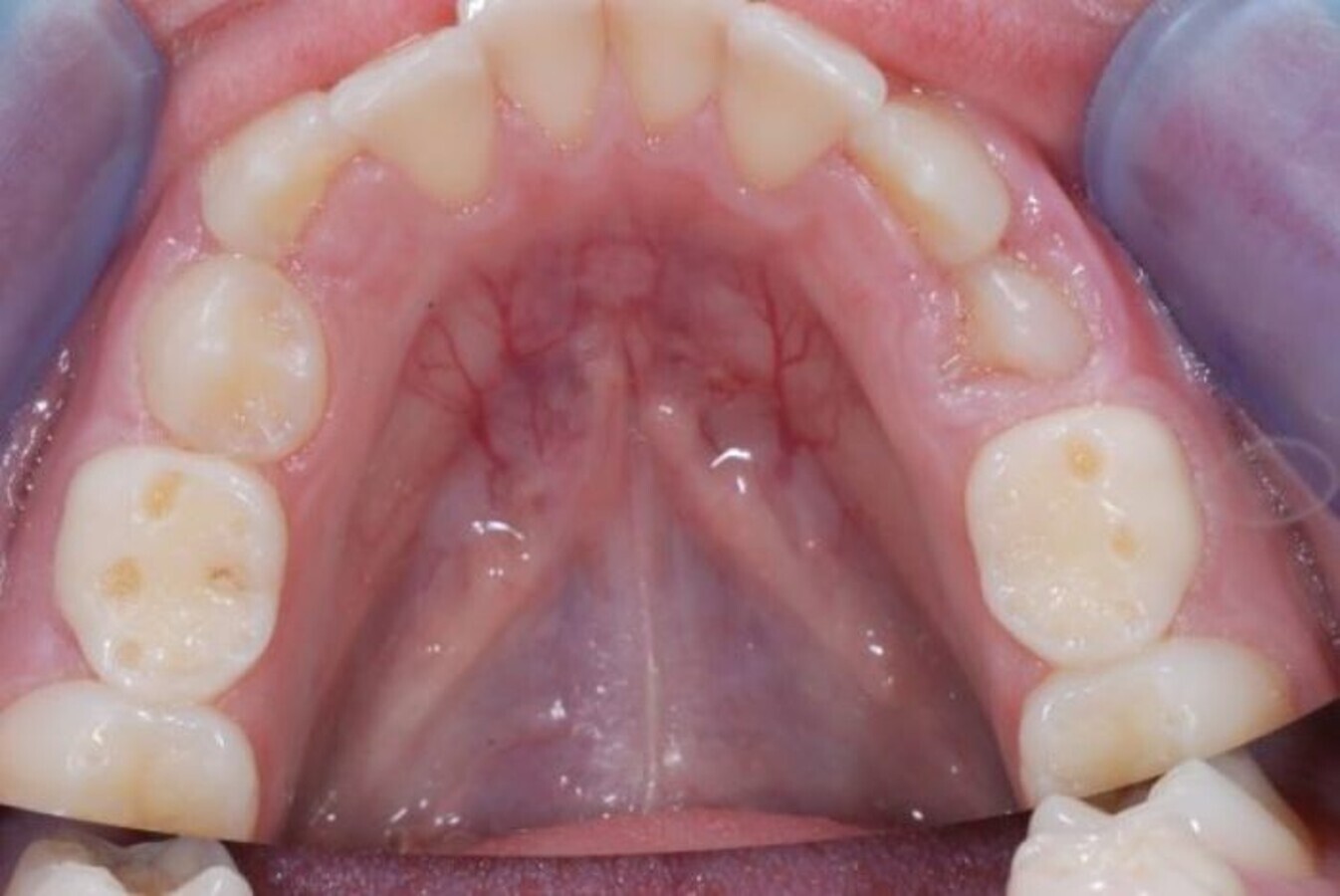
U ranoj fazi erozivnog trošenja, karakterističan je gubitak strukture vrhova kvržica uvidu formiranja konkavnih udubljenja (kod ovog pacijenta vidljivo je na drugim mlečnimmolarima).
U svakodnevnoj stomatološkoj praksi sve češće susrećemo pacijente sa različitim nekarijesnim oštećenjima zubnog tkiva. Pored atricija, abrazija i abfrakcija, veoma važno mesto među ovim oštećenjima zauzimaju erozije.
Šta su erozije?
