti bukalni deo korena, a apikalna kost je potpuno obnovljena (Sl.8).
Ove i više ideja zasnivaju se na razumevanju šta je problem i kako kreirati rešenja koja su usmerena na očuvanje zuba u njihovom prirodnom okruženju.
Sl.8a–f: Odsustvo kortikalne kosti i apikalne kosti oko oba centralna sekutića (a i b). Devetomesečni kontrolni Rtg snimci (c & d). Osamnaestomesečni kontrolni Rtg snimci (e & f).
ČENGDU, Kina: Epidemiološki podaci ukazuju na to da stomatolozi imaju veću prevalenciju očnih oboljenja nego drugi profesionalci, ali razlozi ostaju ...
Za ovu temu i ovaj intervju mi je dalo ideju moje nedavno upoznavanje i razgovor sa mladom koleginicom dr Dragicom Đerić, koja je, pored toga što je ...
SOLNA, Švedska: Quacquarelli Symonds (QS), vodeća globalna analitika visokog obrazovanja, nedavno je objavila svoju godišnju QS rang listu svetskih ...
To post a reply please login or register