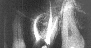
Liverpul, Velika Britanija - Istraživači sa Univerziteta u Liverpulu testiraju novu vrstu tretmana inficirane zubne pulpe -revaskularizaciju. Ovaj tretman se izvodi u samo dve seanse u razmaku od dve nedelje i može da poštedi pacijente neomiljenog i dugotrajnog klasičnog endodontskog tretmana.
Kako izveštava internet portal MailOnline, prvi korak u ovom novom endodontskom tretmanu bila bi aplikacija antibiotske paste u cilju dezinfekcije inficirane zubne pulpe, dok bi u drugoj poseti nakon petnaest dana specijalnim instrumentom stomatolog napravio male rezove u kanalima korena zuba koji treba da izazovu krvarenje koje bi dovelo do stvaranja krvnog ugruška. Istraživanje je pokazalo da ovaj novostvoreni krvni ugrušak dovodi do stvaranja novih krvnih sudova, što povećava količinu kiseonika i hranljivih materija u kanalu korena zuba i time podstiče reparaciju oštećene zubne pulpe. Iako mehanizam koji dovodi do ove reparacije zubne pulpe nije potpuno razjašnjen, pretpostavlja se da je osnovni razlog prisustvo faktora rasta u krvnom ugrušku, koji podstiče obnovu oštećenog tkiva zubne pulpe.
Dr Hju Devlin (Dr. Hugh Devlin), profesor restaurativne stomatologije sa Univerziteta u Mančesteru je za portal MailOnline dao svoj komentar o ovom novom endodontskom tretmanu "Ovo je izvanredna nova tehnika lečenja inficirane zubne pulpe koja je izazvala veliko interesovanje kod stručnjaka širom sveta. Razlika u odnosu na klasične endodontske tretmane je ta što se dosada radilo samo na eliminaciji bakterija, dok je ovde naglasak na povećavanju prokrvljenosti u kanalu korena zuba."
Endodoncija je prepoznata kao najkomplikovaniji i najizazovniji tretman u stomatologiji. Sistem korenskih kanala zuba je otvoren put između oralne ...
FILADELFIJA, SAD: Novi razvoji u mikrorobotici i nanotehnologiji nude ranije nezamislive mogućnosti za nove dijagnostičke i terapijske pristupe. Prilikom...
LOS ANĐELES, USA: Nedavno rađena istraživanja koja su pokazala su da postoji porast broja pacijenata sa parodontitisom, kao i povezanost sa Alchajmerovom...
Da li rotirajući NiTi instrumenti zaslužuju status novog standarda u endodonciji (paradigme)? Po definiciji, paradigma predstavlja novi osnovni model. ...
KEMBRIDŽ, Masačusets, SAD: U uzbudljivom novom razvoju potencijalnog materijala za 3D štampanje i konvencionalnog livenja u stomatologiji, istraživači ...
SAN FRANCISKO, Sjedinjene Američke Države: Kako stomatologija napreduje, tako napreduje i oralno zdravlje starije populacije. Ljudi sada žive sve duže, ...
Kada je u pitanju taktilna percepcija, odnosno preciznost taktilnog osećaja dok se vrši obrada kanala korena zuba, većina kliničara će se ...
Na šta konkretno mislimo kada govorimo o taktilnoj percepciji? Za mene, taktilna percepcija je mera do koje mi možemo precizno da odredimo sa čim ...
Ljudi često ne razumeju da je najvažnija škola kroz koju u životu treba da prođu kao dobri đaci, u stvari, škola gde se uči zanat dobre ...
OKAYAMA, Japan: Prema Panameričkoj zdravstvenoj organizaciji, devet od deset ljudi je u opasnosti od neke vrste oralnih bolesti, koje se mogu ublažiti ...
Webinar uživo
ned. 3 maj 2026
6:00 (CET) Belgrade
Dr. Rickard Brånemark MSc, MD, PhD, Dr. Robert Gottlander DDS
Webinar uživo
pon. 4 maj 2026
2:00 (CET) Belgrade
Webinar uživo
uto. 5 maj 2026
4:00 (CET) Belgrade
Webinar uživo
uto. 5 maj 2026
6:00 (CET) Belgrade
Webinar uživo
uto. 5 maj 2026
7:00 (CET) Belgrade
Dr. Maximilian Dobbertin M.Sc
Webinar uživo
uto. 5 maj 2026
9:00 (CET) Belgrade
Webinar uživo
sre. 6 maj 2026
7:00 (CET) Belgrade
To post a reply please login or register