Erozije zuba definišu se kao hronično i nepovratno rastvaranje tvrdih zubnih tkiva koje je uzrokovano kiselinama nebakterijskog porekla (1). U slucajevima gde je trošenje zuba obimno, ako uzrokuje funkcionalne i estetske probleme, kada je neusklađeno sa starošću pacijenta i kada su prisutni bol i osetljivost, može se okarakterisati kao patološko stanje. Smatra se da je porast učestalosti erozija rezultat promena u svakodnevnim navikama vezanim za način života i ishranu koje su u poslednjih nekoliko decenija zahvatile veliki broj ljudi. Zbog svega navedenog, jasno je prepoznat značaj prevencije ove pojave za oralno zdravlje (2).
Prevalencija
Procenjena globalna prevalencija erozija kod adolescenata je 30% (3), a istraživanja pokazuju da težina i učestalost erozija rastu sa godinama (4, 5). Zastupljenost erozija izrazito varira u različitim delovima sveta, zbog čega je raspon prevalencije u literaturi veoma širok – od 4% do 100% kod odraslih pacijenata (6, 7).
Etiologija
U etiologiji erozija izdvajaju se brojni faktori koji se mogu svrstati u dve velike grupe: spoljašnji i unutrašnji faktori. Kao i kod karijesa, rizik za pojavu erozija je individualan.
Slika 1. Često konzumiranje citrusnog voća je uobičajeni uzrok erozija na zubima.
Spoljašnji faktori
Među spoljašnjim faktorima, najznačajnije mesto zauzimaju kiseli napici i hrana (Slika 1). Česta konzumacija voćnih sokova, sportskih i energetskih napitaka sa niskim pH je uobičajeni uzrok pojave erozija na zubima (8). Kiseli medikamenti rastvoreni u vodi, kao što su vitamin C (askorbinska kiselina) ili aspirin (acetilsalicilna kiselina) mogu biti faktor rizika za pojavu erozija ukoliko se unose redovno u dužem periodu. Unos droga kao što su metamfetamin, kokain i 3,4-metilen dioksimetamfetamin (u žargonu: ekstazi) je takođe povezan s erozijom zuba (9). U literaturi je opisana i pojava erozija zbog čestog plivanja u neadekvatno hlorisanim bazenima sa niskim pH vode (10).
Erozije koje su uzrokovane spoljašnjim faktorima su često najizraženije na labijalnim površinama prednjih zuba, bukalnim površinama bočnih zuba i okluzalnim površinama bočnih zuba u donjoj vilici (11). Kako bi se ispravno identifikovao izvor kiseline, osim kliničkog pregleda veoma je značajna i detaljna anamneza. Analiza ishrane pacijenta uz pomoć dnevnika ishrane koji vodi pacijent može pružiti važne informacije tokom dijagnostike. Poznato je i da su neka zanimanja povezana sa pojavom erozija, kao npr rad u fabrikama baterija i municije, zbog izlaganja isparenjima industrijskih kiselina (10).
Unutrašnji faktori
Unutrašnji faktori obuhvataju situacije u kojima je želudačna kiselina prisutna u usnoj duplji u količini koja prevazilazi puferski kapacitet pljuvačke, što se može desiti zbog gastroezofagealnog refluksa, bulimije nervose ili povraćanja tokom trudnoće (12).
Erozije uzrokovane unutrašnjim faktorima najčešće se javljaju na palatinalnim površinama prednjih zuba, na okluzalnim površinama gornjih i donjih bočnih zuba, kao i na bukalnim površinama donjih bočnih zuba (11).
Uobičajeni simptomi refluksa kod odraslih uključuju kiseli ukus u ustima, gorušicu, uporno kašljanje, povraćanje, podrigivanje, zadah iz usta, osećaj knedle u grlu, bol u trbuhu, bol u grlu i promuklost. Kod dece sa refluksom može se javiti poremećaj spavanja, laringitis, bronhitis, neadekvatno dobijanje na težini, anemija, problemi s hranjenjem, astma, razdražljivost i česte upale pluća (13). Postavljanje definitivne dijagnoze refluksa je isključivo u nadležnosti gastroenterologa. Kod pacijenata kod kojih se nakon detaljne anamneze i kliničkog pregleda ne može utvrditi uzrok erozija, treba posumnjati na „tihi refluks“, kada gore navedeni simptomi refluksa u potpunosti izostaju. Ova pojava može biti faktor rizika za pojavu adenokarcinoma jednjaka (14), zbog čega je veoma važno da stomatolog ovakve pacijente uputi gastroenterologu, kako bi se potvrdilo ili isključilo prisustvo tihog refluksa. Takođe, bilo bi dobro i da gastroenterolog pacijente sa refluksom uputi stomatologu, kako bi se na vreme preduzele mere za prevenciju erozija.
Dijagnoza bulimije nije nimalo jednostavna, a tretman zahteva multidisciplinarni pristup koji pored gastroenterologa, psihologa ili psihijatra uključuje i stomatologa. Znaci i simptomi poremećaja ishrane mogu biti suve ili ispucale usne, otok parotidne pljuvačne žlezde, ezofagitis i peckanje jezika (13).
Prevencija
Imajući u vidu da je primarnu prevenciju erozija veoma teško postići, izuzetno je važno otkriti promene u početnoj fazi, kako bi se preventivnim merama zaustavilo dalje propadanje denticije. Efikasne preventivne mere mogu suzbiti neprijatne subjektivne simptome ukoliko su prisutni i zaustaviti erozivno trošenje zuba.
Slika 2. U ranoj fazi erozivnog trošenja, karakterističan je gubitak strukture vrhova kvržica u vidu formiranja konkavnih udubljenja (kod ovog pacijenta vidljivo je na drugim mlečnim molarima).
Rana dijagnostika erozivnog procesa može biti teška, imajući u vidu da većina pacijenata nema simptome, posebno kada je napredovanje procesa sporo i omogućava formiranje reparatornog dentina sa okluzijom dentinskih tubula. Rani klinički znaci su gubitak teksture gleđi, mat izgled površine gleđi, kao i gubitak strukture vrhova kvržica u vidu formiranja konkavnih udubljenja (Slika 2) (15). U kasnijim fazama dolazi do potpunog gubitka okluzalne morfologije i izravnjavanja okluzalnih struktura. Kada su prisutni ispuni, karakteristično je da jasno prominiraju u odnosu na okolne zubne strukture koje su zahvaćene erozijom.
Kada se utvrde etiološki faktori erozije zuba, presudno je da se postigne kontrola ovih faktora. Prevencija i rano otkrivanje erozija treba da budu primarni cilj stomatologa, zbog toga što u uznapredovaloj fazi erozije zahtevaju kompleksnu i često veoma skupu terapiju. Edukacija i motivacija pacijenta je od izuzetne važnosti, imajući u vidu da efikasne preventivne mere za zaustavljanje / usporavanje napredovanja erozija podrazumevaju i promene u ponašanju.
Ukoliko se utvrdi da su erozije uzrokovane spoljašnjim faktorima, pacijentu treba ukazati na štetnost aktuelnog načina ishrane i predložiti strategije za smanjenje unosa kiselih napitaka i kisele hrane. Neke navike poput zadržavanja pića u ustima ili mućkanja, mogu pogoršati erozivni potencijal kiselog napitka (16). Eliminacija određene hrane ili smanjenje vremena kontakta sa zubima (npr. upotreba slamke) se takođe može savetovati pacijentu (11). Erozije koje su uzrokovane unutrašnjim faktorima zahtevaju multidisciplinarnu terapiju i upućivanje pacijenta lekaru, ukoliko već nije u procesu lečenja.
Slika 3. Aplikacija laka sa fluoridima može da eliminiše preosetljivost zuba, da uspori erozivno trošenje, kao i da podstakne procese remineralizacije.
U slučaju bulimije ili erozije zbog kiselih napitaka / hrane, pacijentima treba savetovati da nakon povraćanja ili unošenja kiselih napitaka / hrane izbegavaju pranje zuba narednih 30 minuta, a da usta isperu vodom ili rastvorom sa fluoridima, zbog toga što su tokom ovog perioda zubna tkiva osetljivija na abraziju usled četkanja zuba (8, 16). Savetuje se i upotreba mekanih četkica, kao i zubnih pasti niske abrazivnosti sa fluoridima. Veoma važno mesto zauzima i redovno (dva do četiri puta godišnje) nanošenje laka sa fluoridima kako bi se podstakli procesi remineralizacije, usporilo erozivno trošenje i eliminisala preosetljivost zuba ukoliko je prisutna (Slika 3) (17-19). Žvakaće gume bez šećera mogu biti značajne zbog podsticanja lučenja pljuvačke.
Zaključak
Razumevanje etioloških faktora i rana dijagnoza su od suštinskog značaja za sprečavanje i lečenje erozija zuba. U uznapredovaloj fazi erozivni proces može dovesti do preosetljivosti dentina, estetskih problema i gubitka vertikalne dimenzije okluzije, što utiče na kvalitet života povezanog sa oralnim zdravljem.
Literatura
Imfeld T. Dental erosion. Definition, classification and links. Eur J Oral Sci. 1996;104(2 ( Pt 2)):151-5.
Johansson AK, Omar R, Carlsson GE, Johansson A. Dental erosion and its growing importance in clinical practice: from past to present. International journal of dentistry. 2012;2012:632907.
Mafla AC, Ceron-Bastidas XA, Munoz-Ceballos ME, Vallejo-Bravo DC, Fajardo-Santacruz MC. Prevalence and Extrinsic Risk Factors for Dental Erosion in Adolescents. The Journal of clinical pediatric dentistry. 2017;41(2):102-11.
Kreulen CM, Van 't Spijker A, Rodriguez JM, Bronkhorst EM, Creugers NH, Bartlett DW. Systematic review of the prevalence of tooth wear in children and adolescents. Caries Res. 2010;44(2):151-9.
Van't Spijker A, Rodriguez JM, Kreulen CM, Bronkhorst EM, Bartlett DW, Creugers NH. Prevalence of tooth wear in adults. Int J Prosthodont. 2009;22(1):35-42.
Vered Y, Lussi A, Zini A, Gleitman J, Sgan-Cohen HD. Dental erosive wear assessment among adolescents and adults utilizing the basic erosive wear examination (BEWE) scoring system. Clin Oral Investig. 2014;18(8):1985-90.
Wei Z, Du Y, Zhang J, Tai B, Du M, Jiang H. Prevalence and Indicators of Tooth Wear among Chinese Adults. PloS one. 2016;11(9):e0162181.
Li H, Zou Y, Ding G. Dietary factors associated with dental erosion: a meta-analysis. PloS one. 2012;7(8):e42626.
Milosevic A, Agrawal N, Redfearn P, Mair L. The occurrence of toothwear in users of Ecstasy (3,4-methylenedioxymethamphetamine). Community Dent Oral Epidemiol. 1999;27(4):283-7.
Zero DT. Etiology of dental erosion--extrinsic factors. Eur J Oral Sci. 1996;104(2 ( Pt 2)):162-77.
Harpenau LA, Noble WH, Kao RT. Diagnosis and management of dental wear. J Calif Dent Assoc. 2011;39(4):225-31.
Scheutzel P. Etiology of dental erosion--intrinsic factors. Eur J Oral Sci. 1996;104(2 ( Pt 2)):178-90.
Johansson AK, Norring C, Unell L, Johansson A. Eating disorders and oral health: a matched case-control study. Eur J Oral Sci. 2012;120(1):61-8.
Fass R, Dickman R. Clinical consequences of silent gastroesophageal reflux disease. Curr Gastroenterol Rep. 2006;8(3):195-201.
Lussi A, Hellwig E, Zero D, Jaeggi T. Erosive tooth wear: diagnosis, risk factors and prevention. Am J Dent. 2006;19(6):319-25.
Lussi A, Hellwig E. Risk assessment and causal preventive measures. Monogr Oral Sci. 2014;25:220-9.
Gandara BK, Truelove EL. Diagnosis and management of dental erosion. The journal of contemporary dental practice. 1999;1(1):16-23.
Sar Sancakli H, Austin RS, Al-Saqabi F, Moazzez R, Bartlett D. The influence of varnish and high fluoride on erosion and abrasion in a laboratory investigation. Australian dental journal. 2015;60(1):38-42.
Canali GD, Rached RN, Mazur RF, Souza EM. Effect of Erosion/Abrasion Challenge on the Dentin Tubule Occlusion Using Different Desensitizing Agents. Brazilian dental journal. 2017;28(2):216-24.
ANKARA, Turska: S obzirom na to da dugoročne performanse CAD/CAM restorativnih materijala zavise i od njihovih intrinzičnih svojstava i od reakcije na ...
BRISEL, Belgija: Prof. dr Mia Rakić imenovana je za predsednicu Evropske federacije za parodontologiju (EFP), nasledivši dr Spyrosa Vassilopoulosa. Tokom ...
ŠARŽA, UAE: Pored negativnih nuspojava, zdravstveni stručnjaci su sve više zabrinuti da dugotrajna ili nepravilna upotreba tečnosti za ispiranje usta ...
To post a reply please login or register